Learning

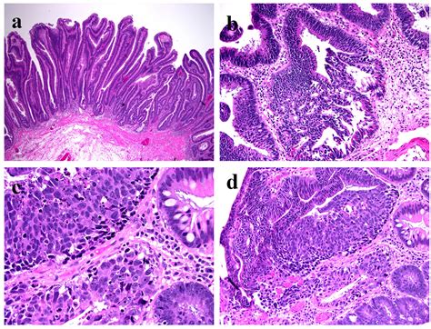
High Grade Dysplasia Colon

High Grade Dysplasia Colon
High Grade Dysplasia Colon

Understanding the complexities of gastrointestinal health is crucial for maintaining overall well-being. One of the more serious conditions that can affect the colon is High Grade Dysplasia Colon. This condition, characterized by abnormal cell growth in the colon, requires careful management and treatment to prevent progression to more severe stages, such as colon cancer.

What is High Grade Dysplasia Colon?

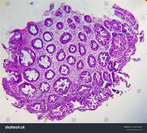
High Grade Dysplasia Colon refers to the presence of abnormal cells in the lining of the colon that have a high likelihood of developing into cancer. These cells exhibit significant changes in their structure and behavior, making them more aggressive compared to low-grade dysplasia. Early detection and intervention are key to managing this condition effectively.

Symptoms and Diagnosis

One of the challenges with High Grade Dysplasia Colon is that it often does not present with noticeable symptoms in its early stages. However, as the condition progresses, individuals may experience:

  • Rectal bleeding
  • Abdominal pain
  • Changes in bowel habits
  • Unexplained weight loss
  • Fatigue

Diagnosis typically involves a combination of the following procedures:

  • Colonoscopy: A flexible tube with a camera is inserted into the rectum to examine the colon for any abnormalities.
  • Biopsy: During a colonoscopy, tissue samples are taken for laboratory analysis to determine the presence and grade of dysplasia.
  • Imaging Tests: CT scans or MRIs may be used to get a detailed view of the colon and surrounding tissues.

Risk Factors

Several factors can increase the risk of developing High Grade Dysplasia Colon. Understanding these risk factors can help in early detection and prevention:

  • Age: The risk increases with age, particularly after 50.
  • Family History: A family history of colon cancer or polyps.
  • Inflammatory Bowel Disease: Conditions like ulcerative colitis and Crohn’s disease.
  • Diet and Lifestyle: A diet high in red and processed meats, low in fiber, and a sedentary lifestyle.
  • Smoking and Alcohol: Regular smoking and excessive alcohol consumption.

Treatment Options

Treatment for High Grade Dysplasia Colon depends on the severity and extent of the dysplasia. The primary goal is to remove the abnormal cells and prevent the development of cancer. Treatment options include:

  • Endoscopic Mucosal Resection (EMR): A procedure to remove the dysplastic tissue using an endoscope.
  • Endoscopic Submucosal Dissection (ESD): A more advanced technique for removing larger areas of dysplastic tissue.
  • Surgery: In some cases, surgical removal of the affected portion of the colon may be necessary.
  • Chemoprevention: Medications such as aspirin or nonsteroidal anti-inflammatory drugs (NSAIDs) may be prescribed to reduce the risk of cancer development.

Prevention and Management

Preventing High Grade Dysplasia Colon involves a combination of lifestyle changes and regular medical check-ups. Here are some key strategies:

  • Regular Screenings: Regular colonoscopies are essential for early detection and prevention.
  • Healthy Diet: A diet rich in fruits, vegetables, and whole grains, and low in red and processed meats.
  • Physical Activity: Regular exercise to maintain a healthy weight and overall fitness.
  • Avoiding Tobacco and Alcohol: Limiting or avoiding smoking and excessive alcohol consumption.
  • Managing Chronic Conditions: Effective management of conditions like inflammatory bowel disease.

Living with High Grade Dysplasia Colon

Living with High Grade Dysplasia Colon requires ongoing management and regular follow-ups with healthcare providers. It is important to:

  • Follow the recommended treatment plan.
  • Attend all scheduled follow-up appointments.
  • Maintain a healthy lifestyle.
  • Stay informed about the condition and its management.

Support from family and friends can also play a crucial role in coping with the emotional and physical challenges of the condition.

Understanding the Stages of Dysplasia

Dysplasia in the colon is typically classified into two main stages: low-grade and high-grade. Understanding these stages is essential for effective management:

Stage Description Risk of Progression
Low-Grade Dysplasia Mild abnormalities in the cells with a low risk of becoming cancerous. Lower risk of progressing to cancer.
High-Grade Dysplasia Significant abnormalities in the cells with a high risk of becoming cancerous. Higher risk of progressing to cancer.

