Learning

Impacted Bone Fractures

Impacted Bone Fractures
Impacted Bone Fractures

Bone fractures are a common occurrence, impacting millions of people worldwide each year. Among the various types of fractures, impacted bone fractures present unique challenges and require specialized treatment approaches. This blog post delves into the intricacies of impacted bone fractures, exploring their causes, symptoms, diagnosis, treatment options, and recovery processes.

Understanding Impacted Bone Fractures

Impacted bone fractures occur when the broken ends of a bone are driven into each other, often resulting in a compressed or shortened bone segment. These fractures are commonly seen in high-impact injuries, such as those sustained in car accidents, falls from significant heights, or sports-related incidents. The severity of an impacted bone fracture can vary, ranging from minor compressions to severe deformities that require immediate medical attention.

Causes of Impacted Bone Fractures

Impacted bone fractures can result from a variety of traumatic events. Some of the most common causes include:

  • High-Impact Collisions: Car accidents, motorcycle crashes, and other high-speed collisions can generate enough force to cause bones to shatter and impact each other.
  • Falls from Heights: Falling from a significant height, such as from a ladder or a building, can result in severe fractures, including impacted bone fractures.
  • Sports Injuries: High-impact sports like football, rugby, and skiing can lead to fractures, especially in the long bones of the arms and legs.
  • Osteoporosis: In individuals with osteoporosis, bones are weakened and more susceptible to fractures, even from minor impacts.

Symptoms of Impacted Bone Fractures

The symptoms of impacted bone fractures can vary depending on the location and severity of the injury. Common symptoms include:

  • Severe Pain: Immediate and intense pain at the site of the fracture.
  • Swelling and Bruising: Rapid swelling and discoloration around the affected area.
  • Deformity: Visible deformity or shortening of the limb, especially in cases of severe fractures.
  • Limited Mobility: Difficulty moving the affected limb or joint.
  • Numbness or Tingling: In some cases, there may be numbness or tingling sensations due to nerve involvement.

Diagnosing Impacted Bone Fractures

Diagnosing impacted bone fractures involves a combination of physical examination and imaging tests. The diagnostic process typically includes:

  • Physical Examination: A thorough physical exam to assess the extent of the injury, including checking for deformity, swelling, and tenderness.
  • X-Rays: Standard X-rays to visualize the fracture and determine the extent of bone displacement.
  • CT Scans: Computed tomography (CT) scans for more detailed images, especially in complex fractures.
  • MRI Scans: Magnetic resonance imaging (MRI) to assess soft tissue damage and nerve involvement.

Treatment Options for Impacted Bone Fractures

The treatment of impacted bone fractures depends on the severity of the injury, the location of the fracture, and the overall health of the patient. Treatment options range from conservative methods to surgical interventions.

Non-Surgical Treatment

For less severe impacted bone fractures, non-surgical treatment may be sufficient. This often includes:

  • Immobilization: Using casts, splints, or braces to keep the bone in place and promote healing.
  • Pain Management: Medications to manage pain and inflammation.
  • Physical Therapy: Exercises to restore mobility and strength once the bone has healed.

Surgical Treatment

In cases of severe impacted bone fractures, surgery may be necessary to realign the bone and stabilize the fracture. Surgical options include:

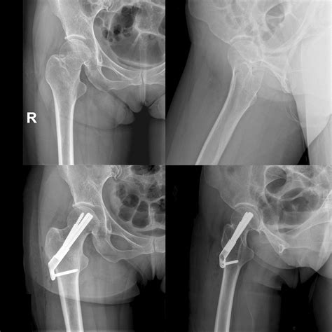
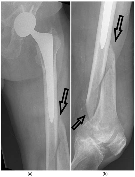
  • Open Reduction and Internal Fixation (ORIF): A procedure where the bone is surgically realigned and held in place with plates, screws, or rods.
  • External Fixation: Using an external frame to stabilize the bone while it heals.
  • Bone Grafting: In some cases, bone grafts may be used to fill gaps and promote healing.

Recovery and Rehabilitation

The recovery process for impacted bone fractures can be lengthy and requires patience and dedication. Key aspects of recovery include:

  • Pain Management: Continued use of pain medications as prescribed by the doctor.
  • Immobilization: Wearing a cast, splint, or brace for the prescribed duration to allow the bone to heal.
  • Physical Therapy: Engaging in physical therapy exercises to regain strength, flexibility, and range of motion.
  • Follow-Up Appointments: Regular check-ups with the healthcare provider to monitor progress and adjust the treatment plan as needed.

๐Ÿ“ Note: The recovery time for impacted bone fractures can vary widely depending on the severity of the injury, the patient's overall health, and adherence to the treatment plan. It is essential to follow the healthcare provider's instructions closely to ensure optimal healing.

