Learning

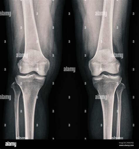
Healthy Knee Xrays

Healthy Knee Xrays
Healthy Knee Xrays

Knee pain is a common issue that affects people of all ages, from athletes to the elderly. Whether it's due to injury, arthritis, or other conditions, understanding the health of your knees is crucial for maintaining mobility and quality of life. One of the most effective ways to assess knee health is through Healthy Knee X-rays. These diagnostic tools provide valuable insights into the structure and condition of the knee joint, helping healthcare professionals make informed decisions about treatment and management.

Understanding Knee X-rays

Knee X-rays are a type of medical imaging that uses low doses of radiation to produce images of the knee joint. These images help doctors identify various conditions, including fractures, dislocations, and degenerative changes. The process is non-invasive and relatively quick, making it a preferred method for initial knee evaluations.

When to Get a Knee X-ray

There are several situations where a knee X-ray might be recommended:

  • Trauma or Injury: If you experience a sudden injury, such as a fall or a sports-related accident, a knee X-ray can help determine if there are any fractures or dislocations.
  • Chronic Pain: Persistent knee pain that does not improve with rest or over-the-counter medications may warrant an X-ray to identify underlying issues like arthritis or bone spurs.
  • Routine Check-ups: For individuals with conditions like osteoarthritis, regular knee X-rays can monitor the progression of the disease and the effectiveness of treatment.
  • Pre-Surgical Evaluation: Before undergoing knee surgery, an X-ray can provide a detailed view of the joint, helping surgeons plan the procedure.

What to Expect During a Knee X-ray

Getting a knee X-ray is a straightforward process. Here’s what you can expect:

  • Preparation: You will be asked to remove any jewelry or metal objects from the area being X-rayed, as these can interfere with the images.
  • Positioning: You will be positioned on an X-ray table, and the technician will adjust the X-ray machine to capture images from different angles.
  • Duration: The actual X-ray procedure takes only a few minutes. You will need to hold still while the images are being taken.
  • Results: The images will be reviewed by a radiologist, who will provide a report to your healthcare provider. The results are typically available within a few hours to a few days, depending on the facility.

📝 Note: It's important to inform the technician if you are pregnant or suspect you might be, as X-rays can potentially harm a developing fetus.

Interpreting Healthy Knee X-rays

Interpreting knee X-rays requires a trained eye. Here are some key features that radiologists look for in Healthy Knee X-rays:

  • Bone Structure: The bones of the knee, including the femur, tibia, and patella, should appear smooth and intact without any fractures or deformities.
  • Joint Space: The space between the bones should be uniform and not narrowed, which can indicate wear and tear or arthritis.
  • Soft Tissue: While X-rays primarily show bone, the soft tissue around the knee should appear normal without any signs of swelling or inflammation.
  • Alignment: The knee joint should be properly aligned, with no signs of dislocation or misalignment.

Common Findings in Knee X-rays

Knee X-rays can reveal a variety of conditions. Some of the most common findings include:

  • Fractures: Breaks in the bone, which can range from small cracks to complete breaks.
  • Arthritis: Degenerative changes in the joint, such as narrowing of the joint space and bone spurs.
  • Dislocations: Misalignment of the knee joint, often due to trauma.
  • Bone Spurs: Extra bone growths that can cause pain and limit mobility.
  • Tumors: Abnormal growths that can be benign or malignant.

Advanced Imaging Techniques

While knee X-rays are a valuable diagnostic tool, there are times when more detailed imaging is necessary. Advanced techniques include:

  • MRI (Magnetic Resonance Imaging): Provides detailed images of soft tissues, including ligaments, tendons, and cartilage.
  • CT (Computed Tomography) Scan: Offers cross-sectional images of the knee, useful for detecting complex fractures and bone abnormalities.
  • Ultrasound: Uses sound waves to visualize soft tissues and can be useful for diagnosing conditions like tendonitis or bursitis.

