Learning

Hot Tub Lung

Hot Tub Lung
Hot Tub Lung

Hot tub lung is a rare but serious condition that can affect individuals who frequently use hot tubs or spas. This condition, also known as hypersensitivity pneumonitis, is caused by the inhalation of mycobacteria found in poorly maintained hot tubs. Understanding the symptoms, causes, and prevention methods of hot tub lung is crucial for anyone who enjoys the relaxation benefits of hot tubs.

Understanding Hot Tub Lung

Hot tub lung is a form of hypersensitivity pneumonitis, an inflammatory condition that affects the lungs. It is triggered by the inhalation of mycobacteria, specifically Mycobacterium avium complex (MAC), which can thrive in the warm, moist environment of hot tubs. This condition is more common in individuals who spend extended periods in poorly maintained hot tubs.

Symptoms of Hot Tub Lung

The symptoms of hot tub lung can vary but often include:

  • Coughing
  • Shortness of breath
  • Fever
  • Chills
  • Fatigue
  • Weight loss
  • Night sweats

These symptoms can develop gradually over time or appear suddenly after exposure to contaminated water. If you experience any of these symptoms after using a hot tub, it is essential to seek medical attention promptly.

Causes of Hot Tub Lung

The primary cause of hot tub lung is the inhalation of mycobacteria, particularly Mycobacterium avium complex (MAC). These bacteria can proliferate in hot tubs that are not properly maintained. Factors that contribute to the growth of MAC include:

  • Inadequate water filtration
  • Improper chemical treatment
  • Poor ventilation
  • High water temperature

Hot tubs that are not regularly cleaned and maintained provide an ideal environment for the growth of these bacteria, increasing the risk of hot tub lung for users.

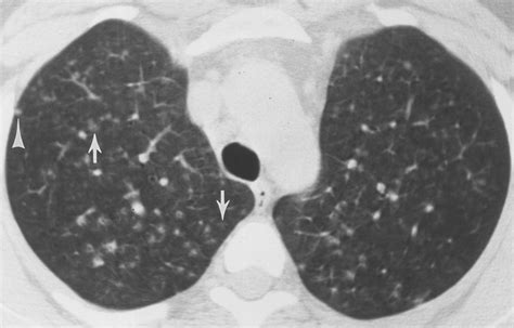
Diagnosis of Hot Tub Lung

Diagnosing hot tub lung involves a combination of medical history, physical examination, and diagnostic tests. Your healthcare provider may perform the following:

  • Chest X-ray or CT scan to visualize lung abnormalities
  • Pulmonary function tests to assess lung capacity and airflow
  • Bronchoalveolar lavage (BAL) to collect fluid from the lungs for analysis
  • Blood tests to check for the presence of antibodies against MAC

Early diagnosis is crucial for effective treatment and prevention of long-term lung damage.

Treatment Options for Hot Tub Lung

The treatment for hot tub lung focuses on reducing inflammation and preventing further exposure to the causative bacteria. Common treatment options include:

  • Corticosteroids to reduce inflammation
  • Antibiotics to treat the infection
  • Avoidance of hot tubs and other potential sources of exposure

In severe cases, hospitalization may be required for intensive treatment and monitoring. It is essential to follow your healthcare provider's recommendations for a full recovery.

Prevention of Hot Tub Lung

Preventing hot tub lung involves maintaining proper hot tub hygiene and ensuring regular maintenance. Here are some key steps to prevent the condition:

  • Regularly clean and disinfect the hot tub
  • Use appropriate water treatment chemicals
  • Ensure proper water filtration and circulation
  • Maintain optimal water temperature (below 104°F or 40°C)
  • Provide adequate ventilation
  • Limit the number of users and the duration of use

By following these guidelines, you can significantly reduce the risk of hot tub lung and ensure a safe and enjoyable hot tub experience.

