Learning

Fitz Hugh Curtis Syndrome

Fitz Hugh Curtis Syndrome
Fitz Hugh Curtis Syndrome

Fitz Hugh Curtis Syndrome (FHCS) is a rare but significant medical condition that primarily affects women. It is characterized by right upper quadrant abdominal pain, often accompanied by fever, nausea, and vomiting. This syndrome is typically associated with pelvic inflammatory disease (PID), which is an infection of the female reproductive organs. Understanding FHCS is crucial for early diagnosis and effective treatment, as it can lead to serious complications if left untreated.

Understanding Fitz Hugh Curtis Syndrome

Fitz Hugh Curtis Syndrome is named after the physicians who first described the condition in the early 20th century. It is a form of perihepatitis, which means inflammation around the liver. The syndrome is often a complication of PID, caused by the spread of infection from the pelvic area to the liver capsule via the bloodstream or lymphatic system.

The exact prevalence of FHCS is not well-documented due to its rarity, but it is estimated to occur in a small percentage of women with PID. The condition is more commonly seen in young, sexually active women, particularly those with a history of sexually transmitted infections (STIs).

Symptoms of Fitz Hugh Curtis Syndrome

The symptoms of FHCS can vary, but they typically include:

  • Right upper quadrant abdominal pain
  • Fever
  • Nausea and vomiting
  • Malaise (general feeling of discomfort)
  • Chills
  • Diarrhea

These symptoms can be similar to those of other conditions, such as appendicitis or cholecystitis, making diagnosis challenging. However, the presence of right upper quadrant pain in a woman with a history of PID should raise suspicion for FHCS.

Diagnosis of Fitz Hugh Curtis Syndrome

Diagnosing FHCS involves a combination of clinical evaluation, laboratory tests, and imaging studies. The diagnostic process typically includes the following steps:

  • Medical History and Physical Examination: The healthcare provider will take a detailed medical history and perform a physical examination, focusing on the abdomen and pelvic area.
  • Laboratory Tests: Blood tests may be ordered to check for signs of infection, such as elevated white blood cell count and C-reactive protein levels. Additionally, tests for STIs may be performed.
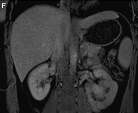
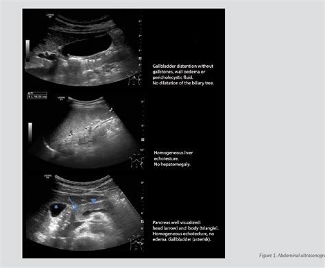
  • Imaging Studies: Ultrasound, computed tomography (CT) scan, or magnetic resonance imaging (MRI) may be used to visualize the liver and surrounding structures. These imaging studies can help identify inflammation or other abnormalities.
  • Laparoscopy: In some cases, a laparoscopy may be performed to directly visualize the liver and other abdominal organs. This procedure involves inserting a thin, lighted tube with a camera through a small incision in the abdomen.

It is important to note that the diagnosis of FHCS can be challenging due to its rarity and the similarity of its symptoms to other conditions. A high index of suspicion and a thorough evaluation are essential for accurate diagnosis.

📝 Note: Early diagnosis and treatment of FHCS are crucial to prevent complications such as liver abscesses, adhesions, and infertility.

Treatment of Fitz Hugh Curtis Syndrome

The primary goal of treating FHCS is to eradicate the underlying infection and manage symptoms. Treatment typically involves a combination of antibiotics and supportive care. The specific treatment plan may vary depending on the severity of the condition and the patient's overall health.

Antibiotics: Broad-spectrum antibiotics are usually prescribed to treat the infection. The choice of antibiotics may be guided by the results of cultures and sensitivity tests. Commonly used antibiotics include:

  • Cephalosporins (e.g., cefoxitin, cefotetan)
  • Doxycycline
  • Metronidazole
  • Clindamycin

Supportive Care: In addition to antibiotics, supportive care measures may be necessary to manage symptoms and prevent complications. These may include:

  • Pain management with analgesics
  • Hydration and electrolyte replacement
  • Rest and monitoring for complications

In severe cases, hospitalization may be required for intravenous antibiotics and close monitoring. Surgical intervention is rarely needed but may be considered if complications such as liver abscesses or adhesions develop.

Complications of Fitz Hugh Curtis Syndrome

If left untreated, FHCS can lead to several serious complications, including:

  • Liver Abscesses: Infections can spread to the liver, forming abscesses that require drainage and prolonged antibiotic treatment.
  • Adhesions: Inflammation and infection can cause scar tissue to form, leading to adhesions that may affect organ function and cause chronic pain.
  • Infertility: Untreated PID, which is often the underlying cause of FHCS, can lead to scarring and damage to the fallopian tubes, resulting in infertility.
  • Sepsis: In severe cases, the infection can spread to the bloodstream, leading to sepsis, a life-threatening condition.

Early diagnosis and prompt treatment are essential to prevent these complications and improve outcomes.

Prevention of Fitz Hugh Curtis Syndrome

Preventing FHCS involves strategies to reduce the risk of PID and other STIs. Key preventive measures include:

  • Safe Sex Practices: Using condoms and practicing safe sex can reduce the risk of STIs, which are a common cause of PID.
  • Regular Screening: Regular screening for STIs, especially in sexually active individuals, can help detect and treat infections early.
  • Prompt Treatment of Infections: Early and appropriate treatment of STIs and other infections can prevent the spread of infection to the liver and other organs.
  • Education and Awareness: Increasing awareness about the risks and symptoms of PID and FHCS can encourage early seeking of medical care.

By taking these preventive measures, individuals can reduce their risk of developing FHCS and its associated complications.

Living with Fitz Hugh Curtis Syndrome

Living with FHCS can be challenging, but with proper management and support, individuals can lead healthy and fulfilling lives. Key aspects of managing FHCS include:

  • Adherence to Treatment: Following the prescribed antibiotic regimen and attending all follow-up appointments is crucial for successful treatment.
  • Symptom Management: Managing symptoms such as pain and discomfort with appropriate medications and lifestyle modifications.
  • Support System: Having a strong support system, including family, friends, and healthcare providers, can provide emotional and practical support during recovery.
  • Follow-Up Care: Regular follow-up with healthcare providers to monitor for complications and ensure complete resolution of the infection.

It is important for individuals with FHCS to stay informed about their condition and work closely with their healthcare providers to manage symptoms and prevent complications.

Fitz Hugh Curtis Syndrome is a rare but significant condition that requires prompt diagnosis and treatment. By understanding the symptoms, diagnostic process, treatment options, and preventive measures, individuals can take proactive steps to manage FHCS and improve their overall health. Early intervention and adherence to treatment are key to preventing complications and ensuring a positive outcome.

Related Terms:

  • fitz hugh curtis syndrome males
  • fitz hugh curtis syndrome rad
  • fitz hugh curtis syndrome radiology
  • fitz hugh curtis syndrome chlamydia
  • fitz hugh curtis syndrome radiopedia
  • fitz hugh curtis syndrome diagnosis
Facebook Twitter WhatsApp
Related Posts
Don't Miss