Preventing Knee Injuries

While knee X-rays are essential for diagnosing issues, prevention is always the best approach. Here are some tips to keep your knees healthy:

  • Exercise Regularly: Strengthening the muscles around the knee can provide better support and reduce the risk of injury.
  • Maintain a Healthy Weight: Excess weight puts additional stress on the knee joints, increasing the risk of wear and tear.
  • Wear Proper Footwear: Shoes with good support and cushioning can help absorb shock and protect the knees.
  • Use Proper Technique: Whether you're exercising or performing daily activities, using the correct technique can prevent unnecessary strain on the knees.

Treatment Options for Knee Issues

If a knee X-ray reveals a problem, there are several treatment options available, depending on the severity and type of condition:

  • Medications: Over-the-counter pain relievers and anti-inflammatory drugs can help manage pain and reduce inflammation.
  • Physical Therapy: Exercises and stretches can improve strength, flexibility, and range of motion.
  • Injections: Corticosteroid injections can provide temporary relief from pain and inflammation.
  • Surgery: In severe cases, surgical procedures like arthroscopy, partial knee replacement, or total knee replacement may be necessary.

📝 Note: Always consult with a healthcare provider to determine the best treatment plan for your specific condition.

The Role of Healthy Knee X-rays in Sports Medicine

In the world of sports, knee injuries are particularly common. Athletes often rely on Healthy Knee X-rays to assess and manage injuries effectively. These X-rays help sports medicine professionals:

  • Diagnose Injuries: Quickly identify fractures, dislocations, and other acute injuries.
  • Monitor Recovery: Track the healing process and ensure that the knee is returning to its normal state.
  • Prevent Future Injuries: Identify underlying issues that could lead to future problems and develop preventive strategies.

Case Studies: Real-Life Examples

To illustrate the importance of knee X-rays, let's look at a few real-life examples:

Case Study 1: Acute Knee Injury

A 25-year-old soccer player twisted his knee during a game and experienced immediate pain and swelling. A knee X-ray revealed a small fracture in the patella. The player underwent conservative treatment, including rest, ice, compression, and elevation (RICE), followed by physical therapy. Regular follow-up X-rays ensured that the fracture was healing properly, and the player was able to return to the field within a few months.

Case Study 2: Chronic Knee Pain

A 60-year-old woman with a history of osteoarthritis reported chronic knee pain that worsened over time. A knee X-ray showed significant joint space narrowing and bone spurs, confirming advanced osteoarthritis. The patient was prescribed pain medication and referred to a physical therapist for exercises to improve mobility and reduce pain. Regular X-rays helped monitor the progression of the disease and adjust the treatment plan as needed.

Case Study 3: Pre-Surgical Evaluation

A 50-year-old man with severe knee pain and limited mobility was scheduled for a total knee replacement. Pre-operative knee X-rays provided detailed images of the joint, helping the surgeon plan the procedure and ensure a successful outcome. Post-operative X-rays confirmed the proper placement of the implant and the patient's recovery progress.

Case Study 4: Sports Injury Prevention

A professional basketball player underwent routine knee X-rays as part of a preventive health program. The X-rays revealed early signs of a stress fracture, which was not causing any symptoms at the time. The player was advised to rest and modify his training regimen to prevent the fracture from worsening. Regular follow-up X-rays ensured that the bone healed properly, allowing the player to continue his career without interruption.

Conclusion

Knee X-rays are an invaluable tool in the diagnosis and management of knee conditions. Whether you’re an athlete, a senior citizen, or someone experiencing chronic knee pain, Healthy Knee X-rays can provide the insights needed to make informed decisions about treatment and prevention. By understanding the importance of knee X-rays and taking proactive steps to maintain knee health, you can enjoy an active and pain-free lifestyle.

Related Terms:

  • arthritis knee x ray images
  • abnormal knee x rays
  • knee xray side view
  • normal healthy knee x rays
  • normal knee xray vs osteoarthritis
  • normal knee x rays female
Facebook Twitter WhatsApp
Related Posts
Don't Miss