Learning

High Ankle Sprain

High Ankle Sprain
High Ankle Sprain

A high ankle sprain, also known as a syndesmotic sprain, is a common injury that occurs when the ligaments connecting the tibia and fibula (the two bones in the lower leg) are damaged. This type of injury is particularly prevalent among athletes involved in sports that require sudden changes in direction, such as basketball, soccer, and football. Understanding the causes, symptoms, treatment, and prevention of a high ankle sprain is crucial for anyone involved in these activities.

Understanding High Ankle Sprains

A high ankle sprain involves the syndesmotic ligaments, which stabilize the ankle joint by connecting the tibia and fibula. These ligaments are essential for maintaining the integrity of the ankle and allowing for proper movement. When these ligaments are stretched or torn, it can lead to significant pain and instability in the ankle.

High ankle sprains are often more severe than traditional ankle sprains, which typically involve the ligaments on the outside of the ankle. The recovery time for a high ankle sprain can be longer, and the risk of re-injury is higher if not properly treated.

Causes of High Ankle Sprains

The primary cause of a high ankle sprain is a forceful outward rotation of the foot while the ankle is planted. This can occur during various activities, including:

  • Sudden changes in direction
  • Landing awkwardly from a jump
  • Collisions with other players
  • Twisting the ankle during a fall

These movements can put excessive stress on the syndesmotic ligaments, leading to a sprain. Athletes who participate in high-impact sports are at a higher risk of experiencing this type of injury.

Symptoms of High Ankle Sprains

Recognizing the symptoms of a high ankle sprain is essential for prompt treatment. Common symptoms include:

  • Severe pain, especially when trying to bear weight on the affected foot
  • Swelling and bruising around the ankle
  • Difficulty moving the ankle
  • Instability in the ankle joint
  • Tenderness to the touch, particularly above the ankle

If you experience any of these symptoms after an injury, it is important to seek medical attention for a proper diagnosis and treatment plan.

Diagnosing High Ankle Sprains

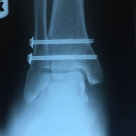
Diagnosing a high ankle sprain typically involves a physical examination and imaging tests. During the physical exam, a healthcare provider will assess the range of motion, stability, and tenderness of the ankle. Imaging tests, such as X-rays or MRI scans, may be ordered to confirm the diagnosis and rule out other potential injuries, such as fractures.

In some cases, a stress test may be performed to evaluate the stability of the syndesmotic ligaments. This test involves applying pressure to the ankle to see if there is any excessive movement or instability.

Treatment Options for High Ankle Sprains

The treatment for a high ankle sprain depends on the severity of the injury. Mild sprains may require only rest and over-the-counter pain relievers, while more severe sprains may necessitate more intensive treatment. Common treatment options include:

  • Rest, Ice, Compression, and Elevation (RICE) method
  • Immobilization with a cast or boot
  • Physical therapy to improve strength and flexibility
  • Surgery in severe cases to repair damaged ligaments

It is important to follow the treatment plan prescribed by your healthcare provider to ensure proper healing and reduce the risk of re-injury.

The RICE Method

The RICE method is a common first-line treatment for high ankle sprains. This approach involves:

  • Rest: Avoiding activities that put stress on the injured ankle
  • Ice: Applying an ice pack to the affected area for 15-20 minutes, several times a day
  • Compression: Wrapping the ankle with an elastic bandage to reduce swelling
  • Elevation: Keeping the ankle elevated above heart level to minimize swelling

Following the RICE method can help reduce pain and swelling in the early stages of recovery.

📝 Note: The RICE method should be used for the first 48-72 hours after the injury. After this period, heat therapy may be more beneficial for promoting healing.

Physical Therapy for High Ankle Sprains

Physical therapy plays a crucial role in the recovery from a high ankle sprain. A physical therapist can design a customized exercise program to help improve strength, flexibility, and range of motion in the affected ankle. Common exercises may include:

  • Ankle pumps to improve circulation
  • Heel raises to strengthen the calf muscles
  • Resistance band exercises to improve ankle stability
  • Balance and proprioception exercises to enhance coordination

Consistent physical therapy can help accelerate the healing process and reduce the risk of future injuries.

Preventing High Ankle Sprains

Preventing high ankle sprains involves taking proactive measures to strengthen the ankle and improve overall stability. Some effective prevention strategies include:

  • Wearing appropriate footwear with good ankle support
  • Performing regular strength and flexibility exercises for the ankles and lower legs
  • Using ankle braces or taping during high-risk activities
  • Warming up before physical activity to prepare the muscles and ligaments
  • Avoiding sudden changes in direction or high-impact movements

Incorporating these prevention strategies into your routine can help reduce the risk of experiencing a high ankle sprain.

Returning to Activity After a High Ankle Sprain

Returning to activity after a high ankle sprain requires a gradual and cautious approach. It is important to follow your healthcare provider's guidelines and avoid rushing back into high-impact activities too soon. A typical return-to-activity plan may include:

  • Gradual increase in weight-bearing activities
  • Progressive strengthening and flexibility exercises
  • Functional training to simulate sport-specific movements
  • Gradual return to full participation in sports or activities

Listening to your body and avoiding activities that cause pain or discomfort is essential for a successful recovery.

📝 Note: It is important to consult with your healthcare provider before returning to full activity to ensure that your ankle has healed properly.

Long-Term Management of High Ankle Sprains

Long-term management of high ankle sprains involves ongoing care and maintenance to prevent re-injury and promote overall ankle health. This may include:

  • Regular physical therapy sessions to maintain strength and flexibility
  • Use of ankle braces or taping during high-risk activities
  • Continuous monitoring for signs of instability or weakness
  • Gradual return to full activity with proper warm-up and cool-down routines

By taking a proactive approach to long-term management, you can reduce the risk of future injuries and maintain optimal ankle function.

Comparing High Ankle Sprains to Other Ankle Injuries

It is important to understand how high ankle sprains differ from other types of ankle injuries. The following table provides a comparison:

Type of Injury Affected Ligaments Common Causes Symptoms Treatment
High Ankle Sprain Syndesmotic ligaments Outward rotation of the foot Severe pain, swelling, instability RICE, immobilization, physical therapy, surgery
Lateral Ankle Sprain Anterior talofibular ligament (ATFL), calcaneofibular ligament (CFL) Inversion of the ankle Pain, swelling, bruising RICE, immobilization, physical therapy
Medial Ankle Sprain Deltoid ligament Eversion of the ankle Pain, swelling, instability RICE, immobilization, physical therapy

Understanding the differences between these injuries can help in diagnosing and treating high ankle sprains more effectively.

High ankle sprains are a significant concern for athletes and individuals involved in high-impact activities. By understanding the causes, symptoms, and treatment options, you can take proactive steps to prevent and manage this injury. Proper diagnosis, treatment, and rehabilitation are essential for a successful recovery and return to full activity.

Incorporating prevention strategies and long-term management techniques can help reduce the risk of future injuries and maintain optimal ankle health. If you suspect you have a high ankle sprain, seek medical attention promptly to ensure proper care and treatment.

Facebook Twitter WhatsApp
Related Posts
Don't Miss