Learning

Hill Sachs Fracture

Hill Sachs Fracture
Hill Sachs Fracture

Understanding the complexities of shoulder injuries is crucial for athletes, healthcare professionals, and anyone involved in physical activities. One such injury that often goes unnoticed but can have significant implications is the Hill Sachs Fracture. This condition, though not as commonly discussed as other shoulder injuries, can severely impact an individual's mobility and quality of life. This post delves into the intricacies of a Hill Sachs Fracture, its causes, symptoms, diagnosis, treatment options, and preventive measures.

What is a Hill Sachs Fracture?

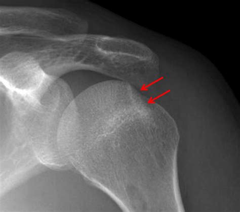
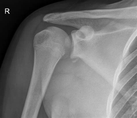
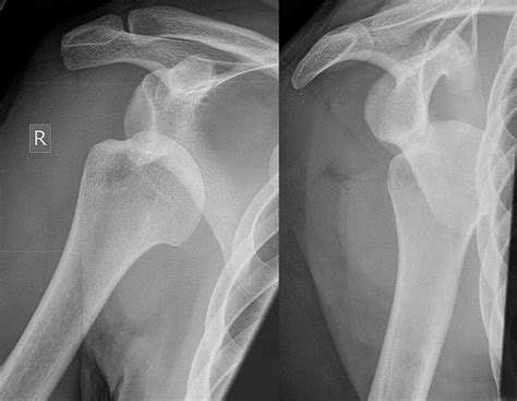
A Hill Sachs Fracture is a specific type of injury that occurs in the shoulder joint. It involves a compression fracture of the humeral head, which is the upper part of the arm bone that fits into the shoulder socket. This fracture typically results from a dislocation of the shoulder, where the humeral head is forced out of its socket and then impacts the glenoid rim, causing a depression or fracture on the humeral head.

Causes of Hill Sachs Fracture

The primary cause of a Hill Sachs Fracture is a shoulder dislocation. This can happen due to various reasons, including:

  • Traumatic events such as falls, sports injuries, or motor vehicle accidents.
  • Repetitive stress or overuse, particularly in athletes involved in contact sports or activities that require frequent overhead movements.
  • Weakness or instability in the shoulder joint, which can be congenital or due to previous injuries.

Symptoms of Hill Sachs Fracture

Identifying a Hill Sachs Fracture can be challenging because its symptoms often overlap with those of other shoulder injuries. Common symptoms include:

  • Severe pain in the shoulder, especially during movement.
  • Swelling and bruising around the shoulder area.
  • Limited range of motion and difficulty moving the arm.
  • A feeling of instability or weakness in the shoulder joint.
  • Visible deformity or a “bump” on the shoulder, which may indicate a dislocation.

Diagnosis of Hill Sachs Fracture

Diagnosing a Hill Sachs Fracture involves a combination of physical examination and imaging tests. The diagnostic process typically includes:

  • Physical Examination: A healthcare professional will assess the shoulder for signs of injury, such as swelling, tenderness, and range of motion.
  • Imaging Tests:
    • X-rays: These can help identify fractures and dislocations but may not always show the Hill Sachs lesion clearly.
    • MRI (Magnetic Resonance Imaging): This provides detailed images of the soft tissues and can help confirm the presence of a Hill Sachs lesion.
    • CT Scan (Computed Tomography): This can offer a more detailed view of the bone structure and is often used to assess the extent of the fracture.

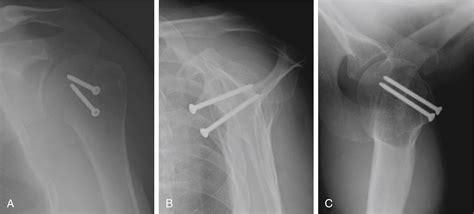
Treatment Options for Hill Sachs Fracture

The treatment for a Hill Sachs Fracture depends on the severity of the injury and the individual’s overall health. Treatment options range from conservative measures to surgical interventions.

Conservative Treatment:

  • Rest and Immobilization: Keeping the shoulder immobilized with a sling or brace to allow the fracture to heal.
  • Pain Management: Using over-the-counter pain relievers or prescription medications to manage pain and inflammation.
  • Physical Therapy: Exercises to improve range of motion, strength, and stability in the shoulder joint.

Surgical Treatment:

  • Arthroscopic Surgery: Minimally invasive surgery to repair the fracture and stabilize the shoulder joint.
  • Open Surgery: More invasive procedure to address severe fractures or complex injuries.
  • Bone Grafting: In some cases, bone grafting may be necessary to fill the defect caused by the fracture.

Post-Surgical Care:

  • Rehabilitation: Intensive physical therapy to regain strength and mobility in the shoulder.
  • Follow-Up: Regular check-ups with the healthcare provider to monitor progress and adjust the treatment plan as needed.

