Learning

Hydroxyapatite Deposition Disease

Hydroxyapatite Deposition Disease
Hydroxyapatite Deposition Disease

Hydroxyapatite deposition disease (HADD) is a condition characterized by the abnormal accumulation of hydroxyapatite crystals in various tissues of the body. This disease can affect multiple joints and soft tissues, leading to significant pain and disability. Understanding the causes, symptoms, diagnosis, and treatment options for HADD is crucial for managing this condition effectively.

Understanding Hydroxyapatite Deposition Disease

Hydroxyapatite deposition disease is a form of crystal-induced arthritis. It occurs when calcium phosphate crystals, specifically hydroxyapatite, deposit in the joints, tendons, and other soft tissues. These deposits can cause inflammation, pain, and stiffness, making it difficult for individuals to perform daily activities.

HADD is often associated with aging and is more common in older adults. However, it can also affect younger individuals, particularly those with certain medical conditions or a history of trauma to the affected areas. The exact cause of HADD is not fully understood, but several factors are believed to contribute to its development:

  • Aging: As people age, the body's ability to regulate calcium and phosphate levels may decline, leading to the formation of hydroxyapatite crystals.
  • Trauma: Injury to joints or soft tissues can trigger the deposition of hydroxyapatite crystals.
  • Metabolic Disorders: Conditions such as hyperparathyroidism, hypercalcemia, and renal failure can increase the risk of HADD.
  • Genetic Factors: There may be a genetic predisposition to developing HADD, although this is not yet fully understood.

Symptoms of Hydroxyapatite Deposition Disease

The symptoms of HADD can vary depending on the location and extent of the crystal deposits. Common symptoms include:

  • Joint Pain: Persistent pain in the affected joints, often worsening with movement.
  • Stiffness: Stiffness in the joints, particularly in the morning or after periods of inactivity.
  • Swelling: Swelling and tenderness in the affected areas.
  • Reduced Range of Motion: Difficulty moving the affected joints through their full range of motion.
  • Inflammation: Redness and warmth in the affected areas.

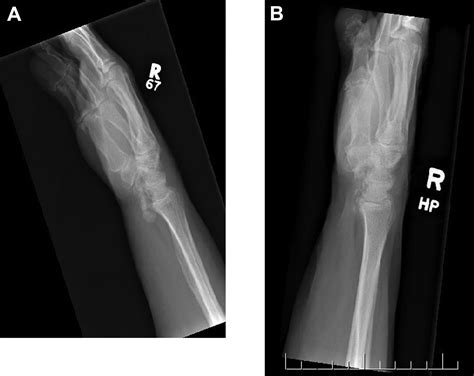
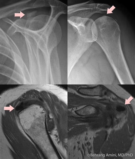
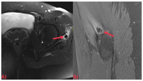
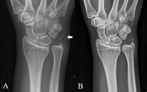
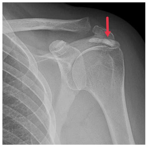
HADD can affect various joints, including the shoulder, elbow, wrist, hip, knee, and ankle. It can also occur in soft tissues such as tendons and ligaments. The most commonly affected areas are the shoulder and the wrist.

Diagnosing Hydroxyapatite Deposition Disease

Diagnosing HADD involves a combination of clinical evaluation, imaging studies, and laboratory tests. The diagnostic process typically includes the following steps:

  • Medical History and Physical Examination: The healthcare provider will take a detailed medical history and perform a physical examination to assess the affected areas.
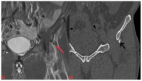
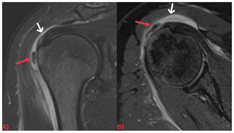
  • Imaging Studies: X-rays, ultrasound, and magnetic resonance imaging (MRI) can help identify the presence of hydroxyapatite crystals and assess the extent of the deposits.
  • Laboratory Tests: Blood tests may be ordered to check for underlying metabolic disorders or other conditions that could contribute to HADD.
  • Joint Aspiration: In some cases, a sample of synovial fluid may be aspirated from the affected joint and analyzed for the presence of hydroxyapatite crystals.

Imaging studies are particularly important in diagnosing HADD. X-rays can show calcifications in the affected areas, while ultrasound and MRI provide more detailed images of the soft tissues and joints. Laboratory tests can help rule out other conditions that may cause similar symptoms.

Treatment Options for Hydroxyapatite Deposition Disease

The treatment of HADD focuses on managing symptoms, reducing inflammation, and improving joint function. Treatment options may include:

  • Medications: Nonsteroidal anti-inflammatory drugs (NSAIDs) such as ibuprofen or naproxen can help reduce pain and inflammation. In some cases, corticosteroids may be injected into the affected joint to provide temporary relief.
  • Physical Therapy: Physical therapy exercises can help improve joint mobility, strengthen the surrounding muscles, and reduce pain.
  • Lifestyle Modifications: Making lifestyle changes, such as maintaining a healthy weight, avoiding activities that exacerbate symptoms, and using assistive devices, can help manage HADD.
  • Surgical Intervention: In severe cases, surgery may be necessary to remove the hydroxyapatite deposits and repair damaged tissues. Surgical options include arthroscopic debridement, open surgery, and joint replacement.

