Learning

Epithelial Tissue Quiz

Epithelial Tissue Quiz
Epithelial Tissue Quiz

Embarking on a journey to understand the intricacies of the human body can be both fascinating and challenging. One of the fundamental components of this journey is the study of epithelial tissue. Epithelial tissue is a type of tissue that covers the surfaces of structures throughout the body, both internally and externally. It serves a variety of functions, including protection, absorption, secretion, and sensation. To deepen your understanding of this crucial tissue, an Epithelial Tissue Quiz can be an invaluable tool. This quiz not only tests your knowledge but also reinforces key concepts, making it easier to grasp the complexities of epithelial tissue.

Understanding Epithelial Tissue

Epithelial tissue is composed of closely packed cells that form continuous sheets. These sheets can be found in various parts of the body, including the skin, the lining of the digestive tract, and the surfaces of organs. The primary functions of epithelial tissue include:

  • Protection: Epithelial tissue acts as a barrier, protecting underlying tissues from physical damage, pathogens, and chemical irritants.
  • Absorption: In the digestive and respiratory systems, epithelial tissue facilitates the absorption of nutrients and gases.
  • Secretion: Epithelial cells in glands secrete hormones, enzymes, and other substances essential for bodily functions.
  • Sensation: Specialized epithelial cells, such as those in the skin and tongue, detect stimuli and transmit signals to the nervous system.

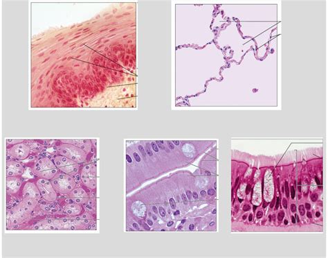
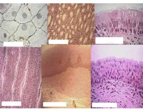
Types of Epithelial Tissue

Epithelial tissue can be classified based on the shape of the cells and the number of cell layers. The main types are:

  • Simple Epithelium: Consists of a single layer of cells. It is further classified into:
    • Simple Squamous: Found in areas where diffusion and filtration occur, such as the alveoli of the lungs and the glomeruli of the kidneys.
    • Simple Cuboidal: Present in glands and ducts, where secretion and absorption take place.
    • Simple Columnar: Located in the digestive tract and respiratory passages, where absorption and secretion are crucial.
    • Pseudostratified Columnar: Found in the respiratory tract, where it aids in the movement of mucus.
  • Stratified Epithelium: Consists of multiple layers of cells. It is further classified into:
    • Stratified Squamous: Found in areas subject to wear and tear, such as the skin and the lining of the mouth and esophagus.
    • Stratified Cuboidal: Rare and found in larger ducts of some glands.
    • Stratified Columnar: Found in the male urethra and parts of the pharynx.
    • Transitional Epithelium

Functions of Epithelial Tissue

Epithelial tissue plays a critical role in maintaining the body’s homeostasis. Its functions can be broadly categorized into:

  • Protection: Epithelial tissue forms a physical barrier that protects underlying tissues from mechanical injury, pathogens, and chemical damage.
  • Absorption: In the digestive and respiratory systems, epithelial tissue facilitates the absorption of nutrients, water, and gases.
  • Secretion: Epithelial cells in glands secrete various substances, including hormones, enzymes, and mucus, which are essential for bodily functions.
  • Sensation: Specialized epithelial cells, such as those in the skin and tongue, detect stimuli and transmit signals to the nervous system, enabling the body to respond to its environment.

Epithelial Tissue Quiz: Testing Your Knowledge

An Epithelial Tissue Quiz is an excellent way to assess your understanding of this vital tissue. Here are some sample questions that you might encounter in such a quiz:

  • What are the primary functions of epithelial tissue?
  • Name the different types of simple epithelium and their locations in the body.
  • Explain the difference between stratified squamous and stratified cuboidal epithelium.
  • Where is transitional epithelium found, and what is its function?
  • Describe the role of epithelial tissue in the digestive system.

To create an effective Epithelial Tissue Quiz, consider including a mix of multiple-choice, true/false, and short-answer questions. This variety will help reinforce different aspects of your knowledge and ensure a comprehensive understanding of the topic.

Preparing for the Epithelial Tissue Quiz

Preparing for an Epithelial Tissue Quiz involves several steps. Here are some tips to help you get ready:

  • Review your notes and textbooks: Go through your class notes and textbooks to refresh your memory on the key concepts and functions of epithelial tissue.
  • Use visual aids: Diagrams and illustrations can be very helpful in understanding the structure and function of epithelial tissue. Make sure to study these visual aids thoroughly.
  • Practice with sample questions: Take practice quizzes to get a feel for the types of questions that might be asked. This will also help you identify areas where you need more study.
  • Join study groups: Collaborating with classmates can enhance your understanding and provide different perspectives on the material.

📝 Note: Make sure to allocate enough time for review and practice. Cramming at the last minute can be counterproductive.

Common Mistakes to Avoid

When preparing for an Epithelial Tissue Quiz, it’s important to avoid common pitfalls that can hinder your performance. Here are some mistakes to watch out for:

  • Not understanding the basics: Ensure you have a solid grasp of the fundamental concepts before moving on to more complex topics.
  • Ignoring visual aids: Diagrams and illustrations are crucial for understanding the structure of epithelial tissue. Make sure to study these thoroughly.
  • Relying solely on memorization: While memorization is important, it’s equally crucial to understand the underlying concepts and how they apply to different scenarios.
  • Not practicing with sample questions: Taking practice quizzes can help you identify areas where you need more study and get a feel for the types of questions that might be asked.

Sample Epithelial Tissue Quiz Questions

Here is a sample Epithelial Tissue Quiz to help you prepare. Answer these questions to test your knowledge and identify areas where you need more study:

Question Answer
What are the primary functions of epithelial tissue? Protection, absorption, secretion, and sensation.
Name the different types of simple epithelium and their locations in the body.
  • Simple Squamous: Alveoli of the lungs, glomeruli of the kidneys.
  • Simple Cuboidal: Glands and ducts.
  • Simple Columnar: Digestive tract, respiratory passages.
  • Pseudostratified Columnar: Respiratory tract.
Explain the difference between stratified squamous and stratified cuboidal epithelium.
  • Stratified Squamous: Multiple layers of flat cells, found in areas subject to wear and tear.
  • Stratified Cuboidal: Multiple layers of cube-shaped cells, rare and found in larger ducts of some glands.
Where is transitional epithelium found, and what is its function? Found in the urinary system, it allows for stretching and contraction.
Describe the role of epithelial tissue in the digestive system. Facilitates the absorption of nutrients and water, and secretes enzymes and mucus.

Use this quiz as a starting point and create additional questions to cover all aspects of epithelial tissue. This will help you gain a comprehensive understanding of the topic and perform well on your Epithelial Tissue Quiz.

In conclusion, understanding epithelial tissue is essential for grasping the fundamentals of human anatomy and physiology. An Epithelial Tissue Quiz is a valuable tool for reinforcing key concepts and assessing your knowledge. By preparing thoroughly and avoiding common mistakes, you can excel in your studies and gain a deeper appreciation for the intricate workings of the human body.

Related Terms:

  • epithelial tissue quiz anatomy
  • epithelial tissue functions quiz
  • identifying epithelial tissue quiz
  • epithelial tissue identification quiz
  • tissue identification quiz
  • labeling epithelial tissue quiz
Facebook Twitter WhatsApp
Related Posts
Don't Miss