Learning

Escherichia Coli Under Microscope

Escherichia Coli Under Microscope
Escherichia Coli Under Microscope

Exploring the microscopic world of bacteria can be both fascinating and educational. One of the most commonly studied bacteria under the microscope is *Escherichia coli*, often abbreviated as *E. coli*. This bacterium is a gram-negative, rod-shaped organism that is part of the normal flora of the human gut. Understanding *Escherichia coli under microscope* provides valuable insights into its structure, behavior, and potential roles in health and disease.

Understanding *Escherichia coli*

*E. coli* is a versatile bacterium that can be found in various environments, including soil, water, and the intestines of warm-blooded animals. It is classified under the family Enterobacteriaceae and is known for its ability to ferment lactose, a characteristic that aids in its identification in laboratory settings. *E. coli* strains can be either pathogenic or non-pathogenic, with pathogenic strains capable of causing a range of illnesses, from mild gastrointestinal upset to severe infections.

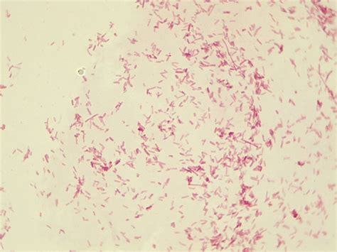
Morphology of *E. coli* Under Microscope

When observed *Escherichia coli under microscope*, several key morphological features become apparent. *E. coli* is a rod-shaped bacterium, typically measuring about 2.0 µm in length and 0.25-1.0 µm in diameter. Its gram-negative nature means it has a thin peptidoglycan layer and an outer membrane, which can be visualized using specific staining techniques. The bacterium's flagella, which are used for motility, are also visible under high magnification.

To observe *E. coli* under a microscope, the following steps are generally followed:

  • Prepare a smear of the bacterial culture on a clean microscope slide.
  • Fix the smear by passing the slide through a flame briefly to kill the bacteria and adhere them to the slide.
  • Stain the smear using a Gram stain or other appropriate staining method.
  • Allow the stain to set for the recommended time.
  • Rinse the slide with water and blot dry.
  • Examine the slide under a microscope, starting with the lowest magnification and gradually increasing to higher powers.

🔍 Note: Proper staining techniques are crucial for accurate identification. Gram staining is commonly used to differentiate between gram-positive and gram-negative bacteria.

Staining Techniques for *E. coli*

Several staining techniques can be employed to visualize *E. coli* under a microscope. The most commonly used methods include:

  • Gram Staining: This technique differentiates between gram-positive and gram-negative bacteria. *E. coli*, being gram-negative, will appear pink or red under the microscope.
  • Simple Staining: This method uses a single dye, such as methylene blue or crystal violet, to stain the bacteria. It provides a basic view of the bacterial morphology.
  • Negative Staining: This technique uses a dye that stains the background rather than the bacteria themselves, making the bacteria appear as clear, unstained areas against a colored background.
  • Flagella Staining: This specialized staining method highlights the flagella of the bacteria, which are essential for motility. *E. coli* typically has peritrichous flagella, meaning they are distributed over the entire surface of the cell.

Culturing *E. coli* for Microscopic Observation

To observe *E. coli* under a microscope, it is essential to culture the bacteria in a suitable growth medium. Commonly used media include:

  • Nutrient Agar: A general-purpose medium that supports the growth of a wide range of bacteria, including *E. coli*.
  • MacConkey Agar: A selective and differential medium that inhibits the growth of gram-positive bacteria and differentiates between lactose-fermenting and non-lactose-fermenting gram-negative bacteria. *E. coli* will appear as pink colonies on this medium.
  • Eosin Methylene Blue (EMB) Agar: Another selective and differential medium that inhibits the growth of gram-positive bacteria and differentiates between lactose-fermenting and non-lactose-fermenting gram-negative bacteria. *E. coli* will appear as dark centers with green metallic sheen colonies on this medium.

