Learning

Essure Birth Control

Essure Birth Control
Essure Birth Control

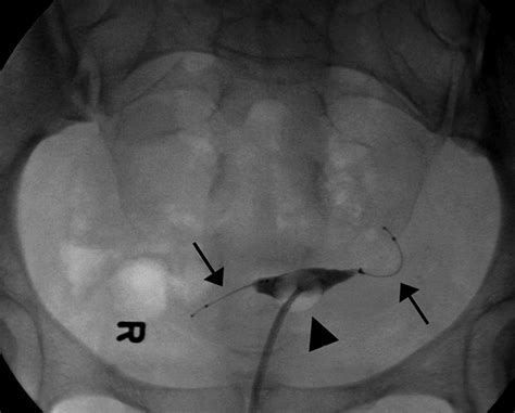
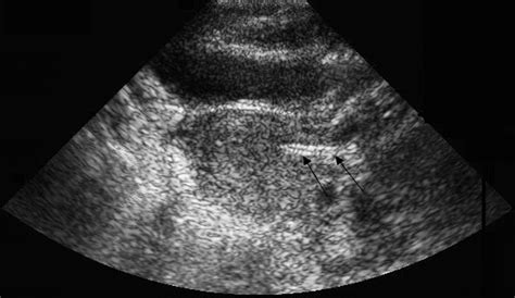
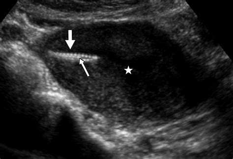
Essure Birth Control is a permanent form of contraception that has gained significant attention over the years. It is a non-surgical, transvaginal procedure that involves the insertion of small, flexible coils into the fallopian tubes. These coils trigger a natural response in the body, leading to the formation of scar tissue that blocks the tubes, preventing sperm from reaching the eggs. This method has been a popular choice for women seeking a long-term solution to birth control, but it has also faced controversies and legal challenges.

Understanding Essure Birth Control

Essure Birth Control is designed to be a minimally invasive alternative to traditional tubal ligation. The procedure is typically performed in a doctor's office and does not require general anesthesia. The coils are inserted through the vagina and cervix using a thin catheter, and the entire process usually takes about 10-15 minutes. After insertion, the coils remain in place, and over the next few months, the body's natural response to the foreign objects results in the formation of scar tissue, effectively blocking the fallopian tubes.

One of the key advantages of Essure Birth Control is its non-surgical nature. Unlike traditional tubal ligation, which requires incisions and general anesthesia, Essure is a quick and relatively painless procedure. Additionally, it does not involve the risks associated with surgery, such as infection or complications from anesthesia. However, it is important to note that Essure is intended to be a permanent form of birth control, and while it can be reversed, the process is complex and not always successful.

The Controversy Surrounding Essure Birth Control

Despite its benefits, Essure Birth Control has faced significant controversy and legal challenges. Many women who have undergone the procedure have reported severe side effects, including chronic pain, abnormal bleeding, and even organ perforation. Some have also reported that the coils have migrated from their original position, leading to further complications. These issues have led to numerous lawsuits against the manufacturer, Bayer, and have raised questions about the safety and efficacy of the device.

In 2015, the U.S. Food and Drug Administration (FDA) issued a warning about the potential risks associated with Essure Birth Control. The FDA required Bayer to conduct post-market studies to further evaluate the safety of the device and to provide more information to healthcare providers and patients. The FDA also mandated that a black box warning be added to the product labeling, highlighting the potential risks and complications.

In response to the growing concerns, Bayer voluntarily withdrew Essure Birth Control from the market in 2018. The company cited declining sales and the increasing number of lawsuits as reasons for the decision. However, the withdrawal did not address the ongoing issues faced by women who had already undergone the procedure and were experiencing adverse effects.

The legal challenges surrounding Essure Birth Control have been extensive. Thousands of women have filed lawsuits against Bayer, alleging that the company failed to adequately warn them about the potential risks and complications associated with the device. These lawsuits have resulted in significant settlements and compensation for many of the affected women.

In 2019, Bayer agreed to a $1.6 billion settlement to resolve thousands of lawsuits related to Essure Birth Control. The settlement included compensation for women who had experienced severe side effects, as well as those who had undergone the procedure and later required additional surgeries to remove the coils. The settlement was a significant step towards addressing the concerns of the affected women, but it did not fully resolve the ongoing issues and controversies surrounding the device.

Despite the settlement, many women continue to seek legal recourse for the harm they have experienced. The legal challenges highlight the importance of transparency and accountability in the medical device industry, as well as the need for better regulation and oversight to ensure the safety and efficacy of such devices.

Alternatives to Essure Birth Control

Given the controversies and legal challenges surrounding Essure Birth Control, many women are now exploring alternative forms of permanent birth control. Some of the most common alternatives include:

  • Tubal Ligation: This is a surgical procedure that involves cutting, tying, or blocking the fallopian tubes to prevent pregnancy. It is a more invasive procedure than Essure but is considered highly effective.
  • Hysterectomy: While primarily a procedure to remove the uterus, it can also be used as a form of permanent birth control. However, it is a major surgery with significant risks and recovery time.
  • Transcervical Sterilization: Similar to Essure, this procedure involves the insertion of a device into the fallopian tubes to block them. However, it uses different materials and techniques, which may reduce the risk of complications.
  • Intrauterine Devices (IUDs): While not permanent, IUDs can provide long-term contraception. They are inserted into the uterus and can be removed if the user decides to become pregnant.

Each of these alternatives has its own set of benefits and risks, and it is important for women to consult with their healthcare providers to determine the best option for their individual needs and circumstances.

Important Considerations for Women

For women considering permanent birth control, it is crucial to weigh the benefits and risks carefully. Essure Birth Control, while effective, has been associated with significant side effects and complications. Women should discuss their options with their healthcare providers and consider the following factors:

  • Effectiveness: How effective is the method in preventing pregnancy?
  • Reversibility: Can the procedure be reversed if the woman changes her mind?
  • Side Effects: What are the potential side effects and complications?
  • Recovery Time: How long will it take to recover from the procedure?
  • Cost: What are the financial implications of the procedure?

Women should also consider their long-term goals and whether they may want to have children in the future. Permanent birth control methods are intended to be just that—permanent—and reversing them can be difficult and costly.

It is also important for women to stay informed about the latest research and developments in the field of birth control. The medical community continues to explore new methods and technologies that may offer safer and more effective options for permanent contraception.

📝 Note: Always consult with a healthcare provider before making decisions about birth control. They can provide personalized advice and guidance based on individual health needs and circumstances.

Conclusion

Essure Birth Control has been a controversial topic in the world of permanent contraception. While it offers a non-surgical option for women seeking long-term birth control, it has also been associated with significant side effects and complications. The legal challenges and settlements highlight the importance of transparency and accountability in the medical device industry. Women considering permanent birth control should carefully weigh their options and consult with healthcare providers to determine the best course of action for their individual needs. As research and technology continue to advance, new and potentially safer alternatives may become available, offering women more choices and better outcomes.

Related Terms:

  • essure birth control mri
  • essure birth control mri safety
  • essure birth control problems
  • essure birth control mri safe
  • essure birth control side effects
  • essure birth control lawsuits
Facebook Twitter WhatsApp
Related Posts
Don't Miss