Medications are often the first line of treatment for HADD. NSAIDs can help reduce pain and inflammation, while corticosteroid injections can provide more targeted relief. Physical therapy is also an important component of treatment, as it can help improve joint function and reduce the risk of further damage.

Lifestyle modifications can play a significant role in managing HADD. Maintaining a healthy weight can reduce the stress on affected joints, while avoiding activities that exacerbate symptoms can help prevent flare-ups. Assistive devices, such as braces or canes, can also provide support and reduce pain.

In severe cases, surgical intervention may be necessary. Arthroscopic debridement involves using a small camera and surgical instruments to remove the hydroxyapatite deposits and repair damaged tissues. Open surgery may be required for more extensive damage, while joint replacement may be an option for individuals with severe joint destruction.

📝 Note: It is important to consult with a healthcare provider to determine the most appropriate treatment plan for HADD, as individual needs and responses to treatment may vary.

Living with Hydroxyapatite Deposition Disease

Living with HADD can be challenging, but with the right management strategies, individuals can maintain a good quality of life. Here are some tips for managing HADD:

  • Stay Active: Regular exercise and physical therapy can help improve joint function and reduce pain.
  • Maintain a Healthy Weight: Keeping a healthy weight can reduce the stress on affected joints and prevent further damage.
  • Use Assistive Devices: Assistive devices such as braces, canes, or walkers can provide support and reduce pain.
  • Manage Stress: Stress can exacerbate symptoms of HADD, so finding ways to manage stress, such as through meditation or yoga, can be beneficial.
  • Educate Yourself: Learning about HADD and its management can help individuals make informed decisions about their care and improve their overall well-being.

Staying active is crucial for managing HADD. Regular exercise and physical therapy can help improve joint function, reduce pain, and prevent further damage. Maintaining a healthy weight can also reduce the stress on affected joints and improve overall mobility.

Using assistive devices can provide support and reduce pain. Braces, canes, or walkers can help individuals maintain their independence and perform daily activities more comfortably. Managing stress is also important, as stress can exacerbate symptoms of HADD. Finding ways to manage stress, such as through meditation or yoga, can be beneficial.

Educating oneself about HADD and its management can help individuals make informed decisions about their care and improve their overall well-being. Understanding the condition, its symptoms, and treatment options can empower individuals to take an active role in their healthcare and improve their quality of life.

Preventing Hydroxyapatite Deposition Disease

While there is no guaranteed way to prevent HADD, certain lifestyle choices and medical interventions can help reduce the risk of developing the condition. Some preventive measures include:

  • Maintaining a Healthy Lifestyle: Regular exercise, a balanced diet, and maintaining a healthy weight can help reduce the risk of HADD.
  • Managing Underlying Conditions: Treating underlying medical conditions, such as hyperparathyroidism or renal failure, can help prevent the development of HADD.
  • Avoiding Trauma: Protecting joints and soft tissues from injury can help prevent the deposition of hydroxyapatite crystals.
  • Regular Check-ups: Regular medical check-ups can help detect early signs of HADD and other related conditions, allowing for timely intervention.

Maintaining a healthy lifestyle is one of the most effective ways to reduce the risk of HADD. Regular exercise, a balanced diet, and maintaining a healthy weight can help keep joints and soft tissues healthy and reduce the risk of crystal deposition.

Managing underlying medical conditions is also important. Conditions such as hyperparathyroidism, hypercalcemia, and renal failure can increase the risk of HADD. Treating these conditions can help prevent the development of HADD and improve overall health.

Avoiding trauma to joints and soft tissues can help prevent the deposition of hydroxyapatite crystals. Wearing protective gear during physical activities and avoiding high-impact exercises can help reduce the risk of injury and subsequent crystal deposition.

Regular medical check-ups can help detect early signs of HADD and other related conditions. Early detection allows for timely intervention and can help prevent the progression of the disease. Regular check-ups can also help monitor underlying medical conditions and ensure they are being managed effectively.

HADD is a complex condition that requires a multidisciplinary approach to management. By understanding the causes, symptoms, diagnosis, and treatment options for HADD, individuals can take an active role in their healthcare and improve their quality of life. With the right management strategies, individuals with HADD can maintain their independence and enjoy a good quality of life.

HADD is a condition that affects many individuals, particularly older adults. Understanding the causes, symptoms, diagnosis, and treatment options for HADD is crucial for managing this condition effectively. By staying active, maintaining a healthy lifestyle, and seeking appropriate medical care, individuals with HADD can improve their quality of life and maintain their independence.

Related Terms:

  • hydroxyapatite deposition disease vs cppd
  • hydroxyapatite deposition shoulder treatment
  • hydroxyapatite deposition disease cause
  • hydroxyapatite deposition disease icd 10
  • hydroxyapatite deposition disease hand
  • hydroxyapatite deposition disease shoulder treatment
Facebook Twitter WhatsApp
Related Posts
Don't Miss