Learning

Fsgs Kidney Disease

Fsgs Kidney Disease
Fsgs Kidney Disease

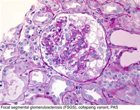
Focal segmental glomerulosclerosis (FSGS) is a serious kidney disease that affects the glomeruli, the tiny filters in the kidneys responsible for removing waste and excess fluids from the blood. FSGS is characterized by scarring in these filters, which can lead to significant kidney damage and, in severe cases, kidney failure. Understanding the causes, symptoms, diagnosis, and treatment options for FSGS kidney disease is crucial for managing this condition effectively.

Understanding FSGS Kidney Disease

FSGS is a type of glomerulonephritis, a group of diseases that damage the glomeruli. The condition is often idiopathic, meaning the cause is unknown. However, it can also be secondary to other conditions such as obesity, HIV infection, or certain medications. FSGS can affect people of all ages but is more commonly diagnosed in adults.

Causes of FSGS Kidney Disease

The exact cause of FSGS is not always clear, but several factors have been identified as potential contributors:

  • Genetic Factors: Some cases of FSGS are inherited and are caused by mutations in specific genes.
  • Viral Infections: Infections such as HIV and parvovirus B19 have been linked to FSGS.
  • Medications: Certain drugs, including some pain relievers and antibiotics, can cause FSGS.
  • Obesity: Being overweight or obese increases the risk of developing FSGS.
  • Other Medical Conditions: Conditions like lupus, sickle cell disease, and Alzheimer's disease can also lead to FSGS.

Symptoms of FSGS Kidney Disease

FSGS often progresses slowly, and symptoms may not appear until the disease is advanced. Common symptoms include:

  • Proteinuria: Excess protein in the urine, which can cause foamy urine.
  • Edema: Swelling in the legs, feet, or around the eyes.
  • Hypertension: High blood pressure.
  • Fatigue: Extreme tiredness and weakness.
  • Foamy Urine: Due to the presence of excess protein.

In more advanced stages, symptoms may include:

  • Shortness of Breath: Due to fluid buildup in the lungs.
  • Nausea and Vomiting: Often accompanied by loss of appetite.
  • Changes in Urination: Frequent urination, especially at night.
  • Anemia: Low red blood cell count, leading to pale skin and fatigue.

Diagnosing FSGS Kidney Disease

Diagnosing FSGS involves a combination of medical history, physical examination, and diagnostic tests. Key diagnostic steps include:

  • Urinalysis: To detect protein in the urine.
  • Blood Tests: To measure kidney function and check for other markers of kidney damage.
  • Kidney Biopsy: A small sample of kidney tissue is examined under a microscope to confirm the diagnosis.
  • Imaging Tests: Such as ultrasound or CT scan to assess the structure of the kidneys.

Once diagnosed, the stage of FSGS is determined based on the extent of kidney damage. The stages range from mild to severe, with stage 5 being the most advanced, indicating kidney failure.

Treatment Options for FSGS Kidney Disease

Treatment for FSGS kidney disease aims to slow the progression of the disease, manage symptoms, and prevent complications. Common treatment options include:

  • Medications: Such as angiotensin-converting enzyme (ACE) inhibitors or angiotensin II receptor blockers (ARBs) to control blood pressure and reduce proteinuria.
  • Immunosuppressive Drugs: To suppress the immune system and reduce inflammation, such as corticosteroids and cyclosporine.
  • Dietary Changes: A low-salt, low-protein diet to reduce the workload on the kidneys.
  • Lifestyle Modifications: Such as maintaining a healthy weight, exercising regularly, and avoiding smoking and alcohol.

In severe cases, where kidney function is significantly impaired, dialysis or a kidney transplant may be necessary. Dialysis involves using a machine to filter waste and excess fluids from the blood, while a kidney transplant replaces the damaged kidney with a healthy one from a donor.

Living with FSGS Kidney Disease

Living with FSGS kidney disease requires ongoing management and regular medical follow-ups. Patients should work closely with their healthcare team to monitor kidney function, manage symptoms, and make necessary lifestyle adjustments. Support groups and counseling can also provide emotional support and practical advice for coping with the challenges of living with FSGS.

Regular exercise, a balanced diet, and stress management techniques can help improve overall health and well-being. It is essential to stay informed about the latest research and treatment options for FSGS and to communicate openly with healthcare providers about any concerns or changes in symptoms.

