Learning

Howell Jolly Body

Howell Jolly Body
Howell Jolly Body

Understanding the intricacies of the human body is a fascinating journey that often reveals hidden gems of medical knowledge. One such gem is the Howell Jolly Body, a term that might not be familiar to many but holds significant importance in the field of hematology. This blog post delves into the world of Howell Jolly Bodies, exploring their definition, causes, clinical significance, and diagnostic implications.

What are Howell Jolly Bodies?

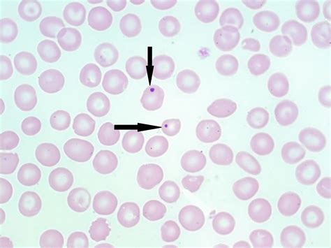
Howell Jolly Bodies are small, round, basophilic nuclear remnants found within red blood cells. They are named after the American physician William Henry Howell and the French physician Paul Jolly, who first described these inclusions in the early 20th century. These bodies are typically seen in individuals with certain hematological conditions, making them a valuable diagnostic tool for clinicians.

Causes of Howell Jolly Bodies

Howell Jolly Bodies are primarily caused by the absence or dysfunction of the spleen. The spleen plays a crucial role in filtering the blood and removing abnormal or damaged red blood cells. When the spleen is not functioning properly, Howell Jolly Bodies can accumulate in the bloodstream. The most common causes include:

  • Splenectomy: Surgical removal of the spleen.
  • Functional Asplenia: Conditions where the spleen is present but not functioning properly, such as in sickle cell anemia or certain types of malaria.
  • Hypersplenism: A condition where the spleen is overactive and destroys red blood cells at an accelerated rate.

Clinical Significance of Howell Jolly Bodies

The presence of Howell Jolly Bodies in the blood can indicate underlying hematological disorders. Clinicians often look for these inclusions as part of a comprehensive blood smear examination. The clinical significance of Howell Jolly Bodies includes:

  • Diagnostic Marker: They serve as a diagnostic marker for conditions associated with splenic dysfunction or absence.
  • Monitoring Treatment: In patients who have undergone splenectomy, the presence of Howell Jolly Bodies can help monitor the effectiveness of treatment and the body’s response to the absence of the spleen.
  • Risk Assessment: Individuals with Howell Jolly Bodies may be at increased risk for infections, particularly encapsulated bacteria like Streptococcus pneumoniae, making prophylactic antibiotics a consideration.

Diagnostic Implications

Diagnosing Howell Jolly Bodies involves a detailed examination of a peripheral blood smear. This process typically includes the following steps:

  • Blood Sample Collection: A small sample of blood is collected from the patient.
  • Blood Smear Preparation: The blood sample is spread thinly on a glass slide and stained with a dye, such as Wright’s stain or Giemsa stain.
  • Microscopic Examination: The stained blood smear is examined under a microscope to identify Howell Jolly Bodies within the red blood cells.

🔍 Note: The presence of Howell Jolly Bodies is not always indicative of a serious condition. Further diagnostic tests may be required to determine the underlying cause.

Conditions Associated with Howell Jolly Bodies

Several conditions are associated with the presence of Howell Jolly Bodies. Understanding these conditions can help in the differential diagnosis and management of patients. Some of the key conditions include:

Condition Description
Sickle Cell Anemia A genetic disorder that affects the shape of red blood cells, leading to functional asplenia.
Malaria A parasitic infection that can cause splenic dysfunction and the presence of Howell Jolly Bodies.
Hereditary Spherocytosis A genetic disorder that affects the shape and flexibility of red blood cells, leading to splenic dysfunction.
Autoimmune Hemolytic Anemia A condition where the immune system attacks red blood cells, leading to splenic dysfunction and the presence of Howell Jolly Bodies.

Management and Treatment

The management and treatment of conditions associated with Howell Jolly Bodies depend on the underlying cause. Some general approaches include:

  • Prophylactic Antibiotics: To prevent infections, particularly in patients who have undergone splenectomy.
  • Vaccinations: To protect against encapsulated bacteria like Streptococcus pneumoniae, Haemophilus influenzae, and Neisseria meningitidis.
  • Monitoring: Regular blood tests and clinical evaluations to monitor the patient’s condition and response to treatment.

Prevention and Awareness

Preventing the complications associated with Howell Jolly Bodies involves awareness and early intervention. Key points to consider include:

  • Education: Educating patients about the risks and symptoms of splenic dysfunction.
  • Regular Check-ups: Encouraging regular medical check-ups, especially for individuals with known risk factors.
  • Prompt Treatment: Seeking prompt medical attention for any signs of infection or other complications.

In conclusion, Howell Jolly Bodies are a fascinating and clinically significant aspect of hematology. Understanding their causes, clinical significance, and diagnostic implications can greatly enhance the management of patients with splenic dysfunction or absence. By recognizing the presence of Howell Jolly Bodies and addressing the underlying conditions, clinicians can improve patient outcomes and quality of life.

Related Terms:

  • howell jolly bodies present in
  • howell jolly bodies found in
  • howell jolly bodies sickle cell
  • howell jolly body image
  • howell jolly body etiology
  • howell jolly body meaning
Facebook Twitter WhatsApp
Related Posts
Don't Miss