Learning

Foot Spurs Pictures

Foot Spurs Pictures
Foot Spurs Pictures

Foot spurs, also known as heel spurs, are bony protrusions that develop on the underside of the heel bone. These spurs can cause significant discomfort and pain, especially when walking or standing for extended periods. Understanding the causes, symptoms, and treatment options for foot spurs is crucial for managing this condition effectively. This post will delve into the details of foot spurs, including what they are, how they are diagnosed, and various treatment methods. Additionally, we will explore foot spurs pictures to provide a visual understanding of this condition.

What Are Foot Spurs?

Foot spurs are calcium deposits that form on the underside of the heel bone. They are often associated with plantar fasciitis, a condition where the plantar fascia, a thick band of tissue that runs along the bottom of the foot, becomes inflamed. The inflammation can lead to the formation of a heel spur as the body attempts to repair the damaged tissue.

Causes of Foot Spurs

The primary cause of foot spurs is the repeated strain and stress on the plantar fascia. Several factors can contribute to this strain, including:

  • Obesity: Excess weight puts additional pressure on the feet, leading to strain on the plantar fascia.
  • Poor Foot Mechanics: Flat feet or high arches can alter the distribution of weight on the feet, causing strain.
  • Age: As people age, the plantar fascia can weaken and become more susceptible to injury.
  • Prolonged Standing or Walking: Activities that involve prolonged standing or walking on hard surfaces can lead to the development of foot spurs.
  • Inadequate Footwear: Wearing shoes that lack proper support or cushioning can exacerbate the condition.

Symptoms of Foot Spurs

Foot spurs do not always cause symptoms, but when they do, the most common symptom is pain in the heel. This pain is often described as a sharp, stabbing sensation that is most noticeable in the morning or after periods of rest. Other symptoms may include:

  • Pain that worsens with activity: The pain may increase with prolonged standing, walking, or running.
  • Swelling and tenderness: The affected area may become swollen and tender to the touch.
  • Difficulty walking: Severe cases may make it difficult to walk or stand comfortably.

Diagnosing Foot Spurs

Diagnosing foot spurs typically involves a combination of a physical examination and imaging tests. During the physical examination, a healthcare provider will assess the affected foot for signs of inflammation, tenderness, and pain. Imaging tests, such as X-rays, can help confirm the presence of a heel spur. However, it is important to note that X-rays may not always show the spur, especially if it is small. In such cases, other imaging tests like MRI or ultrasound may be used to get a more detailed view of the foot.

Treatment Options for Foot Spurs

Treatment for foot spurs aims to relieve pain and reduce inflammation. The choice of treatment depends on the severity of the condition and the individual’s overall health. Common treatment options include:

Non-Surgical Treatments

Non-surgical treatments are often the first line of defense against foot spurs. These treatments may include:

  • Rest and Ice: Resting the affected foot and applying ice packs can help reduce inflammation and pain.
  • Medications: Over-the-counter pain relievers such as ibuprofen or naproxen can help manage pain and inflammation.
  • Orthotics: Custom-made shoe inserts can provide additional support and cushioning, reducing strain on the plantar fascia.
  • Physical Therapy: Exercises and stretches can help strengthen the muscles and improve flexibility in the foot and ankle.
  • Night Splints: Wearing a night splint can help stretch the plantar fascia and Achilles tendon, reducing morning pain.

Surgical Treatments

In severe cases where non-surgical treatments are ineffective, surgery may be recommended. Surgical options include:

  • Endoscopic Plantar Fasciotomy: This minimally invasive procedure involves making small incisions to release the plantar fascia.
  • Open Plantar Fasciotomy: This more invasive procedure involves making a larger incision to release the plantar fascia.
  • Heel Spur Removal: In some cases, the heel spur itself may be removed surgically, although this is less common.

📌 Note: Surgery is typically considered a last resort and is only recommended when other treatments have failed to provide relief.

Preventing Foot Spurs

Preventing foot spurs involves taking steps to reduce strain on the plantar fascia. Some preventive measures include:

  • Maintaining a Healthy Weight: Keeping a healthy weight can reduce the pressure on the feet.
  • Wearing Proper Footwear: Choosing shoes with good arch support and cushioning can help prevent strain.
  • Stretching and Exercises: Regular stretching and exercises can help strengthen the muscles and improve flexibility in the foot and ankle.
  • Avoiding Prolonged Standing: Taking breaks to rest the feet can help reduce the risk of developing foot spurs.

Foot Spurs Pictures

Visual aids can be incredibly helpful in understanding the condition. Below are some foot spurs pictures that illustrate the appearance and location of heel spurs:

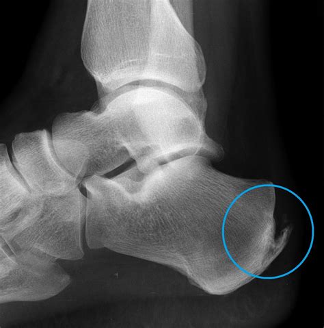
Foot Spurs Pictures

This image shows a typical heel spur, highlighting the bony protrusion on the underside of the heel bone. The spur is often associated with plantar fasciitis, where the plantar fascia becomes inflamed and thickened.

Foot Spurs Pictures

Another example of a heel spur, this image provides a clearer view of the bony growth and its location on the heel. The spur can vary in size and shape, depending on the severity of the condition.

Living with Foot Spurs

Living with foot spurs can be challenging, but with the right management strategies, it is possible to reduce pain and improve quality of life. Some tips for managing foot spurs include:

  • Regular Exercise: Engaging in low-impact exercises like swimming or cycling can help maintain fitness without putting additional strain on the feet.
  • Proper Foot Care: Keeping the feet clean and dry, and trimming toenails regularly, can help prevent infections and other foot problems.
  • Consulting a Podiatrist: Regular check-ups with a podiatrist can help monitor the condition and adjust treatment as needed.

Foot spurs are a common condition that can cause significant discomfort and pain. Understanding the causes, symptoms, and treatment options is essential for managing this condition effectively. By taking preventive measures and seeking appropriate treatment, individuals can reduce the impact of foot spurs on their daily lives. Regular exercise, proper foot care, and consulting a healthcare provider can all contribute to better management of foot spurs.

Related Terms:

  • Celtics
  • Clippers
  • Pistons
  • 76ers
  • image of a bone spur
  • spurs on bottom of foot
Facebook Twitter WhatsApp
Related Posts
Don't Miss