Maintaining Hot Tub Hygiene

Maintaining hot tub hygiene is essential for preventing hot tub lung and other waterborne illnesses. Here are some best practices for hot tub maintenance:

  • Test the water regularly for pH, alkalinity, and sanitizer levels
  • Shock the hot tub weekly to eliminate contaminants
  • Clean the filters regularly and replace them as needed
  • Drain and refill the hot tub every 3-4 months
  • Wipe down the hot tub surfaces with a non-abrasive cleaner

Regular maintenance not only prevents hot tub lung but also extends the lifespan of your hot tub.

🔍 Note: Always follow the manufacturer's guidelines for hot tub maintenance and use approved cleaning products.

Recognizing the Signs of Poor Hot Tub Maintenance

Recognizing the signs of poor hot tub maintenance can help you take corrective actions before hot tub lung or other issues arise. Some common signs include:

  • Cloudy or discolored water
  • Strong chemical odors
  • Foaming or excessive bubbles
  • Visible debris or algae
  • Skin or eye irritation after use

If you notice any of these signs, it is crucial to address the issue promptly by cleaning and treating the hot tub.

Hot Tub Lung and Public Health

Hot tub lung is not only a concern for individual hot tub owners but also for public health. Public hot tubs and spas, such as those found in gyms, hotels, and resorts, can pose a higher risk if not properly maintained. Public health authorities often provide guidelines for the safe operation of public hot tubs, including:

  • Regular inspections and water testing
  • Mandatory maintenance schedules
  • Educational programs for staff and users

By adhering to these guidelines, public hot tubs can be made safer for all users.

Hot Tub Lung and Travel

If you enjoy traveling and using hot tubs at hotels or resorts, it is essential to be aware of the risks of hot tub lung. Here are some tips for safe hot tub use while traveling:

  • Inspect the hot tub for cleanliness before use
  • Ask about the maintenance schedule and water treatment methods
  • Limit your time in the hot tub
  • Shower immediately after use to remove any contaminants

By taking these precautions, you can enjoy your travels while minimizing the risk of hot tub lung.

Hot Tub Lung and Children

Children are particularly vulnerable to hot tub lung due to their smaller lung capacity and developing immune systems. To protect children from hot tub lung, follow these guidelines:

  • Supervise children closely while they are in the hot tub
  • Limit their time in the hot tub
  • Ensure the hot tub is properly maintained and clean
  • Teach children about the importance of hot tub hygiene

By taking these steps, you can help keep children safe from hot tub lung and other waterborne illnesses.

Hot Tub Lung and Pregnancy

Pregnant women should be cautious when using hot tubs due to the increased risk of hot tub lung and other health concerns. Here are some recommendations for pregnant women:

  • Avoid using hot tubs, especially during the first trimester
  • If you must use a hot tub, limit your time to 10 minutes or less
  • Ensure the hot tub is properly maintained and clean
  • Consult your healthcare provider before using a hot tub

By following these guidelines, pregnant women can minimize the risks associated with hot tub use.

Hot Tub Lung and Elderly Individuals

Elderly individuals are also at a higher risk of hot tub lung due to age-related changes in the immune system and lung function. To protect elderly individuals from hot tub lung, consider the following:

  • Ensure the hot tub is properly maintained and clean
  • Limit their time in the hot tub
  • Monitor for any signs of respiratory distress
  • Consult a healthcare provider before using a hot tub

By taking these precautions, you can help keep elderly individuals safe from hot tub lung.

Hot Tub Lung and Immunocompromised Individuals

Immunocompromised individuals, such as those with HIV/AIDS, cancer, or autoimmune disorders, are at a higher risk of hot tub lung. To protect immunocompromised individuals, follow these guidelines:

  • Avoid using hot tubs if possible
  • If you must use a hot tub, ensure it is properly maintained and clean
  • Limit your time in the hot tub
  • Consult your healthcare provider before using a hot tub

By taking these precautions, immunocompromised individuals can minimize the risks associated with hot tub use.

