Learning

Enthesitis Related Arthritis

Enthesitis Related Arthritis
Enthesitis Related Arthritis

Enthesitis-related arthritis (ERA) is a type of juvenile idiopathic arthritis (JIA) that primarily affects the entheses, which are the sites where tendons and ligaments attach to bones. This condition is more common in boys and typically presents during the teenage years. Understanding ERA, its symptoms, diagnosis, and treatment options is crucial for managing this chronic condition effectively.

Enthesitis-related arthritis is characterized by inflammation at the entheses, leading to pain and swelling in the affected areas. This type of arthritis can affect various parts of the body, including the heels, knees, and spine. Unlike other forms of JIA, ERA often involves the sacroiliac joints, which connect the spine to the pelvis, and can lead to conditions like ankylosing spondylitis in adulthood.

The symptoms of ERA can vary, but they typically include:

  • Joint pain and stiffness: Particularly in the lower extremities, such as the heels, knees, and ankles.
  • Enthesitis: Inflammation at the sites where tendons and ligaments attach to bones, causing pain and tenderness.
  • Back pain: Often in the lower back or buttocks, which can be a sign of sacroiliitis.
  • Limited range of motion: In the affected joints, leading to difficulty in performing daily activities.
  • Fatigue: Generalized tiredness and lack of energy.
  • Fever: Low-grade fever may be present in some cases.

Diagnosing ERA involves a comprehensive evaluation by a healthcare provider, including a detailed medical history, physical examination, and various diagnostic tests. The diagnostic process may include:

  • Medical history: Assessing the patient's symptoms, family history, and any previous medical conditions.
  • Physical examination: Checking for signs of inflammation, tenderness, and limited range of motion in the affected joints.
  • Laboratory tests: Blood tests to rule out other conditions and check for markers of inflammation, such as erythrocyte sedimentation rate (ESR) and C-reactive protein (CRP).
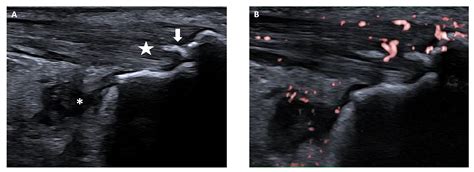
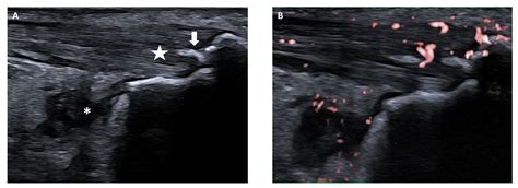
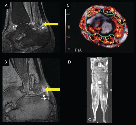
  • Imaging studies: X-rays, MRI, or ultrasound to visualize the affected joints and entheses. MRI is particularly useful for detecting inflammation in the sacroiliac joints.
  • Genetic testing: In some cases, genetic testing may be recommended to check for the presence of the HLA-B27 gene, which is associated with ERA and other forms of spondyloarthritis.

The treatment of ERA aims to reduce inflammation, relieve symptoms, and improve joint function. A multidisciplinary approach is often necessary, involving a combination of medications, physical therapy, and lifestyle modifications. Some of the key treatment options include:

Medications

Several types of medications can be used to manage ERA:

  • Nonsteroidal anti-inflammatory drugs (NSAIDs): Such as ibuprofen or naproxen, to reduce pain and inflammation.
  • Disease-modifying antirheumatic drugs (DMARDs): Such as methotrexate or sulfasalazine, to slow the progression of the disease.
  • Biologic agents: Such as tumor necrosis factor (TNF) inhibitors (e.g., etanercept, adalimumab) or interleukin-17 inhibitors (e.g., secukinumab), to target specific inflammatory pathways.
  • Corticosteroids: Such as prednisone, to reduce inflammation during flare-ups. However, long-term use should be avoided due to potential side effects.

