Learning

Eruption Cyst Baby

Eruption Cyst Baby
Eruption Cyst Baby

As a parent, encountering an eruption cyst on your baby can be a worrying experience. An eruption cyst, also known as an eruption hematoma, is a small, fluid-filled bump that appears on the gums of infants and young children. These cysts are typically benign and are often a sign that a tooth is about to erupt. Understanding the causes, symptoms, and treatments for an eruption cyst can help alleviate concerns and ensure your baby's comfort.

Understanding Eruption Cysts

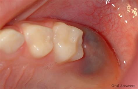
An eruption cyst is a small, bluish or reddish bump that forms on the gums where a tooth is about to break through. These cysts are filled with fluid and can vary in size. They are most commonly seen in infants and young children during the teething process. The cyst forms as a result of the tooth pushing against the gum tissue, causing a small pocket of fluid to accumulate.

Causes of Eruption Cysts

Eruption cysts are primarily caused by the pressure exerted by an erupting tooth on the gum tissue. This pressure can lead to the formation of a small, fluid-filled sac. The cyst is usually harmless and resolves on its own once the tooth has fully erupted. However, in some cases, the cyst may become infected or cause discomfort, requiring medical attention.

Symptoms of Eruption Cysts

Identifying an eruption cyst is relatively straightforward. Here are some common symptoms to look out for:

  • Appearance: A small, bluish or reddish bump on the gums.
  • Location: Typically found where a tooth is about to erupt.
  • Size: Can vary from a few millimeters to a centimeter in diameter.
  • Pain: Usually painless, but may cause discomfort if infected or if the tooth is pushing against the cyst.

Diagnosing Eruption Cysts

Diagnosing an eruption cyst is usually a straightforward process. A healthcare provider will examine the cyst and may ask about your baby's teething history. In some cases, an X-ray may be recommended to confirm the presence of an erupting tooth and to rule out other potential issues.

Treatment Options for Eruption Cysts

In most cases, eruption cysts do not require treatment and will resolve on their own once the tooth has fully erupted. However, if the cyst becomes infected or causes significant discomfort, your healthcare provider may recommend one of the following treatments:

  • Monitoring: Regularly checking the cyst to ensure it is not growing or causing discomfort.
  • Pain Relief: Over-the-counter pain relievers or topical anesthetics to alleviate discomfort.
  • Antibiotics: If the cyst becomes infected, antibiotics may be prescribed to clear the infection.
  • Drainage: In rare cases, the cyst may need to be drained to relieve pressure and prevent infection.

📝 Note: Always consult a healthcare provider before administering any medication to your baby.

Preventing Eruption Cysts

While eruption cysts are a natural part of the teething process and cannot be entirely prevented, there are steps you can take to minimize discomfort and potential complications:

  • Regular Dental Check-ups: Schedule regular dental check-ups for your baby to monitor their oral health.
  • Oral Hygiene: Maintain good oral hygiene by gently cleaning your baby's gums and teeth with a soft cloth or infant toothbrush.
  • Teething Toys: Provide your baby with safe teething toys to help relieve discomfort during the teething process.
  • Hydration: Ensure your baby stays hydrated, as dehydration can exacerbate discomfort.

When to Seek Medical Attention

While eruption cysts are generally harmless, there are situations where medical attention may be necessary. Contact your healthcare provider if you notice any of the following:

  • Increased Pain: If the cyst becomes increasingly painful.
  • Swelling: If the cyst or surrounding area becomes swollen.
  • Fever: If your baby develops a fever.
  • Discharge: If there is any discharge from the cyst.
  • Difficulty Eating: If your baby has difficulty eating or drinking due to discomfort.

Common Misconceptions About Eruption Cysts

There are several misconceptions surrounding eruption cysts that can cause unnecessary worry. Here are some common myths debunked:

  • Myth: Eruption cysts are always painful. Fact: Most eruption cysts are painless and only cause discomfort if infected or if the tooth is pushing against the cyst.
  • Myth: Eruption cysts require immediate medical attention. Fact: In most cases, eruption cysts resolve on their own and do not require treatment.
  • Myth: Eruption cysts are a sign of a serious dental issue. Fact: Eruption cysts are a normal part of the teething process and are usually harmless.

Caring for Your Baby During Teething

Teething can be a challenging time for both babies and parents. Here are some tips to help your baby through the teething process:

  • Teething Toys: Provide your baby with safe teething toys to chew on. These can help relieve discomfort and soothe sore gums.
  • Cold Compresses: Apply a cold compress to your baby's gums to numb the area and reduce swelling.
  • Gentle Massage: Gently massage your baby's gums with a clean finger to help relieve pressure.
  • Pain Relief: Consult your healthcare provider about safe pain relief options for your baby.

📝 Note: Always supervise your baby when using teething toys or applying cold compresses to ensure safety.

Eruption Cysts and Dental Development

Eruption cysts are a natural part of dental development and typically do not affect the overall health of your baby's teeth. However, it is essential to monitor the cyst and seek medical attention if necessary. Regular dental check-ups can help ensure that your baby's teeth are developing correctly and that any potential issues are addressed promptly.

Long-Term Effects of Eruption Cysts

Eruption cysts usually resolve on their own and do not have long-term effects on dental health. However, in rare cases, the cyst may become infected or cause complications that require medical intervention. Regular dental check-ups and good oral hygiene can help prevent potential issues and ensure your baby's dental health.

Eruption cysts are a common occurrence during the teething process and are generally harmless. Understanding the causes, symptoms, and treatments for eruption cysts can help alleviate concerns and ensure your baby’s comfort. Regular dental check-ups and good oral hygiene are essential for maintaining your baby’s dental health and preventing potential issues. If you notice any signs of infection or discomfort, consult your healthcare provider for appropriate treatment.

Related Terms:

  • eruption cyst vs dentigerous
  • tooth eruption cyst
  • eruption cyst vs hematoma
  • eruption cyst baby pictures
  • treatment for eruption cyst
  • baby eruption cyst treatment
Facebook Twitter WhatsApp
Related Posts
Don't Miss