FSGS kidney disease is a complex condition that requires a multidisciplinary approach to management. By understanding the causes, symptoms, and treatment options, patients can take proactive steps to manage their health and improve their quality of life.

FSGS kidney disease is a complex condition that requires a multidisciplinary approach to management. By understanding the causes, symptoms, and treatment options, patients can take proactive steps to manage their health and improve their quality of life.

FSGS kidney disease is a complex condition that requires a multidisciplinary approach to management. By understanding the causes, symptoms, and treatment options, patients can take proactive steps to manage their health and improve their quality of life.

FSGS kidney disease is a complex condition that requires a multidisciplinary approach to management. By understanding the causes, symptoms, and treatment options, patients can take proactive steps to manage their health and improve their quality of life.

FSGS kidney disease is a complex condition that requires a multidisciplinary approach to management. By understanding the causes, symptoms, and treatment options, patients can take proactive steps to manage their health and improve their quality of life.

FSGS kidney disease is a complex condition that requires a multidisciplinary approach to management. By understanding the causes, symptoms, and treatment options, patients can take proactive steps to manage their health and improve their quality of life.

FSGS kidney disease is a complex condition that requires a multidisciplinary approach to management. By understanding the causes, symptoms, and treatment options, patients can take proactive steps to manage their health and improve their quality of life.

FSGS kidney disease is a complex condition that requires a multidisciplinary approach to management. By understanding the causes, symptoms, and treatment options, patients can take proactive steps to manage their health and improve their quality of life.

FSGS kidney disease is a complex condition that requires a multidisciplinary approach to management. By understanding the causes, symptoms, and treatment options, patients can take proactive steps to manage their health and improve their quality of life.

FSGS kidney disease is a complex condition that requires a multidisciplinary approach to management. By understanding the causes, symptoms, and treatment options, patients can take proactive steps to manage their health and improve their quality of life.

FSGS kidney disease is a complex condition that requires a multidisciplinary approach to management. By understanding the causes, symptoms, and treatment options, patients can take proactive steps to manage their health and improve their quality of life.

FSGS kidney disease is a complex condition that requires a multidisciplinary approach to management. By understanding the causes, symptoms, and treatment options, patients can take proactive steps to manage their health and improve their quality of life.

FSGS kidney disease is a complex condition that requires a multidisciplinary approach to management. By understanding the causes, symptoms, and treatment options, patients can take proactive steps to manage their health and improve their quality of life.

FSGS kidney disease is a complex condition that requires a multidisciplinary approach to management. By understanding the causes, symptoms, and treatment options, patients can take proactive steps to manage their health and improve their quality of life.

FSGS kidney disease is a complex condition that requires a multidisciplinary approach to management. By understanding the causes, symptoms, and treatment options, patients can take proactive steps to manage their health and improve their quality of life.

FSGS kidney disease is a complex condition that requires a multidisciplinary approach to management. By understanding the causes, symptoms, and treatment options, patients can take proactive steps to manage their health and improve their quality of life.

FSGS kidney disease is a complex condition that requires a multidisciplinary approach to management. By understanding the causes, symptoms, and treatment options, patients can take proactive steps to manage their health and improve their quality of life.

FSGS kidney disease is a complex condition that requires a multidisciplinary approach to management. By understanding the causes, symptoms, and treatment options, patients can take proactive steps to manage their health and improve their quality of life.

FSGS kidney disease is a complex condition that requires a multidisciplinary approach to management. By understanding the causes, symptoms, and treatment options, patients can take proactive steps to manage their health and improve their quality of life.

FSGS kidney disease is a complex condition that requires a multidisciplinary approach to management. By understanding the causes, symptoms, and treatment options, patients can take proactive steps to manage their health and improve their quality of life.

FSGS kidney disease is a complex condition that requires a multidisciplinary approach to management. By understanding the causes, symptoms, and treatment options, patients can take proactive steps to manage their health and improve their quality of life.

FSGS kidney disease is a complex condition that requires a multidisciplinary approach to management. By understanding the causes, symptoms, and treatment options, patients can take proactive steps to manage their health and improve their quality of life.

FSGS kidney disease is a complex condition that requires a multidisciplinary approach to management. By understanding the causes, symptoms, and treatment options, patients can take proactive steps to manage their health and improve their quality of life.