Physical Therapy

Physical therapy plays a crucial role in managing ERA by improving joint mobility, strength, and flexibility. A physical therapist can design a personalized exercise program that includes:

  • Range-of-motion exercises: To improve joint flexibility and reduce stiffness.
  • Strengthening exercises: To build muscle strength and support the affected joints.
  • Stretching exercises: To enhance flexibility and reduce the risk of injury.
  • Posture and body mechanics training: To improve posture and reduce strain on the joints.

Lifestyle Modifications

In addition to medications and physical therapy, lifestyle modifications can help manage ERA symptoms and improve overall well-being. Some important lifestyle changes include:

  • Regular exercise: Engaging in low-impact activities such as swimming, cycling, or yoga to maintain joint health and overall fitness.
  • Healthy diet: Consuming a balanced diet rich in fruits, vegetables, lean proteins, and whole grains to support overall health.
  • Weight management: Maintaining a healthy weight to reduce stress on the joints.
  • Stress management: Practicing stress-reduction techniques such as meditation, deep breathing, or mindfulness to manage chronic pain and fatigue.
  • Adequate rest: Ensuring sufficient sleep and rest to allow the body to recover and reduce fatigue.

Living with ERA can be challenging, but with the right management strategies, individuals can lead active and fulfilling lives. It is essential to work closely with healthcare providers to develop a personalized treatment plan and make necessary lifestyle adjustments. Support from family, friends, and support groups can also provide emotional and practical assistance.

Regular follow-ups with healthcare providers are crucial to monitor the condition, adjust treatment as needed, and address any concerns or complications. Keeping a journal of symptoms, medications, and activities can help track progress and identify patterns or triggers that may exacerbate symptoms.

Education about ERA is also important for individuals and their families. Understanding the condition, its symptoms, and treatment options can empower patients to take an active role in their care and make informed decisions about their health.

In some cases, individuals with ERA may experience flare-ups, where symptoms worsen temporarily. During these times, it is important to follow the healthcare provider's recommendations for managing flare-ups, which may include adjusting medications, increasing rest, and modifying activities.

It is also important to be aware of potential complications associated with ERA, such as uveitis (inflammation of the eye), which can occur in some individuals with ERA. Regular eye examinations are recommended to detect and treat uveitis early.

In addition to medical management, individuals with ERA can benefit from various resources and support services. These may include:

  • Support groups: Joining support groups for individuals with ERA or other forms of arthritis can provide a sense of community, emotional support, and practical advice.
  • Educational resources: Accessing reliable information about ERA from reputable sources can help individuals and their families better understand the condition and its management.
  • Occupational therapy: Working with an occupational therapist to learn strategies for managing daily activities and adapting the home or workplace to accommodate limitations.
  • Mental health support: Seeking support from mental health professionals to manage the emotional and psychological aspects of living with a chronic condition.

In summary, living with ERA requires a comprehensive approach that includes medical management, lifestyle modifications, and emotional support. By working closely with healthcare providers and utilizing available resources, individuals with ERA can effectively manage their condition and maintain a high quality of life.

Enthesitis-related arthritis is a complex condition that requires ongoing management and support. By understanding the symptoms, diagnosis, and treatment options, individuals with ERA can take proactive steps to manage their condition and improve their overall well-being. Regular communication with healthcare providers, adherence to treatment plans, and a positive outlook can all contribute to a better quality of life for those living with ERA.

It is important to remember that ERA is a chronic condition, and while there is no cure, effective management strategies can help control symptoms and prevent long-term complications. By staying informed, seeking support, and taking an active role in their care, individuals with ERA can lead fulfilling and active lives.

In conclusion, enthesis-related arthritis is a challenging condition that affects many individuals, particularly during their teenage years. By understanding the symptoms, diagnosis, and treatment options, individuals with ERA can take proactive steps to manage their condition and improve their overall well-being. Regular communication with healthcare providers, adherence to treatment plans, and a positive outlook can all contribute to a better quality of life for those living with ERA.

Related Terms:

  • what is enthesitis arthritis
  • enthesitis associated with arthritis
  • what is enthesitis disease
  • what does enthesitis mean
  • enthesitis diagnosis
  • enthesitis related to arthritis
Facebook Twitter WhatsApp
Related Posts
Don't Miss