Learning

Glomus Carotid Tumor

Glomus Carotid Tumor
Glomus Carotid Tumor

Glomus carotid tumors, also known as glomus tumors or paragangliomas, are rare, benign neoplasms that arise from the glomus bodies, which are specialized structures involved in temperature regulation and blood pressure control. These tumors typically occur in the head and neck region, with the carotid body being a common site. Understanding the characteristics, symptoms, diagnosis, and treatment options for glomus carotid tumors is crucial for both healthcare professionals and patients.

Understanding Glomus Carotid Tumors

Glomus carotid tumors are slow-growing, highly vascular tumors that originate from the paraganglia, which are clusters of neuroendocrine cells. These tumors are often found in the carotid body, located near the bifurcation of the common carotid artery. The carotid body is responsible for monitoring blood oxygen and carbon dioxide levels and plays a role in regulating breathing and heart rate.

These tumors are typically benign, meaning they do not spread to other parts of the body. However, they can cause significant symptoms due to their location and size. Glomus carotid tumors can compress nearby structures, leading to various neurological and vascular complications.

Symptoms of Glomus Carotid Tumors

The symptoms of glomus carotid tumors can vary depending on the size and location of the tumor. Common symptoms include:

  • Pulsatile tinnitus: A rhythmic, pulsating sound in the ear that corresponds with the heartbeat.
  • Hearing loss: Gradual or sudden hearing loss in the affected ear.
  • Dizziness or vertigo: A sensation of spinning or loss of balance.
  • Facial pain or numbness: Pain or numbness in the face, often on the same side as the tumor.
  • Neck mass: A palpable mass in the neck, which may be pulsatile.
  • Hoarseness or voice changes: Changes in the voice due to compression of the vocal cords.
  • Difficulty swallowing: Problems with swallowing food or liquids.

In some cases, glomus carotid tumors may be asymptomatic and discovered incidentally during imaging studies for other conditions.

Diagnosis of Glomus Carotid Tumors

The diagnosis of glomus carotid tumors involves a combination of clinical evaluation, imaging studies, and laboratory tests. The diagnostic process typically includes the following steps:

  • Medical history and physical examination: A detailed medical history and physical examination to assess symptoms and identify any palpable masses.
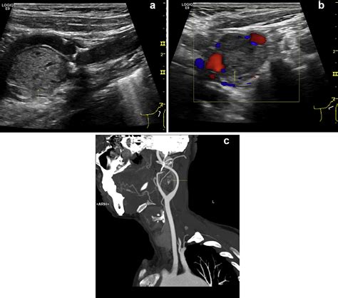
  • Imaging studies: Various imaging techniques are used to visualize the tumor and determine its size, location, and extent. Common imaging studies include:
Imaging Technique Description
Computed Tomography (CT) Scan Provides detailed images of the tumor and surrounding structures. CT angiography can also assess the vascular supply of the tumor.
Magnetic Resonance Imaging (MRI) Offers high-resolution images of soft tissues and can help differentiate the tumor from surrounding structures.
Ultrasound Uses sound waves to create images of the tumor and can assess blood flow within the tumor.
Angiography Involves injecting a contrast dye into the blood vessels to visualize the tumor's vascular supply and plan for surgical intervention.

Laboratory tests: Blood and urine tests may be performed to check for hormones produced by the tumor, although glomus carotid tumors are typically non-functional and do not secrete hormones.

Biopsy: In some cases, a biopsy may be performed to confirm the diagnosis. However, biopsy of glomus carotid tumors is generally avoided due to the risk of bleeding and potential seeding of tumor cells along the biopsy tract.

📌 Note: The diagnostic process for glomus carotid tumors requires a multidisciplinary approach involving otolaryngologists, neurosurgeons, radiologists, and other specialists.

Treatment Options for Glomus Carotid Tumors

The treatment of glomus carotid tumors depends on various factors, including the size and location of the tumor, the patient's symptoms, and overall health. Treatment options may include:

  • Observation: Small, asymptomatic tumors may be monitored with regular imaging studies to assess for growth or changes.
  • Surgical resection: Surgical removal of the tumor is the primary treatment for most glomus carotid tumors. The goal of surgery is to completely remove the tumor while preserving nearby structures and minimizing complications. Surgical approaches may include:
Surgical Approach Description
Transcervical approach Involves accessing the tumor through an incision in the neck. This approach is commonly used for tumors located in the carotid body.
Transmastoid approach Involves accessing the tumor through an incision behind the ear. This approach is used for tumors located in the jugular foramen or middle ear.
Combined approaches May involve a combination of transcervical and transmastoid approaches to access and remove the tumor.

