Learning

Fat Stranding On Ct

Fat Stranding On Ct
Fat Stranding On Ct

Understanding the intricacies of fat stranding on CT is crucial for radiologists and healthcare professionals who interpret computed tomography (CT) scans. Fat stranding refers to the presence of increased fat density in the soft tissues, often indicative of inflammation or injury. This phenomenon is particularly important in abdominal and pelvic imaging, where it can provide valuable insights into various pathological conditions.

What is Fat Stranding on CT?

Fat stranding on CT scans appears as areas of increased attenuation within the fatty tissue, typically seen as streaky or hazy densities. This finding is often associated with inflammation, infection, or trauma. The increased density is due to the infiltration of inflammatory cells and edema into the fatty tissue, altering its normal radiolucent appearance.

Clinical Significance of Fat Stranding

Recognizing fat stranding on CT scans is essential for diagnosing and managing various clinical conditions. Some of the key clinical implications include:

  • Infection: Fat stranding can indicate the presence of an infectious process, such as appendicitis, diverticulitis, or pancreatitis.
  • Inflammation: Conditions like Crohn's disease, ulcerative colitis, and inflammatory bowel disease can cause fat stranding due to chronic inflammation.
  • Trauma: Injuries to the abdomen or pelvis, such as those resulting from blunt force trauma, can lead to fat stranding.
  • Neoplasms: Certain tumors, especially those that are aggressive or invasive, can cause fat stranding due to their infiltrative nature.

Common Locations for Fat Stranding

Fat stranding can occur in various anatomical locations, but it is most commonly observed in the following areas:

  • Mesentery: Fat stranding in the mesentery is often associated with conditions like mesenteric ischemia, pancreatitis, or inflammatory bowel disease.
  • Omentum: Omental fat stranding can be seen in conditions such as appendicitis, diverticulitis, or ovarian torsion.
  • Perinephric Space: Fat stranding in the perinephric space is often indicative of renal infections, trauma, or tumors.
  • Retroperitoneum: Retroperitoneal fat stranding can be seen in conditions like pancreatitis, retroperitoneal hemorrhage, or lymph node enlargement.

Interpreting Fat Stranding on CT Scans

Interpreting fat stranding on CT scans requires a systematic approach. Radiologists should consider the following factors:

  • Location: The anatomical location of the fat stranding can provide clues about the underlying condition.
  • Extent: The extent of the fat stranding can indicate the severity of the underlying process.
  • Associated Findings: Other CT findings, such as fluid collections, masses, or organ enlargement, can help in the differential diagnosis.
  • Clinical Context: The patient's clinical history and symptoms are crucial for interpreting the significance of fat stranding.

Differential Diagnosis of Fat Stranding

Fat stranding on CT scans can be associated with a wide range of conditions. Some of the common differential diagnoses include:

Condition Common Locations Associated Findings
Appendicitis Right lower quadrant, mesentery Appendiceal thickening, periappendiceal fluid
Diverticulitis Left lower quadrant, mesentery Diverticular thickening, abscess formation
Pancreatitis Peripancreatic, retroperitoneum Pancreatic enlargement, fluid collections
Inflammatory Bowel Disease Mesentery, omentum Bowel wall thickening, ulcerations
Trauma Variable, depending on the site of injury Hematoma, organ injury

🔍 Note: The differential diagnosis of fat stranding should always be considered in the context of the patient's clinical presentation and other imaging findings.

Imaging Techniques for Detecting Fat Stranding

Several imaging techniques can be used to detect and characterize fat stranding. The most commonly used methods include:

  • Computed Tomography (CT): CT scans are the gold standard for detecting fat stranding due to their high spatial resolution and ability to differentiate between different tissue densities.
  • Magnetic Resonance Imaging (MRI): MRI can provide additional information about the soft tissues and is particularly useful in cases where CT findings are equivocal.
  • Ultrasound: Ultrasound can be used as an initial screening tool, but it is less sensitive than CT or MRI for detecting fat stranding.

Case Studies: Examples of Fat Stranding on CT

To illustrate the clinical significance of fat stranding on CT scans, let's consider a few case studies:

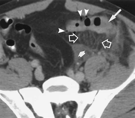
Case Study 1: Appendicitis

A 25-year-old patient presents with right lower quadrant pain, nausea, and fever. A CT scan reveals fat stranding in the right lower quadrant, appendiceal thickening, and periappendiceal fluid. These findings are consistent with appendicitis, and the patient undergoes an appendectomy.

Appendicitis CT Scan

Case Study 2: Pancreatitis

A 45-year-old patient with a history of alcohol abuse presents with severe abdominal pain and vomiting. A CT scan shows peripancreatic fat stranding, pancreatic enlargement, and fluid collections. These findings are indicative of acute pancreatitis, and the patient is managed conservatively with fluid resuscitation and pain management.

Pancreatitis CT Scan

Case Study 3: Trauma

A 30-year-old patient involved in a motor vehicle accident presents with abdominal pain and tenderness. A CT scan reveals retroperitoneal fat stranding, a hepatic laceration, and a splenic hematoma. These findings are consistent with blunt abdominal trauma, and the patient is managed surgically.

Trauma CT Scan

These case studies highlight the importance of recognizing fat stranding on CT scans and its role in diagnosing various clinical conditions.

Understanding the significance of fat stranding on CT is essential for accurate diagnosis and management of various clinical conditions. By recognizing the patterns and locations of fat stranding, radiologists can provide valuable insights into the underlying pathology. This knowledge, combined with a systematic approach to interpretation and consideration of the clinical context, enables healthcare professionals to deliver timely and effective patient care.

Related Terms:

  • fat stranding on ct bowel
  • fat stranding on ct meaning
  • fat stranding appendicitis
  • fat stranding on ct kidney
  • fat stranding on ct abdomen
  • fat stranding on ct pancreas
Facebook Twitter WhatsApp
Related Posts
Don't Miss