Learning

Fractures Of Acetabulum

Fractures Of Acetabulum
Fractures Of Acetabulum

Fractures of the acetabulum are complex injuries that involve the socket portion of the hip joint. These fractures can result from high-energy trauma, such as motor vehicle accidents or falls from significant heights. The acetabulum is a critical component of the hip joint, providing stability and support for the femoral head. Understanding the types, causes, diagnosis, and treatment options for fractures of the acetabulum is essential for healthcare professionals and patients alike.

Understanding the Acetabulum

The acetabulum is a cup-shaped socket in the pelvis that articulates with the femoral head to form the hip joint. It is composed of the ilium, ischium, and pubis bones, which fuse together during development. The acetabulum provides a stable and secure environment for the femoral head, allowing for a wide range of motion while maintaining joint integrity.

Causes of Fractures of the Acetabulum

Fractures of the acetabulum typically occur due to high-energy trauma. Common causes include:

  • Motor vehicle accidents
  • Falls from significant heights
  • Pedestrian versus vehicle accidents
  • Sports-related injuries

These injuries often result in significant damage to the acetabulum and surrounding structures, requiring prompt and specialized medical attention.

Classification of Fractures of the Acetabulum

Fractures of the acetabulum are classified based on the pattern and location of the fracture. The most commonly used classification system is the Letournel and Judet classification, which categorizes acetabular fractures into ten distinct types:

Type Description
Posterior Wall Fracture of the posterior wall of the acetabulum
Posterior Column Fracture of the posterior column of the acetabulum
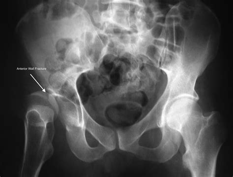
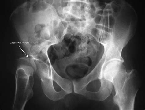
Anterior Wall Fracture of the anterior wall of the acetabulum
Anterior Column Fracture of the anterior column of the acetabulum
Transverse Horizontal fracture line across the acetabulum
T-shaped Transverse fracture with a vertical component
Posterior Column and Posterior Wall Combined fracture of the posterior column and wall
Anterior Column and Posterior Hemi-Transverse Combined fracture of the anterior column and posterior hemi-transverse
Both Columns Fracture involving both the anterior and posterior columns

Diagnosis of Fractures of the Acetabulum

Diagnosing fractures of the acetabulum involves a combination of clinical examination and imaging studies. The diagnostic process typically includes:

  • Clinical Examination: Assessing the patient’s pain, swelling, and range of motion in the hip joint.
  • Imaging Studies:
    • X-rays: Initial imaging to visualize the fracture pattern and assess the extent of the injury.
    • CT Scans: Providing detailed images of the acetabulum and surrounding structures, essential for surgical planning.
    • MRI: Occasionally used to evaluate soft tissue injuries and assess the condition of the femoral head.

Accurate diagnosis is crucial for determining the appropriate treatment plan and ensuring the best possible outcome for the patient.

Treatment Options for Fractures of the Acetabulum

The treatment of fractures of the acetabulum depends on the type and severity of the fracture, as well as the patient’s overall health and functional demands. Treatment options include both non-surgical and surgical approaches.

Non-Surgical Treatment

Non-surgical treatment is typically reserved for patients who are not candidates for surgery due to medical comorbidities or those with minimally displaced fractures. Non-surgical options include:

  • Bed Rest and Immobilization: To allow the fracture to heal without further displacement.
  • Pain Management: Using medications to control pain and inflammation.
  • Physical Therapy: To maintain range of motion and prevent muscle atrophy.

Non-surgical treatment may be appropriate for elderly patients or those with significant medical comorbidities who cannot tolerate surgery.

Surgical Treatment

Surgical treatment is often necessary for fractures of the acetabulum to restore joint stability and alignment. Surgical options include:

  • Open Reduction and Internal Fixation (ORIF): Involves surgically realigning the fracture fragments and securing them with plates, screws, or other fixation devices.
  • Total Hip Arthroplasty (THA): Replacing the damaged acetabulum and femoral head with prosthetic components, often used in elderly patients or those with severe joint damage.
  • Hemi-Arthroplasty: Replacing only the femoral head with a prosthetic component, while preserving the acetabulum.

Surgical treatment aims to restore joint stability, alignment, and function, allowing patients to return to their daily activities.

📝 Note: The choice of surgical treatment depends on various factors, including the patient's age, overall health, and the specific fracture pattern. A multidisciplinary approach involving orthopedic surgeons, radiologists, and physical therapists is essential for optimal outcomes.

Post-Operative Care and Rehabilitation

Post-operative care and rehabilitation are crucial for a successful recovery from fractures of the acetabulum. The rehabilitation process typically includes:

  • Pain Management: Using medications to control post-operative pain and inflammation.
  • Wound Care: Ensuring proper healing of the surgical incision and preventing infection.
  • Physical Therapy: Gradually restoring range of motion, strength, and function in the hip joint. This may include exercises to improve flexibility, strength, and gait.
  • Weight-Bearing Status: Following specific guidelines for weight-bearing to allow the fracture to heal properly.

Patients are often advised to avoid high-impact activities and follow a structured rehabilitation program to ensure a successful recovery.

Complications of Fractures of the Acetabulum

Fractures of the acetabulum can lead to various complications, including:

  • Non-Union or Malunion: Inadequate healing of the fracture, leading to persistent pain and disability.
  • Post-Traumatic Arthritis: Development of arthritis in the hip joint due to damage to the articular cartilage.
  • Infection: Risk of infection at the surgical site or within the joint.
  • Avascular Necrosis: Loss of blood supply to the femoral head, leading to bone death and joint collapse.
  • Heterotopic Ossification: Formation of bone outside the joint, which can limit range of motion.

Prompt diagnosis and appropriate treatment can help minimize the risk of these complications and improve long-term outcomes.

Fractures of the acetabulum are complex injuries that require specialized medical attention. Understanding the causes, classification, diagnosis, and treatment options for these fractures is essential for healthcare professionals and patients alike. By following a structured approach to diagnosis and treatment, healthcare providers can help patients achieve the best possible outcomes and return to their daily activities.

Related Terms:

  • acetabular fracture definition
  • orthobullets acetabulum fracture
  • treatment for acetabular fracture
  • acetabular fractures classification
  • closed left acetabular fracture
  • acetabular fracture location
Facebook Twitter WhatsApp
Related Posts
Don't Miss