Radiation therapy: Radiation therapy may be used as a primary treatment for patients who are not surgical candidates or as an adjunct to surgery to control tumor growth. Stereotactic radiosurgery, such as Gamma Knife or CyberKnife, delivers high-dose radiation to the tumor while minimizing exposure to surrounding tissues.

Embolization: Preoperative embolization involves injecting particles or coils into the blood vessels supplying the tumor to reduce blood flow and facilitate surgical resection. This procedure can help minimize intraoperative bleeding and improve surgical outcomes.

Medical management: In some cases, medical management may be used to control symptoms and monitor tumor growth. Medications may include analgesics for pain management, antihypertensives for blood pressure control, and other supportive therapies.

📌 Note: The choice of treatment for glomus carotid tumors should be individualized based on the patient's specific needs and preferences, as well as the expertise of the healthcare team.

Complications and Prognosis

Glomus carotid tumors can be associated with various complications, depending on their size, location, and treatment. Potential complications include:

  • Intracranial hemorrhage: Bleeding within the brain, which can be life-threatening.
  • Cranial nerve palsies: Weakness or paralysis of the cranial nerves, leading to symptoms such as facial weakness, hearing loss, or difficulty swallowing.
  • Vascular injury: Injury to nearby blood vessels, which can result in bleeding, stroke, or other vascular complications.
  • Recurrence: Although glomus carotid tumors are typically benign, they can recur after treatment, especially if the tumor is not completely removed.

The prognosis for patients with glomus carotid tumors is generally favorable, with most patients experiencing symptom relief and improved quality of life after treatment. However, the risk of recurrence and potential complications should be considered when planning treatment.

Regular follow-up with a healthcare provider is essential to monitor for tumor recurrence and manage any long-term complications. Follow-up may include clinical examinations, imaging studies, and other diagnostic tests as needed.

📌 Note: Patients with glomus carotid tumors should be followed closely by a multidisciplinary team of specialists to ensure optimal outcomes and manage any potential complications.

Glomus Carotid Tumor

Living with Glomus Carotid Tumors

Living with a glomus carotid tumor can be challenging, both physically and emotionally. Patients may experience a range of symptoms and complications that affect their daily lives. However, with appropriate treatment and support, many patients can manage their symptoms and maintain a good quality of life.

Supportive care is an essential aspect of managing glomus carotid tumors. This may include:

  • Pain management: Medications and other therapies to control pain and discomfort.
  • Physical therapy: Exercises and therapies to improve strength, mobility, and balance.
  • Speech therapy: Therapies to improve speech and swallowing function.
  • Psychological support: Counseling and support groups to help patients cope with the emotional impact of the diagnosis and treatment.

Patients with glomus carotid tumors should work closely with their healthcare team to develop a comprehensive care plan that addresses their unique needs and concerns. Regular communication with healthcare providers can help ensure that patients receive the best possible care and support throughout their journey.

Education and awareness about glomus carotid tumors are also crucial for patients and their families. Understanding the condition, its symptoms, and treatment options can help patients make informed decisions and advocate for their care.

In addition to medical care, patients may benefit from connecting with support groups and online communities dedicated to glomus carotid tumors and other head and neck cancers. These communities can provide valuable information, emotional support, and a sense of belonging for patients and their families.

Glomus carotid tumors are rare, benign neoplasms that can cause significant symptoms and complications due to their location and size. Understanding the characteristics, symptoms, diagnosis, and treatment options for these tumors is essential for both healthcare professionals and patients. With appropriate treatment and supportive care, many patients can manage their symptoms and maintain a good quality of life. Regular follow-up and communication with healthcare providers are crucial for monitoring tumor recurrence and managing long-term complications. By staying informed and connected, patients can navigate the challenges of living with a glomus carotid tumor and achieve the best possible outcomes.

Related Terms:

  • carotid body tumor pathology outlines
  • types of carotid body tumors
  • carotid body paraganglioma pathology outlines
  • symptoms of carotid body tumor
  • tumor pressing on carotid artery
  • carotid body tumor in neck
Facebook Twitter WhatsApp
Related Posts
Don't Miss