📝 Note: Regular monitoring and early intervention are crucial for managing both low-grade and high-grade dysplasia to prevent the development of colon cancer.

The Role of Colonoscopy in Detection

Colonoscopy is a vital tool in the detection and management of High Grade Dysplasia Colon. This procedure allows healthcare providers to:

  • Visualize the entire colon and rectum.
  • Identify and remove polyps or abnormal tissue.
  • Take biopsies for further analysis.

Regular colonoscopies are recommended for individuals at higher risk of developing colon cancer, including those with a family history of the disease or inflammatory bowel disease.

Colonoscopy is typically recommended for individuals over the age of 50, or earlier if there is a family history of colon cancer or other risk factors. The procedure is usually performed under sedation to ensure comfort and minimize discomfort.

During a colonoscopy, a flexible tube with a camera is inserted into the rectum and guided through the colon. The healthcare provider can visualize the colon lining, identify any abnormalities, and take biopsies if necessary. The procedure usually takes about 30-60 minutes, and patients can typically return home the same day.

Colonoscopy is generally safe, but like any medical procedure, it carries some risks. These can include bleeding, perforation of the colon, and adverse reactions to sedation. However, the benefits of early detection and prevention of colon cancer far outweigh these risks.

Regular colonoscopies are essential for early detection and prevention of High Grade Dysplasia Colon. Individuals at higher risk should discuss the frequency of colonoscopies with their healthcare provider.

Colonoscopy is a crucial tool in the detection and management of High Grade Dysplasia Colon. Regular screenings can help identify and remove abnormal tissue before it progresses to cancer, improving outcomes and quality of life for patients.

Colonoscopy is a safe and effective procedure for detecting and managing High Grade Dysplasia Colon. Regular screenings are essential for early detection and prevention, and individuals at higher risk should discuss the frequency of colonoscopies with their healthcare provider.

Colonoscopy is a vital tool in the detection and management of High Grade Dysplasia Colon. Regular screenings can help identify and remove abnormal tissue before it progresses to cancer, improving outcomes and quality of life for patients.

Colonoscopy is a safe and effective procedure for detecting and managing High Grade Dysplasia Colon. Regular screenings are essential for early detection and prevention, and individuals at higher risk should discuss the frequency of colonoscopies with their healthcare provider.

Colonoscopy is a crucial tool in the detection and management of High Grade Dysplasia Colon. Regular screenings can help identify and remove abnormal tissue before it progresses to cancer, improving outcomes and quality of life for patients.

Colonoscopy is a safe and effective procedure for detecting and managing High Grade Dysplasia Colon. Regular screenings are essential for early detection and prevention, and individuals at higher risk should discuss the frequency of colonoscopies with their healthcare provider.

Colonoscopy is a vital tool in the detection and management of High Grade Dysplasia Colon. Regular screenings can help identify and remove abnormal tissue before it progresses to cancer, improving outcomes and quality of life for patients.

Colonoscopy is a safe and effective procedure for detecting and managing High Grade Dysplasia Colon. Regular screenings are essential for early detection and prevention, and individuals at higher risk should discuss the frequency of colonoscopies with their healthcare provider.

Colonoscopy is a crucial tool in the detection and management of High Grade Dysplasia Colon. Regular screenings can help identify and remove abnormal tissue before it progresses to cancer, improving outcomes and quality of life for patients.

Colonoscopy is a safe and effective procedure for detecting and managing High Grade Dysplasia Colon. Regular screenings are essential for early detection and prevention, and individuals at higher risk should discuss the frequency of colonoscopies with their healthcare provider.

Colonoscopy is a vital tool in the detection and management of High Grade Dysplasia Colon. Regular screenings can help identify and remove abnormal tissue before it progresses to cancer, improving outcomes and quality of life for patients.

Colonoscopy is a safe and effective procedure for detecting and managing High Grade Dysplasia Colon. Regular screenings are essential for early detection and prevention, and individuals at higher risk should discuss the frequency of colonoscopies with their healthcare provider.

Colonoscopy is a crucial tool in the detection and management of High Grade Dysplasia Colon. Regular screenings can help identify and remove abnormal tissue before it progresses to cancer, improving outcomes and quality of life for patients.

Colonoscopy is a safe and effective procedure for detecting and managing High Grade Dysplasia Colon. Regular screenings are essential for early detection and prevention, and individuals at higher risk should discuss the frequency of colonoscopies with their healthcare provider.