📝 Note: The choice of treatment depends on various factors, including the size and location of the fracture, the individual's age and overall health, and the presence of any underlying conditions.

Preventive Measures for Hill Sachs Fracture

Preventing a Hill Sachs Fracture involves taking steps to protect the shoulder joint from injury. Some effective preventive measures include:

  • Strengthening Exercises: Regularly performing exercises to strengthen the muscles around the shoulder joint.
  • Proper Technique: Using correct techniques during sports and physical activities to minimize the risk of injury.
  • Warm-Up and Cool-Down: Always warming up before physical activity and cooling down afterward to prepare the muscles and joints.
  • Avoiding High-Risk Activities: Being cautious with activities that have a high risk of shoulder dislocation, especially if you have a history of shoulder injuries.

Recovery and Rehabilitation

Recovery from a Hill Sachs Fracture can be a lengthy process, depending on the severity of the injury and the chosen treatment method. Rehabilitation plays a crucial role in restoring function and preventing future injuries. Key aspects of rehabilitation include:

  • Pain Management: Continuing pain management strategies to ensure comfort during the recovery process.
  • Range of Motion Exercises: Gradually increasing the range of motion to prevent stiffness and improve flexibility.
  • Strengthening Exercises: Progressive exercises to build strength in the shoulder muscles and stabilize the joint.
  • Functional Training: Activities that mimic daily tasks and sports-specific movements to prepare the shoulder for return to normal activities.

Rehabilitation Timeline:

Phase Duration Goals
Acute Phase 0-6 weeks Pain management, immobilization, and initial range of motion exercises.
Subacute Phase 6-12 weeks Gradual increase in range of motion and introduction of strengthening exercises.
Chronic Phase 12+ weeks Advanced strengthening, functional training, and return to normal activities.

📝 Note: The rehabilitation timeline can vary based on the individual's progress and the severity of the injury. It is essential to follow the guidance of a healthcare professional or physical therapist.

Long-Term Considerations

After recovering from a Hill Sachs Fracture, it is important to consider long-term strategies to maintain shoulder health and prevent future injuries. Some key considerations include:

  • Maintaining Strength and Flexibility: Continuing with a regular exercise routine to keep the shoulder muscles strong and flexible.
  • Avoiding High-Impact Activities: Being cautious with activities that pose a high risk of shoulder injury, especially if you have a history of shoulder dislocations.
  • Regular Check-Ups: Scheduling regular check-ups with a healthcare provider to monitor shoulder health and address any concerns promptly.

Returning to Sports:

  • Gradual Return: Gradually returning to sports and physical activities under the guidance of a healthcare professional.
  • Protective Gear: Using appropriate protective gear to minimize the risk of injury during sports and physical activities.
  • Proper Technique: Ensuring proper technique and form during sports and physical activities to reduce the risk of reinjury.

Psychological Support:

  • Coping with Injury: Seeking psychological support to cope with the emotional and psychological aspects of recovering from a shoulder injury.
  • Motivation and Support: Staying motivated and seeking support from friends, family, and healthcare professionals throughout the recovery process.

Future Injury Prevention:

  • Education and Awareness: Educating yourself about shoulder injuries and preventive measures to minimize the risk of future injuries.
  • Regular Exercise: Incorporating regular exercise into your routine to maintain overall fitness and shoulder health.

Long-Term Monitoring:

  • Follow-Up Appointments: Scheduling regular follow-up appointments with your healthcare provider to monitor your progress and address any concerns.
  • Adjusting Treatment Plan: Being open to adjusting your treatment plan based on your progress and any new developments in your condition.

Lifestyle Changes:

  • Healthy Diet: Maintaining a healthy diet to support overall health and recovery.
  • Adequate Rest: Ensuring adequate rest and sleep to promote healing and recovery.
  • Stress Management: Managing stress through techniques such as meditation, yoga, or other relaxation methods.

Support Groups:

  • Joining Support Groups: Joining support groups for individuals with similar injuries to share experiences, gain insights, and receive emotional support.
  • Online Communities: Participating in online communities and forums to connect with others who have experienced similar injuries and learn from their experiences.

Professional Guidance:

  • Consulting Specialists: Consulting with specialists such as orthopedic surgeons, physical therapists, and sports medicine physicians for expert guidance and treatment.
  • Customized Treatment Plans: Working with healthcare professionals to develop customized treatment plans tailored to your specific needs and goals.

Continuous Learning:

  • Staying Informed: Staying informed about the latest research and developments in shoulder injury treatment and prevention.
  • Attending Workshops: Attending workshops, seminars, and educational programs to learn more about shoulder health and injury prevention.

Community Involvement:

  • Participating in Community Events: Participating in community events and activities that promote shoulder health and injury prevention.
  • Volunteering: Volunteering with organizations that support individuals with shoulder injuries and promote awareness about shoulder health.