Hot Tub Lung and Asthma

Individuals with asthma are at a higher risk of hot tub lung due to their sensitive respiratory systems. To protect asthmatic individuals from hot tub lung, consider the following:

  • Ensure the hot tub is properly maintained and clean
  • Limit your time in the hot tub
  • Monitor for any signs of respiratory distress
  • Consult your healthcare provider before using a hot tub

By taking these precautions, asthmatic individuals can minimize the risks associated with hot tub use.

Hot Tub Lung and Allergies

Individuals with allergies may also be at a higher risk of hot tub lung due to their sensitive immune systems. To protect allergic individuals from hot tub lung, follow these guidelines:

  • Ensure the hot tub is properly maintained and clean
  • Limit your time in the hot tub
  • Monitor for any signs of respiratory distress
  • Consult your healthcare provider before using a hot tub

By taking these precautions, allergic individuals can minimize the risks associated with hot tub use.

Hot Tub Lung and Chronic Obstructive Pulmonary Disease (COPD)

Individuals with COPD are at a higher risk of hot tub lung due to their compromised lung function. To protect COPD patients from hot tub lung, consider the following:

  • Avoid using hot tubs if possible
  • If you must use a hot tub, ensure it is properly maintained and clean
  • Limit your time in the hot tub
  • Consult your healthcare provider before using a hot tub

By taking these precautions, COPD patients can minimize the risks associated with hot tub use.

Hot Tub Lung and Cystic Fibrosis

Individuals with cystic fibrosis are at a higher risk of hot tub lung due to their compromised respiratory systems. To protect cystic fibrosis patients from hot tub lung, follow these guidelines:

  • Avoid using hot tubs if possible
  • If you must use a hot tub, ensure it is properly maintained and clean
  • Limit your time in the hot tub
  • Consult your healthcare provider before using a hot tub

By taking these precautions, cystic fibrosis patients can minimize the risks associated with hot tub use.

Hot Tub Lung and Lung Cancer

Individuals with lung cancer are at a higher risk of hot tub lung due to their compromised lung function. To protect lung cancer patients from hot tub lung, consider the following:

  • Avoid using hot tubs if possible
  • If you must use a hot tub, ensure it is properly maintained and clean
  • Limit your time in the hot tub
  • Consult your healthcare provider before using a hot tub

By taking these precautions, lung cancer patients can minimize the risks associated with hot tub use.

Hot Tub Lung and Smoking

Smokers are at a higher risk of hot tub lung due to their compromised lung function. To protect smokers from hot tub lung, follow these guidelines:

  • Ensure the hot tub is properly maintained and clean
  • Limit your time in the hot tub
  • Monitor for any signs of respiratory distress
  • Consult your healthcare provider before using a hot tub

By taking these precautions, smokers can minimize the risks associated with hot tub use.

Hot Tub Lung and Environmental Factors

Environmental factors can also contribute to the risk of hot tub lung. Some key environmental factors to consider include:

  • Humidity levels
  • Air quality
  • Temperature
  • Ventilation

By addressing these environmental factors, you can create a safer hot tub environment and reduce the risk of hot tub lung.

Hot Tub Lung and Indoor Air Quality

Indoor air quality plays a crucial role in the risk of hot tub lung. Poor indoor air quality can exacerbate respiratory issues and increase the risk of infection. To improve indoor air quality and reduce the risk of hot tub lung, consider the following:

  • Ensure adequate ventilation
  • Use air purifiers
  • Regularly clean and maintain the hot tub
  • Monitor humidity levels

By taking these steps, you can improve indoor air quality and create a safer hot tub environment.

Hot Tub Lung and Outdoor Air Quality

Outdoor air quality can also impact the risk of hot tub lung, especially if the hot tub is located outdoors. To minimize the risk of hot tub lung in outdoor settings, consider the following:

  • Choose a location with good air circulation
  • Avoid areas with high pollen or dust levels
  • Regularly clean and maintain the hot tub
  • Monitor weather conditions

By taking these precautions, you can create a safer outdoor hot tub environment and reduce the risk of hot tub lung.