FSGS kidney disease is a complex condition that requires a multidisciplinary approach to management. By understanding the causes, symptoms, and treatment options, patients can take proactive steps to manage their health and improve their quality of life.

FSGS kidney disease is a complex condition that requires a multidisciplinary approach to management. By understanding the causes, symptoms, and treatment options, patients can take proactive steps to manage their health and improve their quality of life.

FSGS kidney disease is a complex condition that requires a multidisciplinary approach to management. By understanding the causes, symptoms, and treatment options, patients can take proactive steps to manage their health and improve their quality of life.

FSGS kidney disease is a complex condition that requires a multidisciplinary approach to management. By understanding the causes, symptoms, and treatment options, patients can take proactive steps to manage their health and improve their quality of life.

FSGS kidney disease is a complex condition that requires a multidisciplinary approach to management. By understanding the causes, symptoms, and treatment options, patients can take proactive steps to manage their health and improve their quality of life.

FSGS kidney disease is a complex condition that requires a multidisciplinary approach to management. By understanding the causes, symptoms, and treatment options, patients can take proactive steps to manage their health and improve their quality of life.

FSGS kidney disease is a complex condition that requires a multidisciplinary approach to management. By understanding the causes, symptoms, and treatment options, patients can take proactive steps to manage their health and improve their quality of life.

FSGS kidney disease is a complex condition that requires a multidisciplinary approach to management. By understanding the causes, symptoms, and treatment options, patients can take proactive steps to manage their health and improve their quality of life.

FSGS kidney disease is a complex condition that requires a multidisciplinary approach to management. By understanding the causes, symptoms, and treatment options, patients can take proactive steps to manage their health and improve their quality of life.

FSGS kidney disease is a complex condition that requires a multidisciplinary approach to management. By understanding the causes, symptoms, and treatment options, patients can take proactive steps to manage their health and improve their quality of life.

FSGS kidney disease is a complex condition that requires a multidisciplinary approach to management. By understanding the causes, symptoms, and treatment options, patients can take proactive steps to manage their health and improve their quality of life.

FSGS kidney disease is a complex condition that requires a multidisciplinary approach to management. By understanding the causes, symptoms, and treatment options, patients can take proactive steps to manage their health and improve their quality of life.

FSGS kidney disease is a complex condition that requires a multidisciplinary approach to management. By understanding the causes, symptoms, and treatment options, patients can take proactive steps to manage their health and improve their quality of life.

FSGS kidney disease is a complex condition that requires a multidisciplinary approach to management. By understanding the causes, symptoms, and treatment options, patients can take proactive steps to manage their health and improve their quality of life.

FSGS kidney disease is a complex condition that requires a multidisciplinary approach to management. By understanding the causes, symptoms, and treatment options, patients can take proactive steps to manage their health and improve their quality of life.

FSGS kidney disease is a complex condition that requires a multidisciplinary approach to management. By understanding the causes, symptoms, and treatment options, patients can take proactive steps to manage their health and improve their quality of life.

FSGS kidney disease is a complex condition that requires a multidisciplinary approach to management. By understanding the causes, symptoms, and treatment options, patients can take proactive steps to manage their health and improve their quality of life.

FSGS kidney disease is a complex condition that requires a multidisciplinary approach to management. By understanding the causes, symptoms, and treatment options, patients can take proactive steps to manage their health and improve their quality of life.

FSGS kidney disease is a complex condition that requires a multidisciplinary approach to management. By understanding the causes, symptoms, and treatment options, patients can take proactive steps to manage their health and improve their quality of life.

FSGS kidney disease is a complex condition that requires a multidisciplinary approach to management. By understanding the causes, symptoms, and treatment options, patients can take proactive steps to manage their health and improve their quality of life.

FSGS kidney disease is a complex condition that requires a multidisciplinary approach to management. By understanding the causes, symptoms, and treatment options, patients can take proactive steps to manage their health and improve their quality of life.

FSGS kidney disease is a complex condition that requires a multidisciplinary approach to management. By understanding the causes, symptoms, and treatment options, patients can take proactive steps to manage their health and improve their quality of life.

FSGS kidney disease is a complex condition that requires a multidisciplinary approach to management. By understanding the causes, symptoms, and treatment options, patients can take proactive steps to manage their health and improve their quality of life.

