Learning

Fixed Pigmented Erythema

Fixed Pigmented Erythema
Fixed Pigmented Erythema

Fixed Pigmented Erythema, also known as Fixed Drug Eruption (FDE), is a distinctive skin condition characterized by recurrent, round or oval-shaped lesions that appear in the same location each time the triggering substance is ingested or applied. This condition is often triggered by medications, but it can also be caused by certain foods or other substances. Understanding the causes, symptoms, diagnosis, and treatment options for Fixed Pigmented Erythema is crucial for effective management and prevention.

Understanding Fixed Pigmented Erythema

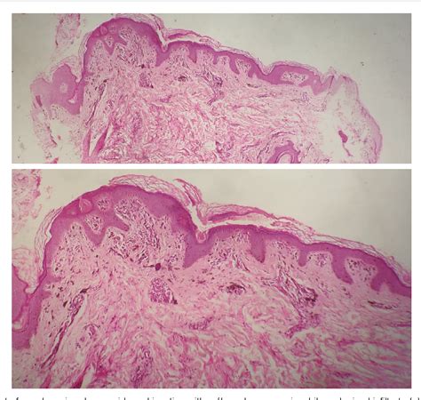
Fixed Pigmented Erythema is a type of skin reaction that occurs in response to a specific trigger, most commonly medications. The condition is characterized by the appearance of well-defined, round or oval lesions that can be red, purple, or brown in color. These lesions typically develop within 30 minutes to 8 hours after exposure to the triggering substance and can persist for several days to weeks. The lesions often leave behind a hyperpigmented or hypopigmented mark, which can be a lasting reminder of the eruption.

Causes of Fixed Pigmented Erythema

Fixed Pigmented Erythema is primarily caused by medications, but it can also be triggered by other substances. Some of the most common triggers include:

  • Antibiotics (such as sulfonamides, tetracyclines, and penicillin)
  • Nonsteroidal anti-inflammatory drugs (NSAIDs)
  • Anticonvulsants
  • Certain foods (such as nuts, shellfish, and citrus fruits)
  • Topical medications and cosmetics

In some cases, the exact trigger may be unknown, making diagnosis and management more challenging.

Symptoms of Fixed Pigmented Erythema

The symptoms of Fixed Pigmented Erythema can vary, but they typically include:

  • Well-defined, round or oval lesions that are red, purple, or brown in color
  • Lesions that appear in the same location each time the triggering substance is ingested or applied
  • Lesions that can be itchy, painful, or tender
  • Lesions that can blister or erode
  • Hyperpigmentation or hypopigmentation that persists after the lesion resolves

These symptoms can be distressing and may significantly impact a person's quality of life.

Diagnosis of Fixed Pigmented Erythema

Diagnosing Fixed Pigmented Erythema involves a thorough medical history and physical examination. The healthcare provider will ask about any recent medications, foods, or other substances that may have triggered the eruption. A skin biopsy may be performed to confirm the diagnosis and rule out other conditions. In some cases, patch testing or oral provocation tests may be used to identify the specific trigger.

📝 Note: It is important to inform your healthcare provider about all medications, supplements, and other substances you are using to ensure an accurate diagnosis.

Treatment Options for Fixed Pigmented Erythema

The primary goal of treatment for Fixed Pigmented Erythema is to identify and avoid the triggering substance. Once the trigger is identified, it should be avoided to prevent future eruptions. In addition to avoidance, several treatment options are available to manage the symptoms and promote healing:

  • Topical corticosteroids to reduce inflammation and itching
  • Oral corticosteroids for severe cases
  • Antihistamines to relieve itching
  • Pain relievers to manage discomfort
  • Photoprotection to prevent hyperpigmentation

In some cases, additional treatments may be recommended to address persistent hyperpigmentation or hypopigmentation.

Prevention of Fixed Pigmented Erythema

Preventing Fixed Pigmented Erythema involves identifying and avoiding the triggering substance. If a specific medication is identified as the trigger, alternative medications should be considered. It is also important to be cautious with new medications and to inform your healthcare provider about any history of Fixed Pigmented Erythema. In addition to avoiding triggers, the following measures can help prevent future eruptions:

  • Wear protective clothing and use sunscreen to minimize sun exposure
  • Avoid known allergens and irritants
  • Maintain a healthy lifestyle to support overall skin health

By taking these precautions, individuals can reduce the risk of developing Fixed Pigmented Erythema and manage the condition effectively.

Living with Fixed Pigmented Erythema

Living with Fixed Pigmented Erythema can be challenging, but with proper management and support, individuals can lead fulfilling lives. It is important to work closely with a healthcare provider to develop a personalized treatment plan and to stay informed about the latest research and treatment options. Support groups and online communities can also provide valuable resources and emotional support for individuals living with this condition.

In addition to medical management, lifestyle modifications can help improve overall skin health and reduce the risk of future eruptions. Maintaining a balanced diet, staying hydrated, and avoiding known triggers are essential for managing Fixed Pigmented Erythema. Regular exercise and stress management techniques can also support overall well-being and skin health.

Research and Future Directions

Research on Fixed Pigmented Erythema is ongoing, with a focus on understanding the underlying mechanisms and developing more effective treatment options. Recent studies have explored the role of immune cells and inflammatory mediators in the pathogenesis of Fixed Pigmented Erythema, providing insights into potential therapeutic targets. Future research may lead to the development of new medications and therapies that can improve outcomes for individuals with this condition.

In addition to medical research, advancements in technology and diagnostics are enhancing our ability to identify and manage Fixed Pigmented Erythema. New imaging techniques and biomarkers may improve diagnostic accuracy and enable earlier intervention. Collaborative efforts between researchers, healthcare providers, and patients are essential for advancing our understanding of this condition and developing innovative treatment strategies.

As our knowledge of Fixed Pigmented Erythema continues to grow, so too does our ability to provide effective care and support for individuals affected by this condition. By staying informed about the latest research and treatment options, individuals can take an active role in managing their health and improving their quality of life.

Fixed Pigmented Erythema is a complex and challenging condition, but with proper management and support, individuals can lead fulfilling lives. By understanding the causes, symptoms, diagnosis, and treatment options for this condition, individuals can take proactive steps to manage their health and reduce the risk of future eruptions. Ongoing research and advancements in technology are paving the way for improved outcomes and a brighter future for those living with Fixed Pigmented Erythema.

Related Terms:

  • causes of fixed drug eruption
  • fixed drug eruption dark skin
  • fixed drug eruption management
  • fixed drug eruption black skin
  • permanent pigmented erythema
  • fixed drug eruption pathology outlines
Facebook Twitter WhatsApp
Related Posts
Don't Miss