Hot Tub Lung and Seasonal Factors

Seasonal factors can also influence the risk of hot tub lung. For example, during the winter months, indoor hot tubs may be more prone to poor ventilation and high humidity, increasing the risk of infection. To minimize the risk of hot tub lung during different seasons, consider the following:

  • Ensure adequate ventilation
  • Monitor humidity levels
  • Regularly clean and maintain the hot tub
  • Adjust water temperature as needed

By taking these steps, you can create a safer hot tub environment year-round and reduce the risk of hot tub lung.

Hot Tub Lung and Travel Destinations

When traveling to different destinations, it is essential to be aware of the local hot tub maintenance practices and regulations. Some destinations may have stricter guidelines for hot tub maintenance, while others may be more lax. To protect yourself from hot tub lung while traveling, consider the following:

  • Research local hot tub maintenance practices
  • Inspect the hot tub for cleanliness before use
  • Ask about the maintenance schedule and water treatment methods
  • Limit your time in the hot tub
  • Shower immediately after use to remove any contaminants

By taking these precautions, you can enjoy your travels while minimizing the risk of hot tub lung.

Hot Tub Lung and Public Health Guidelines

Public health guidelines play a crucial role in preventing hot tub lung and other waterborne illnesses. These guidelines are designed to ensure the safe operation of public hot tubs and spas. Some key public health guidelines for hot tub maintenance include:

  • Regular inspections and water testing
  • Mandatory maintenance schedules
  • Educational programs for staff and users
  • Proper water treatment and filtration
  • Adequate ventilation

By adhering to these guidelines, public hot tubs can be made safer for all users.

Hot Tub Lung and Public Awareness

Public awareness is essential for preventing hot tub lung and other waterborne illnesses. By educating the public about the risks and prevention methods of hot tub lung, we can create a safer hot tub environment for everyone. Some key points to include in public awareness campaigns are:

  • The importance of proper hot tub maintenance
  • The risks of hot tub lung and other waterborne illnesses
  • Prevention methods, such as regular cleaning and water treatment
  • The signs of poor hot tub maintenance
  • The importance of seeking medical attention if symptoms arise

By raising public awareness, we can help prevent hot tub lung and ensure a safe and enjoyable hot tub experience for everyone.

Hot Tub Lung and Future Research

Future research is needed to better understand the causes, prevention, and treatment of hot tub lung. Some areas of future research may include:

  • The role of different mycobacteria in hot tub lung
  • The effectiveness of various water treatment methods
  • The impact of environmental factors on hot tub lung
  • The long-term effects of hot tub lung on lung function
  • The development of new diagnostic and treatment methods

By advancing our knowledge of hot tub lung, we can develop more effective prevention and treatment strategies, ultimately reducing the risk of this condition for hot tub users.

Hot tub lung is a serious condition that can affect anyone who uses hot tubs or spas. By understanding the symptoms, causes, and prevention methods of hot tub lung, you can take steps to protect yourself and others from this condition. Regular hot tub maintenance, proper water treatment, and awareness of the risks are essential for preventing hot tub lung and ensuring a safe and enjoyable hot tub experience.

In summary, hot tub lung is a condition caused by the inhalation of mycobacteria found in poorly maintained hot tubs. Symptoms include coughing, shortness of breath, fever, and fatigue. Prevention involves regular cleaning, proper water treatment, and adequate ventilation. If you experience symptoms after using a hot tub, seek medical attention promptly. By

Related Terms:

  • hot tub lung symptoms
  • hot tub lung disease symptoms
  • lungs allergy treatment
  • hot tub lung disease
  • sauna and pulmonary fibrosis
  • hot tub lung radiology
Facebook Twitter WhatsApp
Related Posts
Don't Miss