Preventing Impacted Bone Fractures

While not all impacted bone fractures can be prevented, there are several measures that can reduce the risk of such injuries. These include:

  • Wearing Protective Gear: Using appropriate safety equipment during sports and other high-risk activities.
  • Maintaining Bone Health: Ensuring adequate calcium and vitamin D intake, and engaging in weight-bearing exercises to strengthen bones.
  • Fall Prevention: Taking steps to prevent falls, such as installing handrails, using non-slip mats, and keeping walkways clear of obstacles.
  • Regular Check-Ups: Regular medical check-ups to monitor bone health, especially for individuals at risk of osteoporosis.

Impacted Bone Fractures in Specific Populations

Certain populations are at higher risk of impacted bone fractures due to various factors. Understanding these risks can help in developing targeted prevention and treatment strategies.

Elderly Population

The elderly are particularly vulnerable to impacted bone fractures due to age-related bone loss and increased risk of falls. Osteoporosis, a condition characterized by weakened bones, is a significant risk factor in this population. Preventive measures include:

  • Bone Density Tests: Regular bone density scans to monitor bone health.
  • Fall Prevention Programs: Participating in programs designed to reduce the risk of falls.
  • Nutritional Supplements: Taking calcium and vitamin D supplements to support bone health.

Athletes

Athletes, especially those involved in high-impact sports, are at increased risk of impacted bone fractures. Proper training, equipment, and safety measures can help mitigate this risk. Key considerations include:

  • Proper Training: Ensuring athletes are adequately trained and conditioned for their sport.
  • Use of Protective Gear: Wearing appropriate protective gear during training and competitions.
  • Regular Check-Ups: Regular medical check-ups to monitor bone health and detect any issues early.

Children and Adolescents

Children and adolescents are also at risk of impacted bone fractures, particularly during growth spurts when bones are rapidly developing. Preventive measures include:

  • Nutritional Support: Ensuring a balanced diet rich in calcium and vitamin D.
  • Physical Activity: Encouraging regular physical activity to strengthen bones.
  • Safety Measures: Implementing safety measures during sports and other activities.

Impacted Bone Fractures and Complications

Impacted bone fractures can lead to various complications if not properly treated. Some of the potential complications include:

  • Non-Union: Failure of the bone to heal properly, resulting in a persistent fracture.
  • Malunion: Healing of the bone in a misaligned position, leading to deformity and functional impairment.
  • Infection: Risk of infection, especially in cases requiring surgical intervention.
  • Nerve and Blood Vessel Damage: Injury to nearby nerves and blood vessels, which can affect sensation and blood flow.

Early diagnosis and appropriate treatment can significantly reduce the risk of these complications. Regular follow-ups and adherence to the treatment plan are crucial for a successful recovery.

๐Ÿ“ Note: If you experience any signs of complications, such as increased pain, swelling, or fever, it is essential to seek immediate medical attention.

Impacted Bone Fractures and Quality of Life

Impacted bone fractures can have a significant impact on an individual's quality of life, affecting mobility, daily activities, and overall well-being. Effective management and rehabilitation are essential to minimize these impacts and restore normal function. Key factors to consider include:

  • Pain Management: Effective pain management strategies to reduce discomfort and improve quality of life.
  • Physical Therapy: Comprehensive physical therapy programs to restore mobility and strength.
  • Psychological Support: Emotional and psychological support to cope with the challenges of recovery.

By addressing these factors, individuals can regain their independence and return to their daily activities with minimal disruption.

Future Directions in Impacted Bone Fracture Treatment

The field of orthopedics is continually evolving, with new technologies and treatment methods emerging to improve the management of impacted bone fractures. Some of the promising advancements include:

  • Biological Therapies: Use of growth factors and stem cells to enhance bone healing.
  • Advanced Imaging Techniques: Improved imaging technologies for more accurate diagnosis and treatment planning.
  • Minimally Invasive Surgery: Development of minimally invasive surgical techniques to reduce recovery time and complications.

These advancements hold the potential to revolutionize the treatment of impacted bone fractures, offering better outcomes and improved quality of life for patients.

Impacted bone fractures are a serious medical condition that requires prompt and appropriate treatment. Understanding the causes, symptoms, diagnosis, and treatment options can help individuals and healthcare providers manage these injuries effectively. By taking preventive measures and seeking timely medical attention, the impact of impacted bone fractures can be minimized, allowing for a successful recovery and improved quality of life.

Related Terms:

  • impacted fracture vs displaced
  • impacted bone fracture definition
  • how do impact fractures happen
  • impacted fracture healing time
  • picture of impacted fracture
  • impacted fracture recovery time
Facebook Twitter WhatsApp
Related Posts
Don't Miss