Learning

Gbm Icd 10

Gbm Icd 10
Gbm Icd 10

Understanding the intricacies of medical coding is crucial for healthcare professionals, especially when it comes to accurately diagnosing and treating patients. One of the key components in this process is the use of the Gbm Icd 10 code, which stands for Glioblastoma Multiforme in the International Classification of Diseases, 10th Revision. This code is essential for documenting and billing purposes in the medical field. This post will delve into the specifics of Gbm Icd 10, its importance, and how it is used in clinical settings.

What is Glioblastoma Multiforme?

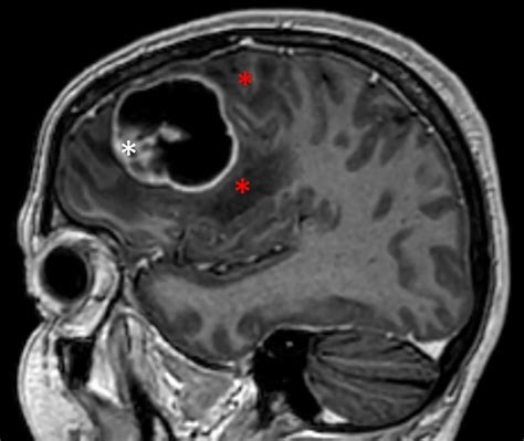
Glioblastoma Multiforme (GBM) is a highly aggressive and malignant brain tumor. It is the most common and deadliest type of primary brain tumor in adults. GBM arises from astrocytes, which are star-shaped cells that make up the supportive tissue of the brain. The tumor is characterized by its rapid growth and invasive nature, making it difficult to treat effectively.

Understanding the ICD-10 Coding System

The International Classification of Diseases, 10th Revision (ICD-10), is a globally used diagnostic tool for epidemiology, health management, and clinical purposes. It provides a standardized way to code and classify diseases, symptoms, and other health problems. The ICD-10 system is essential for accurate medical billing, insurance claims, and statistical analysis.

The Importance of Gbm Icd 10

The Gbm Icd 10 code, specifically C71.9, is used to classify Glioblastoma Multiforme. This code is crucial for several reasons:

  • Accurate Diagnosis: It ensures that the diagnosis is accurately recorded in the patient’s medical records.
  • Billing and Reimbursement: It facilitates the billing process and ensures that healthcare providers are reimbursed correctly by insurance companies.
  • Statistical Analysis: It aids in epidemiological studies and research by providing standardized data on the prevalence and outcomes of GBM.
  • Treatment Planning: It helps in developing treatment plans and monitoring the progress of patients with GBM.

How to Use Gbm Icd 10 in Clinical Settings

Using the Gbm Icd 10 code in clinical settings involves several steps. Here is a detailed guide on how to implement it effectively:

Step 1: Diagnosis

The first step is to diagnose the patient with Glioblastoma Multiforme. This typically involves a combination of imaging studies, such as MRI or CT scans, and a biopsy to confirm the presence of the tumor.

Step 2: Coding

Once the diagnosis is confirmed, the healthcare provider will assign the Gbm Icd 10 code C71.9 to the patient’s record. This code should be documented in the patient’s electronic health record (EHR) and any other relevant medical documentation.

Step 3: Billing

The coded information is then used to generate bills and claims for insurance reimbursement. Accurate coding ensures that the correct procedures and treatments are billed, reducing the risk of claim denials or delays.

Step 4: Treatment and Monitoring

The Gbm Icd 10 code is also used to track the patient’s treatment and monitor their progress. This includes documenting the various treatments received, such as surgery, chemotherapy, and radiation therapy, as well as any follow-up care.

📝 Note: It is essential to ensure that the coding is accurate and up-to-date to avoid any discrepancies in billing and treatment planning.

Common Treatments for Glioblastoma Multiforme

Treatment for Glioblastoma Multiforme typically involves a multidisciplinary approach. The most common treatments include:

Treatment Type Description
Surgery Surgical resection to remove as much of the tumor as possible. This is often the first line of treatment.
Radiation Therapy High-energy beams to kill cancer cells and shrink the tumor. Often used in combination with chemotherapy.
Chemotherapy Drugs to kill cancer cells or stop them from dividing. Temozolomide is commonly used for GBM.
Targeted Therapy Drugs that target specific molecules involved in cancer growth and spread. Examples include bevacizumab and everolimus.
Supportive Care Management of symptoms and side effects, including pain management, seizure control, and nutritional support.

Challenges in Managing Glioblastoma Multiforme

Managing Glioblastoma Multiforme presents several challenges due to its aggressive nature and the complexity of the brain. Some of the key challenges include:

  • Rapid Growth: GBM grows quickly, making it difficult to control with standard treatments.
  • Invasive Nature: The tumor often invades surrounding brain tissue, making complete surgical removal challenging.
  • Resistance to Treatment: GBM cells can develop resistance to chemotherapy and radiation therapy, reducing the effectiveness of these treatments.
  • Symptom Management: Patients often experience severe symptoms, such as seizures, headaches, and cognitive impairment, which require ongoing management.

Future Directions in GBM Research

Research into Glioblastoma Multiforme is ongoing, with a focus on developing more effective treatments and improving patient outcomes. Some of the promising areas of research include:

  • Immunotherapy: Using the body’s immune system to fight cancer cells. This includes therapies like checkpoint inhibitors and CAR-T cell therapy.
  • Gene Therapy: Modifying genes to target cancer cells specifically. This approach aims to make treatments more precise and effective.
  • Personalized Medicine: Tailoring treatments to the individual characteristics of each patient’s tumor. This involves genetic testing and targeted therapies.
  • Combination Therapies: Using multiple treatments simultaneously to enhance their effectiveness. This includes combining chemotherapy, radiation therapy, and targeted therapies.

Researchers are also exploring the use of advanced imaging techniques and biomarkers to improve early detection and monitoring of GBM. These advancements hold promise for better outcomes and quality of life for patients.

In conclusion, the Gbm Icd 10 code C71.9 plays a vital role in the diagnosis, treatment, and management of Glioblastoma Multiforme. Accurate coding ensures that patients receive the appropriate care and that healthcare providers are reimbursed correctly. Understanding the intricacies of GBM and the ICD-10 coding system is essential for healthcare professionals to provide the best possible care for patients with this aggressive brain tumor. Ongoing research and advancements in treatment options offer hope for improved outcomes and a better quality of life for those affected by GBM.

Related Terms:

  • glioblastoma
  • gbm medical abbreviation
  • hx of gbm icd 10
  • glioblastoma icd 10
  • gbm medical abbreviation icd 10
  • history of gbm icd 10
Facebook Twitter WhatsApp
Related Posts
Don't Miss