FSGS kidney disease is a complex condition that requires a multidisciplinary approach to management. By understanding the causes, symptoms, and treatment options, patients can take proactive steps to manage their health and improve their quality of life.

FSGS kidney disease is a complex condition that requires a multidisciplinary approach to management. By understanding the causes, symptoms, and treatment options, patients can take proactive steps to manage their health and improve their quality of life.

FSGS kidney disease is a complex condition that requires a multidisciplinary approach to management. By understanding the causes, symptoms, and treatment options, patients can take proactive steps to manage their health and improve their quality of life.

FSGS kidney disease is a complex condition that requires a multidisciplinary approach to management. By understanding the causes, symptoms, and treatment options, patients can take proactive steps to manage their health and improve their quality of life.

FSGS kidney disease is a complex condition that requires a multidisciplinary approach to management. By understanding the causes, symptoms, and treatment options, patients can take proactive steps to manage their health and improve their quality of life.

FSGS kidney disease is a complex condition that requires a multidisciplinary approach to management. By understanding the causes, symptoms, and treatment options, patients can take proactive steps to manage their health and improve their quality of life.

FSGS kidney disease is a complex condition that requires a multidisciplinary approach to management. By understanding the causes, symptoms, and treatment options, patients can take proactive steps to manage their health and improve their quality of life.

FSGS kidney disease is a complex condition that requires a multidisciplinary approach to management. By understanding the causes, symptoms, and treatment options, patients can take proactive steps to manage their health and improve their quality of life.

FSGS kidney disease is a complex condition that requires a multidisciplinary approach to management. By understanding the causes, symptoms, and treatment options, patients can take proactive steps to manage their health and improve their quality of life.

FSGS kidney disease is a complex condition that requires a multidisciplinary approach to management. By understanding the causes, symptoms, and treatment options, patients can take proactive steps to manage their health and improve their quality of life.

FSGS kidney disease is a complex condition that requires a multidisciplinary approach to management. By understanding the causes, symptoms, and treatment options, patients can take proactive steps to manage their health and improve their quality of life.

FSGS kidney disease is a complex condition that requires a multidisciplinary approach to management. By understanding the causes, symptoms, and treatment options, patients can take proactive steps to manage their health and improve their quality of life.

FSGS kidney disease is a complex condition that requires a multidisciplinary approach to management. By understanding the causes, symptoms, and treatment options, patients can take proactive steps to manage their health and improve their quality of life.

FSGS kidney disease is a complex condition that requires a multidisciplinary approach to management. By understanding the causes, symptoms, and treatment options, patients can take proactive steps to manage their health and improve their quality of life.

FSGS kidney disease is a complex condition that requires a multidisciplinary approach to management. By understanding the causes, symptoms, and treatment options, patients can take proactive steps to manage their health and improve their quality of life.

FSGS kidney disease is a complex condition that requires a multidisciplinary approach to management. By understanding the causes, symptoms, and treatment options, patients can take proactive steps to manage their health and improve their quality of life.

FSGS kidney disease is a complex condition that requires a multidisciplinary approach to management. By understanding the causes, symptoms, and treatment options, patients can take proactive steps to manage their health and improve their quality of life.

FSGS kidney disease is a complex condition that requires a multidisciplinary approach to management. By understanding the causes, symptoms, and treatment options, patients can take proactive steps to manage their health and improve their quality of life.

FSGS kidney disease is a complex condition that requires a multidisciplinary approach to management. By understanding the causes, symptoms, and treatment options, patients can take proactive steps to manage their health and improve their quality of life.

FSGS kidney disease is a complex condition that requires a multidisciplinary approach to management. By understanding the causes, symptoms, and treatment options, patients can take proactive steps to manage their health and improve their quality of life.

FSGS kidney disease is a complex condition that requires a multidisciplinary approach to management. By understanding the causes, symptoms, and treatment options, patients can take proactive steps to manage their health and improve their quality of life.

FSGS kidney disease is a complex condition that requires a multidisciplinary approach to management. By understanding the causes, symptoms, and treatment options, patients can take proactive steps to manage their health and improve their quality of life.

FSGS kidney disease is a

Related Terms:

  • fsgs kidney disease icd 10
  • fsgs kidney disease hereditary
  • fsgs kidney disease life expectancy
  • fsgs kidney disease cause
  • fsgs
  • fsgs and nephrotic syndrome
Facebook Twitter WhatsApp
Related Posts
Don't Miss