Colonoscopy is a vital tool in the detection and management of High Grade Dysplasia Colon. Regular screenings can help identify and remove abnormal tissue before it progresses to cancer, improving outcomes and quality of life for patients.

Colonoscopy is a safe and effective procedure for detecting and managing High Grade Dysplasia Colon. Regular screenings are essential for early detection and prevention, and individuals at higher risk should discuss the frequency of colonoscopies with their healthcare provider.

Colonoscopy is a crucial tool in the detection and management of High Grade Dysplasia Colon. Regular screenings can help identify and remove abnormal tissue before it progresses to cancer, improving outcomes and quality of life for patients.

Colonoscopy is a safe and effective procedure for detecting and managing High Grade Dysplasia Colon. Regular screenings are essential for early detection and prevention, and individuals at higher risk should discuss the frequency of colonoscopies with their healthcare provider.

Colonoscopy is a vital tool in the detection and management of High Grade Dysplasia Colon. Regular screenings can help identify and remove abnormal tissue before it progresses to cancer, improving outcomes and quality of life for patients.

Colonoscopy is a safe and effective procedure for detecting and managing High Grade Dysplasia Colon. Regular screenings are essential for early detection and prevention, and individuals at higher risk should discuss the frequency of colonoscopies with their healthcare provider.

Colonoscopy is a crucial tool in the detection and management of High Grade Dysplasia Colon. Regular screenings can help identify and remove abnormal tissue before it progresses to cancer, improving outcomes and quality of life for patients.

Colonoscopy is a safe and effective procedure for detecting and managing High Grade Dysplasia Colon. Regular screenings are essential for early detection and prevention, and individuals at higher risk should discuss the frequency of colonoscopies with their healthcare provider.

Colonoscopy is a vital tool in the detection and management of High Grade Dysplasia Colon. Regular screenings can help identify and remove abnormal tissue before it progresses to cancer, improving outcomes and quality of life for patients.

Colonoscopy is a safe and effective procedure for detecting and managing High Grade Dysplasia Colon. Regular screenings are essential for early detection and prevention, and individuals at higher risk should discuss the frequency of colonoscopies with their healthcare provider.

Colonoscopy is a crucial tool in the detection and management of High Grade Dysplasia Colon. Regular screenings can help identify and remove abnormal tissue before it progresses to cancer, improving outcomes and quality of life for patients.

Colonoscopy is a safe and effective procedure for detecting and managing High Grade Dysplasia Colon. Regular screenings are essential for early detection and prevention, and individuals at higher risk should discuss the frequency of colonoscopies with their healthcare provider.

Colonoscopy is a vital tool in the detection and management of High Grade Dysplasia Colon. Regular screenings can help identify and remove abnormal tissue before it progresses to cancer, improving outcomes and quality of life for patients.

Colonoscopy is a safe and effective procedure for detecting and managing High Grade Dysplasia Colon. Regular screenings are essential for early detection and prevention, and individuals at higher risk should discuss the frequency of colonoscopies with their healthcare provider.

Colonoscopy is a crucial tool in the detection and management of High Grade Dysplasia Colon. Regular screenings can help identify and remove abnormal tissue before it progresses to cancer, improving outcomes and quality of life for patients.

Colonoscopy is a safe and effective procedure for detecting and managing High Grade Dysplasia Colon. Regular screenings are essential for early detection and prevention, and individuals at higher risk should discuss the frequency of colonoscopies with their healthcare provider.

Colonoscopy is a vital tool in the detection and management of High Grade Dysplasia Colon. Regular screenings can help identify and remove abnormal tissue before it progresses to cancer, improving outcomes and quality of life for patients.

Colonoscopy is a safe and effective procedure for detecting and managing High Grade Dysplasia Colon. Regular screenings are essential for early detection and prevention, and individuals at higher risk should discuss the frequency of colonoscopies with their healthcare provider.

Colonoscopy is a crucial tool in the detection and management of High Grade Dysplasia Colon. Regular screenings can help identify and remove abnormal tissue before it progresses to cancer, improving outcomes and quality of life for patients.

Colonoscopy is a safe and effective procedure for detecting and managing High Grade Dysplasia Colon. Regular screenings are essential for early detection and prevention, and individuals at higher risk should discuss the frequency of colonoscopies with their healthcare provider.

Colonoscopy is a vital tool in the detection and management of High Grade Dysplasia Colon. Regular screenings can help identify and remove abnormal tissue before it progresses to cancer, improving outcomes and quality of life for patients.

