Learning

Fleischner Society Criteria

Fleischner Society Criteria
Fleischner Society Criteria

In the realm of medical imaging, the accurate interpretation of lung nodules is crucial for early detection and management of lung cancer. The Fleischner Society Criteria serve as a widely accepted guideline for the management of incidental pulmonary nodules detected on CT scans. These criteria provide a standardized approach to determining the appropriate follow-up and management strategies based on the size, characteristics, and risk factors associated with the nodules.

Understanding Lung Nodules

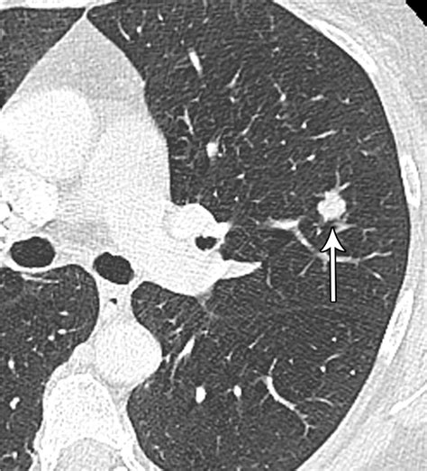
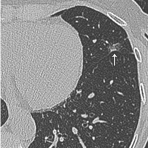
Lung nodules are small, round or oval-shaped growths that appear in the lung tissue. They can be benign or malignant, and their detection often occurs incidentally during imaging studies performed for other reasons. The size and characteristics of these nodules play a significant role in determining the likelihood of malignancy and the need for further evaluation.

The Fleischner Society Criteria

The Fleischner Society Criteria were developed by a multidisciplinary panel of experts to provide evidence-based recommendations for the management of incidental pulmonary nodules. The criteria are designed to balance the risks of overdiagnosis and overtreatment with the benefits of early detection and intervention. The guidelines are categorized based on the size of the nodules and the presence of risk factors for lung cancer.

Classification of Nodules

The Fleischner Society Criteria classify lung nodules into three main categories based on their size:

  • Solid Nodules: These are completely opaque and have a well-defined border.
  • Part-Solid Nodules: These have both solid and ground-glass components.
  • Ground-Glass Nodules: These are hazy areas of increased lung attenuation without obscuration of the underlying bronchial structures or vessels.

Management Recommendations

The management recommendations vary depending on the size of the nodules and the presence of risk factors. The following table summarizes the Fleischner Society Criteria for the management of incidental pulmonary nodules:

Nodule Size Low-Risk Patients High-Risk Patients
<6 mm No follow-up No follow-up
6-8 mm Follow-up CT at 12 months, then 18-24 months if stable Follow-up CT at 6-12 months, then 18-24 months if stable
>8 mm Follow-up CT at 3, 9, and 24 months Follow-up CT at 3, 9, and 24 months

For part-solid and ground-glass nodules, the management recommendations are more stringent due to the higher likelihood of malignancy. These nodules often require more frequent and longer follow-up periods.

Risk Factors for Lung Cancer

The presence of risk factors significantly influences the management of lung nodules. High-risk patients are those with a history of smoking, occupational exposure to carcinogens, or a family history of lung cancer. The Fleischner Society Criteria recommend more aggressive follow-up for high-risk patients to ensure early detection of potential malignancies.

Implications for Clinical Practice

The Fleischner Society Criteria have significant implications for clinical practice. By providing a standardized approach to the management of incidental pulmonary nodules, these guidelines help reduce variability in care and improve patient outcomes. Radiologists and clinicians can use these criteria to make informed decisions about the need for further imaging, biopsy, or other interventions.

Implementing the Fleischner Society Criteria in clinical practice involves several key steps:

  • Accurate measurement of nodule size and characterization of nodule type.
  • Assessment of patient risk factors for lung cancer.
  • Adherence to the recommended follow-up intervals based on nodule size and risk factors.
  • Communication of findings and recommendations to patients and referring physicians.

📝 Note: It is essential to document the size, characteristics, and follow-up recommendations for each nodule in the patient's medical record to ensure continuity of care.

Challenges and Limitations

While the Fleischner Society Criteria provide valuable guidance, there are several challenges and limitations to consider. One of the primary challenges is the variability in the interpretation of nodule characteristics, which can lead to differences in management recommendations. Additionally, the criteria do not account for all potential risk factors or patient-specific considerations, which may require individualized approaches.

Another limitation is the potential for overdiagnosis and overtreatment, particularly in low-risk patients. The criteria aim to balance these risks, but there is always a possibility of unnecessary follow-up or interventions. Clinicians must use their judgment to tailor the management plan to each patient's unique circumstances.

Finally, the criteria are based on evidence from clinical studies and expert consensus, but ongoing research may lead to updates and refinements. It is essential for clinicians to stay informed about the latest developments in the field and adapt their practice accordingly.

In summary, the Fleischner Society Criteria offer a comprehensive and evidence-based approach to the management of incidental pulmonary nodules. By following these guidelines, clinicians can improve the detection and management of lung cancer, ultimately leading to better patient outcomes. The criteria provide a framework for decision-making that considers nodule size, characteristics, and patient risk factors, ensuring a balanced approach to care.

In conclusion, the Fleischner Society Criteria are an invaluable tool for radiologists and clinicians in the management of incidental pulmonary nodules. By adhering to these guidelines, healthcare providers can enhance the accuracy of diagnosis, reduce variability in care, and improve patient outcomes. The criteria emphasize the importance of individualized care and continuous monitoring, ensuring that each patient receives the appropriate level of attention and intervention based on their unique circumstances. As research continues to advance, the Fleischner Society Criteria will likely evolve, providing even more refined and effective strategies for the management of lung nodules.

Related Terms:

  • flesher criteria for lung nodules
  • fleischner criteria pdf
  • fleischner criteria for lung nodules
  • fleischner society guidelines lung nodules
  • fleischner society criteria guidelines 2017
  • fleischner society criteria recommendations
Facebook Twitter WhatsApp
Related Posts
Don't Miss