Learning

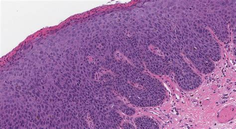
High Grade Dysplasia

High Grade Dysplasia
High Grade Dysplasia

Understanding the complexities of gastrointestinal health is crucial for maintaining overall well-being. One of the more serious conditions that can affect the digestive system is High Grade Dysplasia. This condition, often associated with Barrett's esophagus, requires careful monitoring and management to prevent progression to more severe diseases, such as esophageal cancer.

What is High Grade Dysplasia?

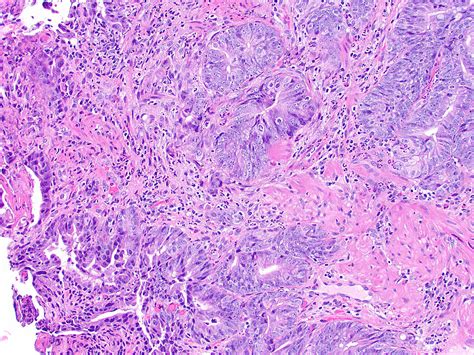
High Grade Dysplasia refers to abnormal changes in the cells lining the esophagus. These changes are more severe than those seen in low-grade dysplasia and indicate a higher risk of developing esophageal cancer. Barrett's esophagus, a condition where the normal cells lining the esophagus are replaced by cells similar to those found in the intestine, is a common precursor to high-grade dysplasia.

Causes and Risk Factors

Several factors contribute to the development of High Grade Dysplasia. Understanding these causes and risk factors can help in early detection and prevention.

  • Gastroesophageal Reflux Disease (GERD): Chronic acid reflux can damage the esophageal lining, leading to Barrett's esophagus and eventually high-grade dysplasia.
  • Smoking: Tobacco use increases the risk of developing esophageal cancer and high-grade dysplasia.
  • Obesity: Excess weight, particularly around the abdomen, can increase pressure on the stomach, leading to acid reflux and subsequent esophageal damage.
  • Diet: A diet low in fruits and vegetables and high in processed foods can contribute to the development of high-grade dysplasia.
  • Alcohol Consumption: Excessive alcohol intake is linked to an increased risk of esophageal cancer and high-grade dysplasia.

Symptoms and Diagnosis

High-grade dysplasia often does not present with noticeable symptoms in its early stages. However, as the condition progresses, individuals may experience:

  • Difficulty swallowing (dysphagia)
  • Chest pain
  • Weight loss
  • Persistent heartburn

Diagnosing High Grade Dysplasia typically involves:

  • Endoscopy: A procedure where a flexible tube with a camera is inserted down the throat to examine the esophagus.
  • Biopsy: During an endoscopy, tissue samples are taken from the esophagus and examined under a microscope to detect abnormal cells.
  • Imaging Tests: CT scans or PET scans may be used to assess the extent of the dysplasia and check for any signs of cancer.

Treatment Options

Treatment for High Grade Dysplasia aims to remove or destroy the abnormal cells to prevent the development of esophageal cancer. The choice of treatment depends on various factors, including the patient's overall health and the extent of the dysplasia.

Endoscopic Mucosal Resection (EMR)

EMR is a procedure where the abnormal tissue is removed using an endoscope. This minimally invasive technique allows for the removal of the dysplastic tissue while preserving the underlying muscle layer of the esophagus.

Radiofrequency Ablation (RFA)

RFA uses heat to destroy the abnormal cells lining the esophagus. This procedure is often performed in conjunction with EMR to ensure that all dysplastic tissue is removed.

Photodynamic Therapy (PDT)

PDT involves the use of a light-sensitive drug and a special light to destroy the abnormal cells. This treatment is less commonly used due to its potential side effects, such as strictures and photosensitivity.

Esophagectomy

In severe cases, surgical removal of the esophagus (esophagectomy) may be necessary. This procedure is typically reserved for patients with extensive dysplasia or those who have developed esophageal cancer.

📝 Note: Treatment decisions should be made in consultation with a healthcare provider who specializes in gastrointestinal disorders.

Lifestyle Changes and Prevention

Making lifestyle changes can significantly reduce the risk of developing High Grade Dysplasia and improve overall gastrointestinal health.

  • Diet: Adopt a balanced diet rich in fruits, vegetables, and whole grains. Avoid processed foods and excessive sugar intake.
  • Weight Management: Maintain a healthy weight to reduce pressure on the stomach and prevent acid reflux.
  • Smoking Cessation: Quitting smoking can lower the risk of esophageal cancer and high-grade dysplasia.
  • Alcohol Moderation: Limit alcohol consumption to reduce the risk of esophageal damage.
  • Medication Management: Use medications as prescribed to manage GERD and other gastrointestinal conditions.

Monitoring and Follow-Up

Regular monitoring is essential for individuals with High Grade Dysplasia to detect any changes in the esophageal lining and prevent the progression to esophageal cancer. Follow-up care typically includes:

  • Regular endoscopies to monitor the esophagus for any signs of dysplasia or cancer.
  • Biopsies to examine tissue samples for abnormal cells.
  • Imaging tests to assess the extent of the dysplasia and check for any signs of cancer.

Patients should work closely with their healthcare providers to develop a personalized monitoring plan that includes regular check-ups and follow-up tests.

📝 Note: Early detection and regular monitoring are crucial for managing high-grade dysplasia and preventing the development of esophageal cancer.

Understanding the Stages of Dysplasia

Dysplasia is classified into different stages based on the severity of the cell changes. Understanding these stages can help in managing the condition effectively.

Stage Description Risk of Cancer
No Dysplasia Normal cells with no abnormal changes. Low
Low-Grade Dysplasia Mild abnormal changes in the cells. Moderate
High-Grade Dysplasia Severe abnormal changes in the cells. High
Esophageal Adenocarcinoma Cancerous cells in the esophagus. Very High

Regular monitoring and early intervention can help prevent the progression from low-grade dysplasia to high-grade dysplasia and eventually to esophageal cancer.

Living with High Grade Dysplasia

Living with High Grade Dysplasia requires a proactive approach to managing the condition and maintaining overall health. Patients should focus on:

  • Adhering to the treatment plan prescribed by their healthcare provider.
  • Making necessary lifestyle changes to reduce the risk of progression.
  • Attending regular follow-up appointments and monitoring tests.
  • Seeking support from healthcare providers, family, and friends.

While living with high-grade dysplasia can be challenging, early detection, effective treatment, and regular monitoring can significantly improve outcomes and quality of life.

In summary, High Grade Dysplasia is a serious condition that requires careful management and monitoring. Understanding the causes, symptoms, and treatment options can help individuals take proactive steps to prevent the progression to esophageal cancer. Regular follow-up care and lifestyle changes are essential for managing the condition effectively and maintaining overall gastrointestinal health.

Related Terms:

  • hyperplastic polyp
  • negative high grade dysplasia
  • high grade dysplasia colon
  • what is low grade dysplasia
  • low grade colon polyps cancer
  • low grade colon polyps
Facebook Twitter WhatsApp
Related Posts
Don't Miss