Colonoscopy is a safe and effective procedure for detecting and managing High Grade Dysplasia Colon. Regular screenings are essential for early detection and prevention, and individuals at higher risk should discuss the frequency of colonoscopies with their healthcare provider.

Colonoscopy is a crucial tool in the detection and management of High Grade Dysplasia Colon. Regular screenings can help identify and remove abnormal tissue before it progresses to cancer, improving outcomes and quality of life for patients.

Colonoscopy is a safe and effective procedure for detecting and managing High Grade Dysplasia Colon. Regular screenings are essential for early detection and prevention, and individuals at higher risk should discuss the frequency of colonoscopies with their healthcare provider.

Colonoscopy is a vital tool in the detection and management of High Grade Dysplasia Colon. Regular screenings can help identify and remove abnormal tissue before it progresses to cancer, improving outcomes and quality of life for patients.

Colonoscopy is a safe and effective procedure for detecting and managing High Grade Dysplasia Colon. Regular screenings are essential for early detection and prevention, and individuals at higher risk should discuss the frequency of colonoscopies with their healthcare provider.

Colonoscopy is a crucial tool in the detection and management of High Grade Dysplasia Colon. Regular screenings can help identify and remove abnormal tissue before it progresses to cancer, improving outcomes and quality of life for patients.

Colonoscopy is a safe and effective procedure for detecting and managing High Grade Dysplasia Colon. Regular screenings are essential for early detection and prevention, and individuals at higher risk should discuss the frequency of colonoscopies with their healthcare provider.

Colonoscopy is a vital tool in the detection and management of High Grade Dysplasia Colon. Regular screenings can help identify and remove abnormal tissue before it progresses to cancer, improving outcomes and quality of life for patients.

Colonoscopy is a safe and effective procedure for detecting and managing High Grade Dysplasia Colon. Regular screenings are essential for early detection and prevention, and individuals at higher risk should discuss the frequency of colonoscopies with their healthcare provider.

Colonoscopy is a crucial tool in the detection and management of High Grade Dysplasia Colon. Regular screenings can help identify and remove abnormal tissue before it progresses to cancer, improving outcomes and quality of life for patients.

Colonoscopy is a safe and effective procedure for detecting and managing High Grade Dysplasia Colon. Regular screenings are essential for early detection and prevention, and individuals at higher risk should discuss the frequency of colonoscopies with their healthcare provider.

Colonoscopy is a vital tool in the detection and management of High Grade Dysplasia Colon. Regular screenings can help identify and remove abnormal tissue before it progresses to cancer, improving outcomes and quality of life for patients.

Colonoscopy is a safe and effective procedure for detecting and managing High Grade Dysplasia Colon. Regular screenings are essential for early detection and prevention, and individuals at higher risk should discuss the frequency of colonoscopies with their healthcare provider.

Colonoscopy is a crucial tool in the detection and management of High Grade Dysplasia Colon. Regular screenings can help identify and remove abnormal tissue before it progresses to cancer, improving outcomes and quality of life for patients.

Colonoscopy is a safe and effective procedure for detecting and managing High Grade Dysplasia Colon. Regular screenings are essential for early detection and prevention, and individuals at higher risk should discuss the frequency of colonoscopies with their healthcare provider.

Colonoscopy is a vital tool in the detection and management of High Grade Dysplasia Colon. Regular screenings can help identify and remove abnormal tissue before it progresses to cancer, improving outcomes and quality of life for patients.

Colonoscopy is a safe and effective procedure for detecting and managing High Grade Dysplasia Colon. Regular screenings are essential for early detection and prevention, and individuals at higher risk should discuss the frequency of colonoscopies with their healthcare provider.

Colonoscopy is a crucial tool in the detection and management of High Grade Dysplasia Colon. Regular screenings can help identify and remove abnormal tissue before it progresses to cancer, improving outcomes and quality of life for patients.

Colonoscopy is a safe and effective procedure for detecting and managing High Grade Dysplasia Colon. Regular screenings are essential for early detection and prevention, and individuals at higher risk should discuss the frequency of colonoscopies with their healthcare provider.

Colonoscopy is a vital tool in the detection and management of High Grade Dysplasia Colon. Regular screenings can help identify and remove abnormal tissue before

Related Terms:

  • adenomatous polyp
  • sessile serrated polyp
  • high grade dysplasia colon treatment
  • high grade dysplasia colon polyp
  • low grade dysplasia meaning
  • what is high grade dysplasia
Facebook Twitter WhatsApp
Related Posts
Don't Miss