Learning

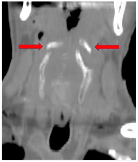
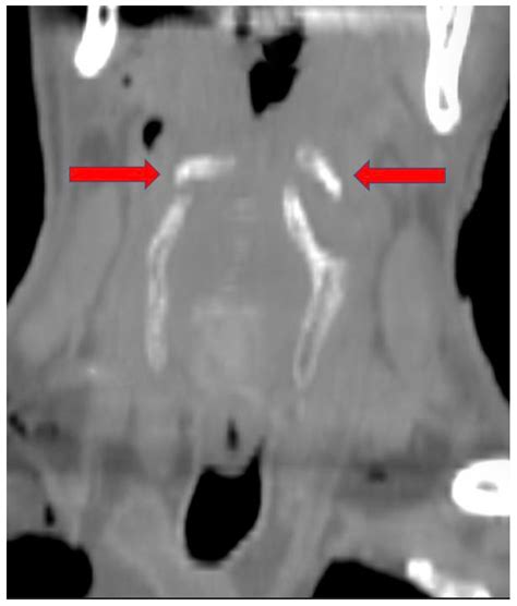
Hyoid Bone Coronal Ct

Hyoid Bone Coronal Ct
Hyoid Bone Coronal Ct

Understanding the intricacies of the hyoid bone and its significance in medical diagnostics, particularly through imaging techniques like the Hyoid Bone Coronal CT, is crucial for healthcare professionals. The hyoid bone, a small U-shaped bone located in the neck, plays a vital role in various physiological functions, including swallowing, speaking, and breathing. This blog post delves into the anatomy, clinical relevance, and diagnostic procedures involving the hyoid bone, with a focus on the Hyoid Bone Coronal CT scan.

Anatomy of the Hyoid Bone

The hyoid bone is a unique structure in the human body as it is the only bone that does not articulate directly with any other bone. It is suspended by muscles and ligaments in the neck and serves as an attachment point for several muscles involved in tongue movement, swallowing, and speech. The hyoid bone consists of three main parts:

  • Body: The central part of the hyoid bone.
  • Greater Cornua: The larger, posteriorly directed horns.
  • Lesser Cornua: The smaller, anteriorly directed horns.

This complex structure allows the hyoid bone to act as a fulcrum for the muscles of the tongue and larynx, facilitating essential functions like swallowing and phonation.

Clinical Relevance of the Hyoid Bone

The hyoid bone's clinical relevance extends beyond its anatomical structure. It is often involved in various pathological conditions, including:

  • Trauma: Fractures of the hyoid bone can occur due to blunt trauma to the neck, often seen in cases of strangulation or motor vehicle accidents.
  • Infections: Infections in the neck region can sometimes involve the hyoid bone, leading to complications.
  • Neoplasms: Tumors in the neck, such as thyroid cancer or lymph node metastases, can affect the hyoid bone.
  • Dysphagia: Disorders of swallowing can be associated with abnormalities in the hyoid bone.

Given its critical role in various physiological functions, any disruption in the hyoid bone's structure or function can have significant clinical implications.

Diagnostic Imaging of the Hyoid Bone

Imaging techniques play a pivotal role in the diagnosis and management of hyoid bone-related conditions. Among these, the Hyoid Bone Coronal CT scan is particularly valuable. This imaging modality provides detailed cross-sectional views of the hyoid bone and surrounding structures, aiding in the accurate diagnosis of various pathologies.

Indications for Hyoid Bone Coronal CT

The Hyoid Bone Coronal CT scan is indicated in several clinical scenarios, including:

  • Suspected fractures of the hyoid bone due to trauma.
  • Evaluation of neck masses or tumors.
  • Assessment of infections in the neck region.
  • Investigation of dysphagia or other swallowing disorders.

Procedure and Technique

The Hyoid Bone Coronal CT scan involves the following steps:

  • Patient Preparation: The patient is positioned supine on the CT table, and the neck is immobilized to minimize movement artifacts.
  • Contrast Administration: In some cases, intravenous contrast may be administered to enhance the visualization of soft tissues and blood vessels.
  • Image Acquisition: The CT scanner acquires multiple cross-sectional images of the neck in the coronal plane, focusing on the hyoid bone and surrounding structures.
  • Image Reconstruction: The acquired images are reconstructed using advanced algorithms to provide high-resolution, detailed views of the hyoid bone.

📝 Note: The use of contrast agents should be carefully considered, especially in patients with renal impairment or allergies.

Interpretation of Hyoid Bone Coronal CT

Interpreting a Hyoid Bone Coronal CT scan requires a thorough understanding of the normal anatomy and potential pathological findings. Key points to consider include:

  • Bone Structure: Assess the integrity of the hyoid bone, looking for fractures, erosions, or other abnormalities.
  • Soft Tissues: Evaluate the surrounding soft tissues for masses, infections, or other pathological changes.
  • Muscles and Ligaments: Examine the muscles and ligaments attached to the hyoid bone for any signs of injury or inflammation.

Radiologists often use a systematic approach to ensure that all relevant structures are carefully evaluated. This includes comparing the findings with previous imaging studies, if available, to detect any interval changes.