Culturing *E. coli* involves the following steps:

  • Prepare the appropriate growth medium and sterilize it.
  • Inoculate the medium with a sample containing *E. coli*.
  • Incubate the culture at 37°C for 24-48 hours.
  • Observe the colonies for characteristic features, such as color and morphology.
  • Prepare a smear from the colonies and stain using the desired method.
  • Examine the smear under a microscope.

🔬 Note: Proper aseptic techniques should be followed during the culturing process to prevent contamination.

Applications of *E. coli* Observation

Observing *E. coli* under a microscope has numerous applications in various fields, including:

  • Medical Diagnostics: Identifying *E. coli* infections in clinical samples, such as stool, urine, or blood, is crucial for diagnosing and treating infections.
  • Food Safety: Monitoring *E. coli* contamination in food products helps ensure food safety and prevent outbreaks of foodborne illnesses.
  • Environmental Monitoring: Assessing the presence of *E. coli* in water sources can indicate fecal contamination and potential health risks.
  • Research: Studying *E. coli* under a microscope aids in understanding its genetics, physiology, and interactions with other organisms.

Safety Precautions When Handling *E. coli*

While *E. coli* is a common bacterium, some strains can be pathogenic and pose health risks. Therefore, it is essential to follow safety precautions when handling *E. coli*:

  • Use personal protective equipment (PPE), such as gloves and lab coats, when handling bacterial cultures.
  • Work in a biosafety cabinet or other controlled environment to minimize the risk of contamination.
  • Disinfect work surfaces and equipment before and after use.
  • Properly dispose of bacterial cultures and contaminated materials according to biohazard waste guidelines.
  • Wash hands thoroughly with soap and water after handling bacterial cultures.

⚠️ Note: Always follow institutional biosafety guidelines and regulations when working with *E. coli* or any other bacterial cultures.

Common *E. coli* Strains and Their Characteristics

*E. coli* encompasses a diverse range of strains, each with unique characteristics and potential impacts on health. Some of the most commonly studied strains include:

Strain Characteristics Potential Health Impact
K-12 Non-pathogenic, commonly used in laboratory research None
O157:H7 Pathogenic, produces Shiga toxin Severe gastrointestinal illness, including hemorrhagic colitis and hemolytic uremic syndrome
Enterotoxigenic *E. coli* (ETEC) Produces enterotoxins that cause diarrhea Traveler's diarrhea, particularly in developing countries
Enterohemorrhagic *E. coli* (EHEC) Produces Shiga-like toxins Hemorrhagic colitis, hemolytic uremic syndrome
Enteropathogenic *E. coli* (EPEC) Adheres to intestinal epithelial cells, causing diarrhea Diarrheal illness, particularly in infants

Future Directions in *E. coli* Research

The study of *E. coli* continues to evolve, with ongoing research focusing on various aspects of this bacterium. Some key areas of interest include:

  • Genomics and Proteomics: Understanding the genetic and protein makeup of *E. coli* can provide insights into its virulence factors and potential targets for therapeutic interventions.
  • Antibiotic Resistance: Investigating the mechanisms of antibiotic resistance in *E. coli* is crucial for developing new antibiotics and strategies to combat resistant strains.
  • Host-Microbe Interactions: Studying the interactions between *E. coli* and its hosts can help elucidate the factors that contribute to colonization, infection, and disease.
  • Biotechnology Applications: *E. coli* is widely used in biotechnology for the production of recombinant proteins, enzymes, and other biomolecules. Ongoing research aims to enhance its efficiency and versatility in these applications.

In conclusion, the study of Escherichia coli under microscope provides valuable insights into its structure, behavior, and potential roles in health and disease. From medical diagnostics to environmental monitoring, the applications of E. coli observation are vast and diverse. By understanding this bacterium better, we can develop more effective strategies for prevention, diagnosis, and treatment of E. coli-related illnesses, as well as harness its potential in biotechnology and research.

Related Terms:

  • e coli gram stain 1000x
  • escherichia coli shape
  • e coli under microscope 40x
  • escherichia coli under microscope 40x
  • escherichia coli microscopy
  • e coli under microscope 1000x
Facebook Twitter WhatsApp
Related Posts
Don't Miss