Learning

Gum Graft Cost

Gum Graft Cost
Gum Graft Cost

Gum grafts are a common dental procedure aimed at restoring gum tissue that has receded due to various factors such as periodontal disease, aggressive brushing, or genetic predisposition. Understanding the gum graft cost and the factors that influence it is crucial for anyone considering this procedure. This blog post will delve into the details of gum grafts, the factors affecting gum graft cost, and what to expect during and after the procedure.

What is a Gum Graft?

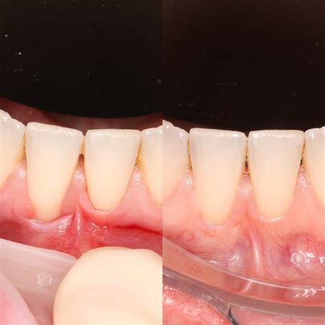
A gum graft, also known as a gingival graft, is a surgical procedure performed to cover exposed tooth roots or to thicken gum tissue. The procedure involves taking tissue from the roof of the mouth or using donor tissue to cover the exposed areas. There are several types of gum grafts, including:

  • Connective-Tissue Grafts: This is the most common type, where tissue is taken from under the skin of the roof of the mouth.
  • Free Gingival Grafts: Tissue is taken directly from the roof of the mouth and attached to the gum area needing repair.
  • Pedicle Grafts: Tissue is taken from the gum tissue near the tooth needing repair and is still attached to a blood supply.

Why is a Gum Graft Necessary?

Gum recession can lead to several dental issues, including:

  • Tooth sensitivity due to exposed roots.
  • Increased risk of tooth decay and root cavities.
  • Aesthetic concerns, such as visible tooth roots.
  • Potential tooth loss if the recession is severe.

A gum graft can address these issues by covering the exposed roots and restoring the gum line, thereby improving both the health and appearance of the teeth.

Factors Affecting Gum Graft Cost

The gum graft cost can vary significantly based on several factors. Understanding these factors can help you better prepare for the financial aspect of the procedure.

Type of Gum Graft

The type of gum graft you need will influence the cost. For example, a connective-tissue graft may cost more than a free gingival graft due to the complexity of the procedure.

Location of the Dental Clinic

The geographical location of the dental clinic can also affect the gum graft cost. Clinics in urban areas or those with a higher cost of living may charge more for the procedure.

Experience of the Dentist

The experience and expertise of the dentist performing the procedure can impact the cost. More experienced dentists or specialists may charge higher fees.

Insurance Coverage

Dental insurance plans vary widely in their coverage of gum grafts. Some plans may cover a portion of the cost, while others may not cover it at all. It's essential to check with your insurance provider to understand your coverage.

Additional Procedures

If additional procedures, such as bone grafts or periodontal treatments, are required, the overall cost will increase.

What to Expect During a Gum Graft Procedure

The gum graft procedure typically involves the following steps:

  1. Consultation: The dentist will examine your teeth and gums, take X-rays, and discuss the procedure in detail.
  2. Anesthesia: Local anesthesia is administered to numb the area.
  3. Tissue Harvesting: Tissue is harvested from the roof of the mouth or a donor site.
  4. Graft Placement: The harvested tissue is placed over the exposed root and secured with sutures.
  5. Recovery: The dentist will provide post-operative instructions for care and recovery.

πŸ“ Note: The procedure usually takes about an hour, but the exact duration can vary depending on the complexity of the case.

Post-Operative Care and Recovery

After the gum graft procedure, it's essential to follow the dentist's instructions for a smooth recovery. Here are some general guidelines:

  • Take prescribed pain medication as needed.
  • Avoid hard or crunchy foods for the first few days.
  • Maintain good oral hygiene, but be gentle around the graft site.
  • Avoid smoking and alcohol, as they can interfere with healing.
  • Attend follow-up appointments as scheduled.

Recovery time can vary, but most patients can resume normal activities within a few days. Full healing may take several weeks.

Potential Risks and Complications

Like any surgical procedure, gum grafts carry some risks and potential complications. These include:

  • Infection at the graft site.
  • Bleeding or swelling.
  • Graft failure, where the tissue does not take.
  • Allergic reactions to anesthesia or medications.

Your dentist will discuss these risks with you and take steps to minimize them.

Alternative Treatments to Gum Grafts

In some cases, alternative treatments may be considered instead of a gum graft. These include:

  • Scaling and Root Planing: A deep cleaning procedure to remove plaque and tartar from below the gum line.
  • Pinhole Surgical Technique (PST): A minimally invasive procedure that involves making a small hole in the gum tissue and gently loosening it to cover the exposed root.
  • Orthodontic Treatment: In some cases, orthodontic treatment can help reposition the teeth and reduce gum recession.

Your dentist will recommend the most appropriate treatment based on your specific needs and the severity of the gum recession.

Financing Options for Gum Grafts

If the gum graft cost is a concern, there are several financing options available:

  • Dental Insurance: Check with your insurance provider to see if gum grafts are covered.
  • Flexible Spending Accounts (FSAs) or Health Savings Accounts (HSAs): These accounts allow you to set aside pre-tax dollars for medical expenses, including dental procedures.
  • Dental Financing Plans: Many dental clinics offer financing plans with low or no interest for a set period.
  • Personal Loans: Some patients opt for personal loans to cover the cost of dental procedures.

It's essential to explore these options and choose the one that best fits your financial situation.

Case Studies and Success Stories

Many patients have benefited from gum graft procedures, experiencing improved oral health and enhanced smiles. Here are a few examples:

Case Study 1: A patient with severe gum recession due to aggressive brushing underwent a connective-tissue graft. The procedure successfully covered the exposed roots, reducing sensitivity and improving the appearance of the teeth.

Case Study 2: A patient with gum recession caused by periodontal disease opted for a free gingival graft. The procedure helped stabilize the gum tissue, preventing further recession and reducing the risk of tooth loss.

Case Study 3: A patient with aesthetic concerns due to visible tooth roots chose a pedicle graft. The procedure not only improved the appearance of the teeth but also enhanced the patient's confidence.

Conclusion

Gum grafts are an effective solution for addressing gum recession and its associated issues. Understanding the gum graft cost and the factors that influence it can help you make an informed decision. Whether you opt for a connective-tissue graft, free gingival graft, or pedicle graft, the procedure can significantly improve your oral health and smile. Always consult with a dental professional to determine the best course of treatment for your specific needs.

Related Terms:

  • gum grafting procedure
  • gum graft cost with insurance
  • gum graft cost canada
  • gum graft cost us
  • gum graft cost without insurance
  • gum graft surgery
Facebook Twitter WhatsApp
Related Posts
Don't Miss