Learning

Gerstmann Straussler Scheinker Syndrome

Gerstmann Straussler Scheinker Syndrome
Gerstmann Straussler Scheinker Syndrome

Gerstmann Straussler Scheinker Syndrome (GSS) is a rare, inherited neurodegenerative disorder that affects the brain and nervous system. It is part of a group of conditions known as prion diseases, which are caused by the accumulation of abnormal proteins called prions in the brain. GSS is characterized by progressive neurological deterioration, leading to a range of symptoms that significantly impact an individual's quality of life. Understanding the complexities of GSS is crucial for both medical professionals and caregivers to provide the best possible support and care.

Understanding Gerstmann Straussler Scheinker Syndrome

GSS is named after the three Austrian neurologists who first described the condition in the 1930s: Josef Gerstmann, Ernst Straussler, and Ivan Scheinker. It is an autosomal dominant disorder, meaning that a person needs to inherit only one copy of the mutated gene from either parent to develop the disease. The condition typically manifests in mid-life, with symptoms usually appearing between the ages of 35 and 55.

GSS is caused by mutations in the PRNP gene, which provides instructions for making a protein called prion protein (PrP). In healthy individuals, PrP is found on the surface of cells in the brain and other tissues. However, in people with GSS, the PrP protein misfolds and accumulates in the brain, leading to the formation of amyloid plaques. These plaques disrupt normal brain function and cause the progressive degeneration of nerve cells.

Symptoms of Gerstmann Straussler Scheinker Syndrome

The symptoms of GSS can vary widely among individuals, but they generally fall into several categories:

  • Cognitive Impairment: This includes memory loss, confusion, and difficulty with problem-solving and decision-making.
  • Movement Disorders: Symptoms such as ataxia (loss of coordination), dysarthria (difficulty speaking), and dysphagia (difficulty swallowing) are common.
  • Behavioral Changes: Individuals may experience personality changes, depression, anxiety, and other mood disorders.
  • Sensory Symptoms: Some people with GSS may experience sensory disturbances, such as numbness or tingling in the extremities.

These symptoms typically progress over time, leading to severe disability and, ultimately, death. The rate of progression can vary, but the average lifespan after the onset of symptoms is about 5 to 10 years.

Diagnosis of Gerstmann Straussler Scheinker Syndrome

Diagnosing GSS can be challenging due to its rarity and the overlap of symptoms with other neurodegenerative disorders. A comprehensive diagnostic approach is essential and may include:

  • Clinical Evaluation: A detailed medical history and neurological examination are crucial. The doctor will assess the patient's symptoms, family history, and the progression of the disease.
  • Genetic Testing: Genetic testing can identify mutations in the PRNP gene, confirming the diagnosis of GSS. This is particularly important for individuals with a family history of the disease.
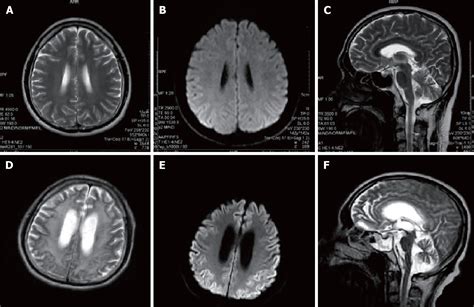
  • Imaging Studies: Magnetic Resonance Imaging (MRI) and other imaging techniques can reveal characteristic changes in the brain, such as atrophy and the presence of amyloid plaques.
  • Biopsy: In some cases, a brain biopsy may be performed to examine the tissue for the presence of abnormal prion proteins.

Early and accurate diagnosis is crucial for managing symptoms and providing appropriate care. However, it is important to note that there is currently no cure for GSS, and treatment focuses on symptom management and supportive care.

Treatment and Management of Gerstmann Straussler Scheinker Syndrome

Currently, there is no effective treatment to halt or reverse the progression of GSS. However, various therapies can help manage symptoms and improve the quality of life for affected individuals. These include:

  • Medications: Medications may be prescribed to manage specific symptoms, such as antidepressants for mood disorders, anticonvulsants for seizures, and muscle relaxants for spasticity.
  • Physical Therapy: Physical therapy can help maintain mobility and coordination, reducing the risk of falls and injuries.
  • Occupational Therapy: Occupational therapy focuses on improving daily living skills and adapting the environment to accommodate the individual's needs.
  • Speech Therapy: Speech therapy can help with communication difficulties and swallowing problems.
  • Supportive Care: Emotional support, counseling, and support groups can provide valuable assistance to both the individual and their caregivers.

It is essential for caregivers to stay informed about the latest research and treatment options, as new therapies are continually being developed.

Genetic Counseling and Family Planning

Given the autosomal dominant inheritance pattern of GSS, genetic counseling is crucial for families affected by the disease. Genetic counselors can provide information about the risks of inheriting the mutated gene, the potential for passing it on to future generations, and the options available for family planning. Some of the key points discussed during genetic counseling include:

  • Risk Assessment: Understanding the likelihood of inheriting the mutated gene based on family history.
  • Prenatal Testing: Options for prenatal testing to determine if a fetus has inherited the mutated gene.
  • Preimplantation Genetic Diagnosis (PGD): A technique used in conjunction with in vitro fertilization (IVF) to select embryos that do not carry the mutated gene.
  • Emotional Support: Providing emotional support and resources for coping with the genetic risk and potential impact on family dynamics.

Genetic counseling can help families make informed decisions about their reproductive choices and provide a support system for navigating the complexities of GSS.

Research and Future Directions

Research into GSS and other prion diseases is ongoing, with scientists and medical professionals working to develop new treatments and potential cures. Some of the areas of focus include:

  • Understanding Prion Biology: Investigating the mechanisms by which prions misfold and accumulate in the brain.
  • Drug Development: Developing new drugs that can inhibit the formation of prion proteins or promote their clearance from the brain.
  • Gene Therapy: Exploring gene therapy approaches to correct the mutated PRNP gene and prevent the production of abnormal prion proteins.
  • Clinical Trials: Conducting clinical trials to test the safety and efficacy of new treatments in humans.

While significant challenges remain, the progress made in understanding the biology of prion diseases offers hope for future advancements in treatment and, ultimately, a cure for GSS.

📚 Note: The information provided in this blog post is for educational purposes only and should not be used as a substitute for professional medical advice. Always consult a healthcare provider for diagnosis and treatment.

Gerstmann Straussler Scheinker Syndrome is a complex and challenging condition that affects individuals and families in profound ways. Understanding the symptoms, diagnosis, treatment, and genetic implications of GSS is essential for providing the best possible care and support. While there is currently no cure, ongoing research offers hope for future advancements in managing and potentially curing this rare neurodegenerative disorder. The journey with GSS is difficult, but with knowledge, support, and continued research, there is a path forward for those affected by this condition.

Related Terms:

  • gerstmann straussler scheinker syndrome pronunciation
  • gerstmann straussler scheinker syndrome symptoms
  • gss disease life expectancy
  • gerstmann straussler scheinker syndrome gss
  • straussler scheinker syndrome
  • gerstmann straussler scheinker gss disease
Facebook Twitter WhatsApp
Related Posts
Don't Miss