Learning

Hill Sachs Disease

Hill Sachs Disease
Hill Sachs Disease

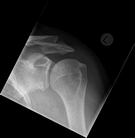
Hill Sachs disease, also known as Hill-Sachs lesion, is a condition that affects the shoulder joint, particularly the humeral head. This condition is characterized by a compression fracture or deformity of the humeral head, which occurs when the humeral head impacts the glenoid rim during a shoulder dislocation. Understanding Hill Sachs disease, its causes, symptoms, diagnosis, and treatment options is crucial for anyone dealing with shoulder injuries or dislocations.

Understanding Hill Sachs Disease

Hill Sachs disease is named after the doctors who first described it, Dr. Harold Arthur Hill and Dr. Maurice Sachs. It is a common complication of shoulder dislocations, particularly anterior dislocations. The condition involves a defect or indentation on the posterolateral aspect of the humeral head, which can range from a small depression to a large, irregular deformity.

When the shoulder dislocates anteriorly, the humeral head is forced out of the glenoid fossa and impacts the anterior glenoid rim. This impact can cause a compression fracture of the humeral head, leading to the characteristic Hill Sachs lesion. The size and location of the lesion can vary, depending on the severity of the dislocation and the individual's anatomy.

Causes of Hill Sachs Disease

Hill Sachs disease is primarily caused by shoulder dislocations, particularly anterior dislocations. Other factors that can contribute to the development of Hill Sachs disease include:

  • Trauma: A direct blow to the shoulder or a fall on an outstretched arm can cause a shoulder dislocation and subsequent Hill Sachs lesion.
  • Repetitive stress: Athletes who participate in sports that involve repetitive overhead motions, such as swimming, baseball, or tennis, may be at increased risk of developing Hill Sachs disease.
  • Shoulder instability: Individuals with shoulder instability, whether due to congenital factors or previous injuries, are more likely to experience shoulder dislocations and develop Hill Sachs disease.

Symptoms of Hill Sachs Disease

The symptoms of Hill Sachs disease can vary depending on the size and location of the lesion. Some individuals may not experience any symptoms, while others may have significant pain and disability. Common symptoms of Hill Sachs disease include:

  • Pain: Pain in the shoulder, particularly with movement or overhead activities.
  • Swelling: Swelling and tenderness around the shoulder joint.
  • Instability: A feeling of instability or looseness in the shoulder joint.
  • Limited range of motion: Difficulty moving the shoulder through its full range of motion.
  • Clicking or popping: A clicking or popping sensation in the shoulder joint during movement.

Diagnosing Hill Sachs Disease

Diagnosing Hill Sachs disease typically involves a combination of physical examination, medical history, and imaging studies. The diagnostic process may include:

  • Physical examination: A healthcare provider will examine the shoulder, assessing for signs of instability, tenderness, and limited range of motion.
  • Medical history: The healthcare provider will ask about any previous shoulder injuries, dislocations, or surgeries, as well as any symptoms the individual is experiencing.
  • Imaging studies: Imaging studies, such as X-rays, CT scans, or MRI scans, can help visualize the Hill Sachs lesion and assess its size and location. MRI scans are particularly useful for evaluating the soft tissues around the shoulder joint.

Treatment Options for Hill Sachs Disease

The treatment of Hill Sachs disease depends on the size and location of the lesion, as well as the individual's symptoms and activity level. Treatment options may include:

Non-Surgical Treatment

Non-surgical treatment options for Hill Sachs disease may include:

  • Rest and activity modification: Avoiding activities that cause pain or discomfort in the shoulder.
  • Ice and heat therapy: Applying ice or heat to the shoulder to reduce pain and inflammation.
  • Pain medication: Over-the-counter pain medications, such as ibuprofen or acetaminophen, can help manage pain and inflammation.
  • Physical therapy: Physical therapy exercises can help improve shoulder strength, flexibility, and range of motion.

Surgical Treatment

In some cases, surgical treatment may be necessary to address Hill Sachs disease, particularly if the lesion is large or causing significant symptoms. Surgical options may include:

  • Arthroscopic surgery: Minimally invasive surgery using a small camera and instruments to repair the Hill Sachs lesion and stabilize the shoulder joint.
  • Open surgery: Traditional open surgery to repair the Hill Sachs lesion and address any other underlying issues, such as shoulder instability.
  • Bone grafting: In some cases, bone grafting may be necessary to fill in the defect caused by the Hill Sachs lesion and restore the normal contour of the humeral head.

📝 Note: The choice of treatment will depend on the individual's specific condition, symptoms, and activity level. It is important to consult with a healthcare provider to determine the most appropriate treatment plan.

Preventing Hill Sachs Disease

While it may not be possible to prevent all cases of Hill Sachs disease, there are steps that can be taken to reduce the risk of shoulder dislocations and subsequent Hill Sachs lesions. These may include:

  • Strengthening exercises: Regularly performing exercises to strengthen the muscles around the shoulder joint can help improve stability and reduce the risk of dislocations.
  • Proper technique: Using proper technique during sports and other activities can help prevent shoulder injuries and dislocations.
  • Wearing protective gear: Wearing appropriate protective gear, such as shoulder pads or braces, can help protect the shoulder joint during high-impact activities.

Recovery and Rehabilitation

Recovery and rehabilitation from Hill Sachs disease will depend on the severity of the condition and the chosen treatment method. For non-surgical treatment, recovery may involve:

  • Rest and activity modification: Avoiding activities that cause pain or discomfort in the shoulder.
  • Ice and heat therapy: Applying ice or heat to the shoulder to reduce pain and inflammation.
  • Pain medication: Over-the-counter pain medications, such as ibuprofen or acetaminophen, can help manage pain and inflammation.
  • Physical therapy: Physical therapy exercises can help improve shoulder strength, flexibility, and range of motion.

For surgical treatment, recovery may involve a more structured rehabilitation program, including:

  • Immobilization: Wearing a sling or brace to immobilize the shoulder and allow the tissues to heal.
  • Physical therapy: A structured physical therapy program to gradually restore shoulder strength, flexibility, and range of motion.
  • Gradual return to activity: Gradually returning to normal activities and sports, as tolerated, under the guidance of a healthcare provider.

📝 Note: It is important to follow the rehabilitation program as prescribed by the healthcare provider to ensure a successful recovery and minimize the risk of future shoulder injuries.

Long-Term Outlook

The long-term outlook for individuals with Hill Sachs disease can vary depending on the size and location of the lesion, as well as the chosen treatment method. With appropriate treatment and rehabilitation, many individuals can achieve a full recovery and return to their normal activities. However, some individuals may experience ongoing symptoms or require additional treatment to manage their condition.

Regular follow-up with a healthcare provider is important to monitor the condition and ensure that any necessary adjustments to the treatment plan are made. In some cases, additional imaging studies or surgical procedures may be recommended to address any ongoing issues or complications.

In summary, Hill Sachs disease is a condition that affects the shoulder joint, characterized by a compression fracture or deformity of the humeral head. Understanding the causes, symptoms, diagnosis, and treatment options for Hill Sachs disease is crucial for anyone dealing with shoulder injuries or dislocations. With appropriate treatment and rehabilitation, many individuals can achieve a full recovery and return to their normal activities.

Related Terms:

  • hill sachs defect xray
  • hill sachs defect icd
  • hill sachs defect ct
  • hill sachs radiology
  • reverse hill sachs defect
  • hill sachs defect ultrasound
Facebook Twitter WhatsApp
Related Posts
Don't Miss