Learning

Foot Growth Plates

Foot Growth Plates
Foot Growth Plates

Understanding the intricacies of foot growth plates is crucial for anyone involved in pediatric healthcare, sports medicine, or orthopedics. Foot growth plates, also known as epiphyseal plates, are areas of growing tissue near the ends of bones in children and adolescents. These plates are responsible for the longitudinal growth of bones and play a pivotal role in the development of the feet. This blog post delves into the anatomy, function, and common issues related to foot growth plates, providing a comprehensive guide for professionals and parents alike.

Anatomy of Foot Growth Plates

The foot is a complex structure composed of 26 bones, 33 joints, and more than 100 muscles, tendons, and ligaments. The growth plates are located at the ends of the long bones in the foot, including the metatarsals and phalanges. These plates are made up of cartilage, which gradually ossifies (turns into bone) as the child grows. The process of ossification is crucial for the proper development of the foot and ensures that the bones grow in a straight and aligned manner.

Function of Foot Growth Plates

The primary function of foot growth plates is to facilitate bone growth. During childhood and adolescence, the growth plates allow the bones to lengthen and widen, ensuring that the feet grow proportionately with the rest of the body. This growth is essential for maintaining proper posture, balance, and mobility. The growth plates also play a role in the overall development of the musculoskeletal system, influencing the alignment and function of the feet and ankles.

While foot growth plates are essential for normal development, they can also be a source of various issues. Some of the most common problems related to foot growth plates include:

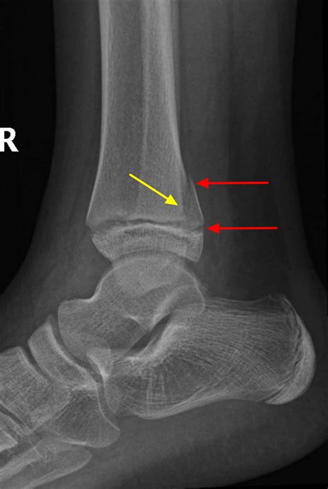
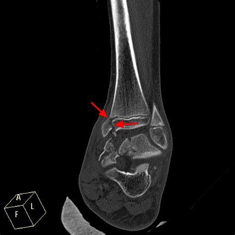
  • Growth Plate Injuries: These injuries can occur due to trauma, overuse, or repetitive stress. Common symptoms include pain, swelling, and limited range of motion. Growth plate injuries can affect the alignment and function of the foot, leading to long-term complications if not properly treated.
  • Growth Plate Fractures: Fractures in the growth plates can occur due to high-impact activities or falls. These fractures can disrupt the normal growth of the bone, leading to deformities or uneven growth. Prompt medical attention is crucial for proper healing and to minimize long-term effects.
  • Growth Plate Overuse Injuries: Repetitive stress on the growth plates, often seen in young athletes, can lead to overuse injuries. These injuries can cause chronic pain and inflammation, affecting the child’s ability to participate in physical activities. Proper rest, rehabilitation, and gradual return to activity are essential for recovery.

Diagnosis and Treatment of Foot Growth Plate Issues

Diagnosing issues related to foot growth plates typically involves a combination of physical examination, imaging studies, and medical history. Common diagnostic tools include X-rays, MRI scans, and CT scans, which can provide detailed images of the growth plates and surrounding tissues. Treatment options vary depending on the severity and type of injury but may include:

  • Rest and Immobilization: For minor injuries, rest and immobilization using a cast or splint may be sufficient to promote healing.
  • Physical Therapy: Physical therapy can help improve range of motion, strength, and flexibility, aiding in the recovery process.
  • Medications: Non-steroidal anti-inflammatory drugs (NSAIDs) may be prescribed to reduce pain and inflammation.
  • Surgery: In severe cases, surgery may be required to realign the growth plates or repair fractures.

Prevention of Foot Growth Plate Injuries

Preventing injuries to the foot growth plates is essential for ensuring proper development and long-term foot health. Some key preventive measures include:

  • Proper Footwear: Wearing well-fitting, supportive shoes can help protect the feet from injuries and provide the necessary support for growing bones.
  • Gradual Increase in Activity: Gradually increasing the intensity and duration of physical activities can help prevent overuse injuries.
  • Warm-Up and Cool-Down: Proper warm-up and cool-down exercises can help prepare the muscles and joints for physical activity and reduce the risk of injuries.
  • Regular Check-Ups: Regular medical check-ups can help detect any issues early and ensure that the feet are developing properly.

📌 Note: It is important to consult with a healthcare professional for personalized advice and treatment options.

Foot Growth Plates in Sports

Young athletes are particularly susceptible to foot growth plate injuries due to the high demands placed on their growing bodies. Sports such as soccer, basketball, and gymnastics can put significant stress on the feet, increasing the risk of injuries. Coaches, parents, and healthcare providers should be aware of the signs of growth plate injuries and take appropriate measures to prevent and treat them. Proper training techniques, adequate rest, and appropriate footwear can help minimize the risk of injuries and ensure that young athletes can continue to participate in their chosen sports safely.

Foot Growth Plates and Orthotics

Orthotics, or custom-made shoe inserts, can play a crucial role in supporting foot growth plates and promoting proper foot development. Orthotics can help correct alignment issues, distribute weight evenly, and reduce stress on the growth plates. They are particularly beneficial for children with flat feet, high arches, or other foot deformities. A podiatrist or orthotist can assess the child’s foot structure and prescribe the appropriate orthotics to support healthy foot growth.

Foot Growth Plates and Nutrition

Proper nutrition is essential for the healthy development of foot growth plates. A balanced diet rich in calcium, vitamin D, and other essential nutrients can support bone growth and strength. Foods such as dairy products, leafy greens, and fortified cereals are excellent sources of calcium and vitamin D. Adequate hydration is also crucial for maintaining the health of the growth plates and promoting overall bone health.

Foot Growth Plates and Genetics

Genetics play a significant role in the development of foot growth plates. Certain genetic conditions, such as achondroplasia and Marfan syndrome, can affect the growth and function of the growth plates, leading to various foot deformities. Early diagnosis and management of these conditions are essential for ensuring proper foot development and minimizing long-term complications. Genetic counseling and regular medical check-ups can help identify and manage genetic conditions that may affect foot growth plates.

Foot growth plates are a critical component of the developing foot, playing a vital role in bone growth and overall foot health. Understanding the anatomy, function, and common issues related to foot growth plates is essential for healthcare providers, parents, and young athletes. By taking preventive measures, seeking prompt medical attention, and providing appropriate support, we can ensure that children’s feet develop properly and function optimally throughout their lives.

Related Terms:

  • where are your growth plates
  • foot growth plates in children
  • how do growth plates work
  • growth plate issues in boys
  • child foot growth plates
  • growth plates in teenage boys
Facebook Twitter WhatsApp
Related Posts
Don't Miss