Learning

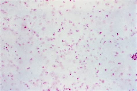
Gram Neg Diplococci

Gram Neg Diplococci
Gram Neg Diplococci

Understanding the intricacies of bacterial infections is crucial for healthcare professionals, especially when dealing with Gram Neg Diplococci. These bacteria are a significant cause of various infections, ranging from mild to severe. This post delves into the characteristics, identification methods, treatment options, and prevention strategies for infections caused by Gram Neg Diplococci.

Characteristics of Gram Neg Diplococci

Gram Neg Diplococci are a group of bacteria that stain negatively in the Gram stain test, indicating that they have a thin peptidoglycan layer. They are typically found in pairs (diplococci) and are known for their ability to cause a variety of infections. The most well-known species in this group is Neisseria gonorrhoeae, which is responsible for gonorrhea, a sexually transmitted infection (STI).

Another notable species is Neisseria meningitidis, which can cause meningitis and septicemia. These bacteria are encapsulated, meaning they have a polysaccharide capsule that helps them evade the host's immune system. This encapsulation is a key factor in their virulence and ability to cause severe infections.

Identification Methods

Identifying Gram Neg Diplococci involves several laboratory techniques. The Gram stain is the initial step, where the bacteria appear as Gram-negative, round, or oval-shaped cells in pairs. Further identification can be done using biochemical tests, serological tests, and molecular methods.

Biochemical tests involve growing the bacteria on specific media and observing their metabolic activities. For example, Neisseria gonorrhoeae can be identified by its ability to ferment glucose but not maltose or sucrose. Serological tests use antibodies to detect specific antigens on the bacterial surface. Molecular methods, such as polymerase chain reaction (PCR), can detect the genetic material of the bacteria, providing a highly specific and sensitive identification.

Common Infections Caused by Gram Neg Diplococci

Gram Neg Diplococci are responsible for several significant infections. Some of the most common include:

  • Gonorrhea: Caused by Neisseria gonorrhoeae, this STI affects the genital, rectal, and pharyngeal areas. It can lead to complications such as pelvic inflammatory disease (PID) in women and epididymitis in men.
  • Meningitis: Caused by Neisseria meningitidis, this infection affects the membranes surrounding the brain and spinal cord. It can be life-threatening if not treated promptly.
  • Septicemia: Also caused by Neisseria meningitidis, this is a severe bloodstream infection that can lead to organ failure and death.
  • Pneumonia: Although less common, some species of Gram Neg Diplococci can cause pneumonia, especially in immunocompromised individuals.

Treatment Options

The treatment of infections caused by Gram Neg Diplococci depends on the specific species and the severity of the infection. Antibiotics are the primary treatment option, but resistance to certain antibiotics is a growing concern.

For Neisseria gonorrhoeae, the Centers for Disease Control and Prevention (CDC) recommends a combination of ceftriaxone and azithromycin. This dual therapy helps to prevent the development of antibiotic resistance. For Neisseria meningitidis, antibiotics such as penicillin, ceftriaxone, or cefotaxime are commonly used. In severe cases, supportive care in a hospital setting may be necessary.

It is essential to complete the full course of antibiotics as prescribed by a healthcare provider to ensure the infection is fully eradicated. Failure to do so can lead to antibiotic resistance and recurrence of the infection.

📌 Note: Always consult a healthcare provider for appropriate treatment and follow their instructions carefully.

Prevention Strategies

Preventing infections caused by Gram Neg Diplococci involves a combination of hygiene practices, vaccination, and safe sexual behaviors. Some key prevention strategies include:

  • Vaccination: Vaccines are available for Neisseria meningitidis and can provide protection against several serogroups of the bacteria. Vaccination is particularly important for individuals at high risk, such as college students living in dormitories and travelers to areas with high rates of meningococcal disease.
  • Safe Sexual Practices: Using condoms consistently and correctly can reduce the risk of contracting gonorrhea and other STIs. Limiting the number of sexual partners and avoiding high-risk behaviors can also help prevent infection.
  • Hygiene: Maintaining good personal hygiene, such as washing hands regularly and avoiding close contact with infected individuals, can help prevent the spread of infections.
  • Education: Educating individuals about the risks and symptoms of infections caused by Gram Neg Diplococci can help promote early detection and treatment.

Diagnostic Challenges and Considerations

Diagnosing infections caused by Gram Neg Diplococci can be challenging due to their ability to mimic other conditions and the limitations of diagnostic tests. For example, the symptoms of meningitis can be similar to those of other infections, such as viral meningitis or encephalitis. Therefore, a thorough clinical evaluation and laboratory testing are essential for accurate diagnosis.

In some cases, the bacteria may be present in the body without causing symptoms, a condition known as asymptomatic carriage. This can make diagnosis and treatment more difficult, as the infection may go undetected until it causes complications.

Additionally, the emergence of antibiotic-resistant strains of Gram Neg Diplococci poses a significant challenge to diagnosis and treatment. Healthcare providers must stay updated on the latest guidelines and recommendations for managing these infections.

📌 Note: Early diagnosis and treatment are crucial for preventing complications and improving outcomes in infections caused by Gram Neg Diplococci.

Research on Gram Neg Diplococci is ongoing, with a focus on developing new diagnostic tools, vaccines, and treatment options. Some emerging trends in this field include:

  • Rapid Diagnostic Tests: New rapid diagnostic tests are being developed to provide faster and more accurate identification of Gram Neg Diplococci. These tests can help healthcare providers initiate appropriate treatment more quickly, improving patient outcomes.
  • Vaccine Development: Efforts are underway to develop vaccines for Neisseria gonorrhoeae, which currently lacks a widely available vaccine. A successful vaccine could significantly reduce the burden of gonorrhea and its complications.
  • Antibiotic Resistance: Research is focused on understanding the mechanisms of antibiotic resistance in Gram Neg Diplococci and developing new antibiotics to combat resistant strains. This includes exploring alternative treatment options, such as bacteriophages and antimicrobial peptides.

These advancements hold promise for improving the prevention, diagnosis, and treatment of infections caused by Gram Neg Diplococci, ultimately leading to better health outcomes for affected individuals.

In conclusion, understanding the characteristics, identification methods, treatment options, and prevention strategies for infections caused by Gram Neg Diplococci is essential for healthcare professionals. These bacteria pose significant health risks, but with appropriate diagnosis, treatment, and prevention measures, the impact of these infections can be minimized. Ongoing research and advancements in diagnostic tools, vaccines, and treatment options offer hope for even better management of these infections in the future.

Related Terms:

  • gram neg diplococci in sputum
  • gram pos diplococci
  • gram neg diplococci std
  • gram neg diplococci examples
  • list of gram negative diplococci
  • gram neg diplococci in blood
Facebook Twitter WhatsApp
Related Posts
Don't Miss