Personal Goals:

  • Setting Realistic Goals: Setting realistic goals for your recovery and working towards them with the support of your healthcare team.
  • Celebrating Milestones: Celebrating milestones and achievements throughout your recovery journey to stay motivated and focused.

Future Planning:

  • Planning for the Future: Planning for the future by setting long-term goals and developing strategies to maintain shoulder health and prevent future injuries.
  • Adapting to Changes: Being adaptable and open to changes in your treatment plan and lifestyle as needed to support your recovery and overall health.

Emotional Well-Being:

  • Prioritizing Mental Health: Prioritizing your mental health and seeking support when needed to cope with the emotional challenges of recovering from a shoulder injury.
  • Building Resilience: Building resilience and developing coping strategies to overcome the challenges of recovery and maintain a positive outlook.

Physical Well-Being:

  • Maintaining Overall Health: Maintaining overall health through regular exercise, a balanced diet, and adequate rest to support your recovery and long-term well-being.
  • Addressing Underlying Conditions: Addressing any underlying conditions or health issues that may impact your recovery and overall health.

Social Support:

  • Building a Support Network: Building a support network of friends, family, and healthcare professionals to provide emotional and practical support throughout your recovery journey.
  • Engaging in Social Activities: Engaging in social activities and hobbies that promote mental and emotional well-being and provide a sense of community and belonging.

Educational Resources:

  • Accessing Educational Materials: Accessing educational materials, books, and online resources to learn more about shoulder injuries, treatment options, and preventive measures.
  • Attending Workshops and Seminars: Attending workshops, seminars, and educational programs to gain insights and knowledge about shoulder health and injury prevention.

Professional Development:

  • Pursuing Professional Development: Pursuing professional development opportunities to enhance your knowledge and skills in shoulder health and injury prevention.
  • Networking with Professionals: Networking with healthcare professionals, researchers, and experts in the field of shoulder health to stay informed and connected.

Community Engagement:

  • Engaging with the Community: Engaging with the community through volunteer work, advocacy, and educational initiatives to promote shoulder health and injury prevention.
  • Sharing Your Story: Sharing your story and experiences with others to raise awareness about shoulder injuries and inspire hope and resilience.

Personal Growth:

  • Embracing Personal Growth: Embracing personal growth and development as part of your recovery journey, focusing on building strength, resilience, and self-awareness.
  • Setting New Goals: Setting new goals and aspirations for your future, inspired by your experiences and the lessons you have learned throughout your recovery.

Future Aspirations:

  • Planning for the Future: Planning for the future with a focus on maintaining shoulder health, preventing future injuries, and achieving your personal and professional goals.
  • Staying Positive: Staying positive and optimistic about your future, knowing that with the right support and strategies, you can overcome the challenges of a Hill Sachs Fracture and lead a fulfilling life.

Final Thoughts:

  • Reflecting on Your Journey: Reflecting on your journey of recovery and the lessons you have learned, appreciating the strength and resilience you have developed along the way.
  • Celebrating Your Achievements: Celebrating your achievements and milestones, recognizing the hard work and dedication that have brought you to this point.

Continuous Improvement:

  • Continuing to Improve: Continuing to improve and refine your strategies for maintaining shoulder health and preventing future injuries, staying committed to your long-term goals and aspirations.
  • Embracing Change: Embracing change and adapting to new challenges, knowing that your experiences and knowledge will guide you in overcoming any obstacles that may arise.

Supporting Others:

  • Supporting Others: Supporting others who are on their own journey of recovery, sharing your experiences and insights to inspire hope and resilience.
  • Building a Community: Building a community of support and encouragement, where individuals can come together to share their stories, learn from each other, and grow together.

Looking Ahead:

  • Looking Ahead with Hope: Looking ahead with hope and optimism, knowing that with the right support and strategies, you can overcome the challenges of a Hill Sachs Fracture and lead a fulfilling and active life.
  • Embracing the Future: Embracing the future with confidence and determination, ready to face any challenges that may come your way and achieve your dreams and aspirations.

Conclusion:

A Hill Sachs Fracture is a complex and often misunderstood shoulder injury that can significantly impact an individual’s mobility and quality of life. Understanding the causes, symptoms, diagnosis, and treatment options is crucial for effective management and recovery. By taking preventive measures, engaging in a comprehensive rehabilitation program, and maintaining long-term strategies for shoulder health, individuals can overcome the challenges of a Hill Sachs Fracture and return to their normal activities with confidence and resilience.

Related Terms:

  • hill sachs fracture ct
  • reverse hill sachs lesion
  • hill sachs fracture x ray
  • hill sachs fracture treatment
  • hill sachs fracture management
  • hill sachs fracture orthobullets
Facebook Twitter WhatsApp
Related Posts
Don't Miss