Common Pathologies Visualized on Hyoid Bone Coronal CT

The Hyoid Bone Coronal CT scan can reveal a variety of pathologies affecting the hyoid bone and surrounding structures. Some of the most common findings include:

Fractures

Fractures of the hyoid bone are often seen in cases of blunt trauma to the neck. These fractures can be classified based on their location and pattern:

  • Body Fractures: Fractures involving the central part of the hyoid bone.
  • Cornual Fractures: Fractures affecting the greater or lesser cornua.
  • Comminuted Fractures: Multiple fracture fragments.

Accurate identification of hyoid bone fractures is crucial for guiding appropriate management and preventing complications.

Infections

Infections in the neck region can sometimes involve the hyoid bone, leading to osteomyelitis or other infectious processes. The Hyoid Bone Coronal CT scan can help identify:

  • Bone destruction or erosion.
  • Soft tissue swelling or abscess formation.
  • Enhancement patterns suggestive of infection.

Early detection and treatment of infections involving the hyoid bone are essential to prevent further complications.

Neoplasms

Tumors in the neck, such as thyroid cancer or lymph node metastases, can affect the hyoid bone. The Hyoid Bone Coronal CT scan can provide valuable information about:

  • Tumor size and extent.
  • Bone involvement or invasion.
  • Lymph node status.

This information is crucial for staging the disease and planning appropriate treatment strategies.

Dysphagia

Disorders of swallowing can be associated with abnormalities in the hyoid bone. The Hyoid Bone Coronal CT scan can help identify:

  • Structural abnormalities of the hyoid bone.
  • Soft tissue changes affecting swallowing mechanisms.
  • Muscle or ligament injuries.

Understanding the underlying cause of dysphagia is essential for developing effective management plans.

Advanced Imaging Techniques

In addition to the Hyoid Bone Coronal CT scan, other advanced imaging techniques can provide complementary information. These include:

Magnetic Resonance Imaging (MRI)

MRI offers excellent soft tissue contrast and can be particularly useful for evaluating:

  • Soft tissue masses or infections.
  • Muscle and ligament injuries.
  • Neural structures.

MRI is often used in conjunction with CT to provide a comprehensive assessment of the hyoid bone and surrounding structures.

Positron Emission Tomography (PET) Scan

PET scans can help detect metabolic activity in tissues, making them valuable for:

  • Identifying malignant tumors.
  • Assessing treatment response.
  • Detecting distant metastases.

PET scans are often combined with CT (PET-CT) to provide both anatomical and functional information.

Case Studies

To illustrate the clinical utility of the Hyoid Bone Coronal CT scan, consider the following case studies:

Case Study 1: Traumatic Hyoid Bone Fracture

A 45-year-old male presented with neck pain and difficulty swallowing following a motor vehicle accident. A Hyoid Bone Coronal CT scan revealed a comminuted fracture of the hyoid bone body. The patient was managed conservatively with immobilization and pain management, leading to a successful recovery.

Case Study 2: Thyroid Cancer with Hyoid Bone Involvement

A 60-year-old female with a known history of thyroid cancer underwent a Hyoid Bone Coronal CT scan as part of her staging workup. The scan showed a large thyroid mass with invasion into the hyoid bone. The patient underwent surgical resection followed by adjuvant therapy, resulting in a favorable outcome.

Case Study 3: Osteomyelitis of the Hyoid Bone

A 55-year-old male with a history of diabetes presented with neck pain and swelling. A Hyoid Bone Coronal CT scan demonstrated osteomyelitis of the hyoid bone with surrounding soft tissue abscesses. The patient was treated with antibiotics and surgical drainage, leading to resolution of the infection.

Future Directions in Hyoid Bone Imaging

The field of medical imaging is continually evolving, and future advancements are likely to enhance the diagnostic capabilities of the Hyoid Bone Coronal CT scan. Some potential areas of development include:

  • Artificial Intelligence (AI): AI algorithms can assist in the automated detection and characterization of hyoid bone pathologies, improving diagnostic accuracy and efficiency.
  • Advanced Reconstruction Techniques: New reconstruction algorithms can provide even higher-resolution images, aiding in the detection of subtle abnormalities.
  • Multimodal Imaging: Combining CT with other imaging modalities, such as MRI and PET, can offer a more comprehensive assessment of hyoid bone pathologies.

These advancements hold promise for improving the diagnosis and management of conditions affecting the hyoid bone.

In conclusion, the Hyoid Bone Coronal CT scan is a valuable diagnostic tool for evaluating the hyoid bone and surrounding structures. Its ability to provide detailed cross-sectional views makes it indispensable in the diagnosis of fractures, infections, neoplasms, and dysphagia. As medical imaging continues to advance, the role of the Hyoid Bone Coronal CT scan is likely to become even more prominent, contributing to improved patient outcomes and enhanced clinical decision-making.

Related Terms:

  • hyoid bone and thyroid cartilage
  • normal hyoid bone ct
  • hyoid bone on ct scan
  • hyoid bone xray
  • hyoid bone location
  • hyoid bone ct anatomy
Facebook Twitter WhatsApp
Related Posts
Don't Miss