Learning

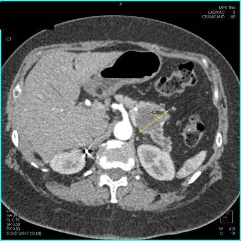
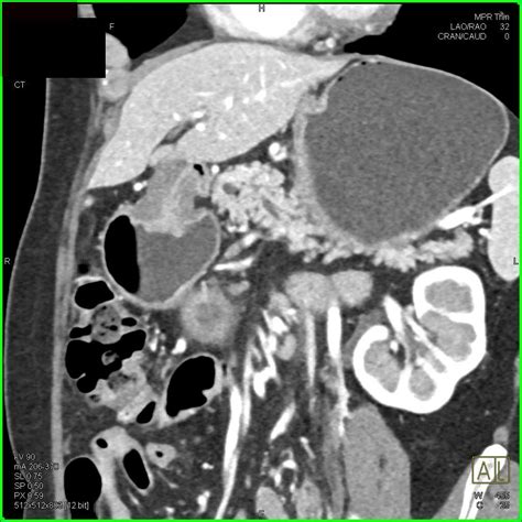
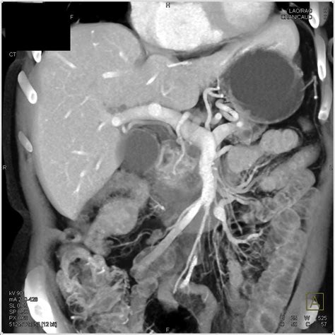
Enlarged Pancreatic Duct

Enlarged Pancreatic Duct
Enlarged Pancreatic Duct

Understanding the complexities of pancreatic health is crucial for maintaining overall well-being. One condition that often raises concerns is an enlarged pancreatic duct. This condition can be indicative of various underlying issues, ranging from benign to more serious health problems. This blog post delves into the causes, symptoms, diagnosis, and treatment options for an enlarged pancreatic duct, providing a comprehensive guide for those seeking to understand this condition better.

Understanding the Pancreas and Its Ducts

The pancreas is a vital organ located behind the stomach and plays a crucial role in digestion and blood sugar regulation. It produces enzymes that aid in breaking down food and hormones like insulin and glucagon that help manage blood glucose levels. The pancreatic duct is a tube that carries these enzymes from the pancreas to the small intestine. When this duct becomes enlarged, it can disrupt the normal functioning of the pancreas, leading to various symptoms and complications.

Causes of an Enlarged Pancreatic Duct

An enlarged pancreatic duct can be caused by several factors, including:

  • Chronic Pancreatitis: This is a long-term inflammation of the pancreas that can lead to scarring and narrowing of the pancreatic duct, causing it to enlarge.
  • Pancreatic Cancer: Tumors in the pancreas can obstruct the duct, leading to its enlargement.
  • Pancreatic Stones: Also known as pancreatic calculi, these are hard deposits that can form in the pancreatic duct and cause obstruction.
  • Cysts and Pseudocysts: Fluid-filled sacs that can develop in the pancreas and compress the duct, leading to enlargement.
  • Trauma or Injury: Physical trauma to the abdomen can cause damage to the pancreas and its ducts.

Symptoms of an Enlarged Pancreatic Duct

The symptoms of an enlarged pancreatic duct can vary depending on the underlying cause. Common symptoms include:

  • Abdominal pain, often severe and located in the upper abdomen.
  • Nausea and vomiting.
  • Weight loss and loss of appetite.
  • Jaundice, characterized by yellowing of the skin and eyes.
  • Dark urine and light-colored stools.
  • Fever and chills.

These symptoms can be indicative of various conditions, so it is essential to consult a healthcare provider for an accurate diagnosis.

Diagnosing an Enlarged Pancreatic Duct

Diagnosing an enlarged pancreatic duct involves a combination of medical history, physical examination, and diagnostic tests. Common diagnostic procedures include:

  • Blood Tests: To check for elevated levels of pancreatic enzymes and other markers of pancreatic dysfunction.
  • Imaging Tests: Such as ultrasound, CT scan, or MRI to visualize the pancreas and its ducts.
  • Endoscopic Retrograde Cholangiopancreatography (ERCP): A procedure that combines endoscopy and X-ray to examine the pancreatic duct and bile ducts.
  • Magnetic Resonance Cholangiopancreatography (MRCP): A non-invasive imaging test that uses magnetic resonance imaging to visualize the pancreatic and bile ducts.

These diagnostic tools help healthcare providers determine the cause of the enlarged pancreatic duct and develop an appropriate treatment plan.

Treatment Options for an Enlarged Pancreatic Duct

The treatment for an enlarged pancreatic duct depends on the underlying cause. Common treatment options include:

  • Medications: Pain relievers, enzymes, and other medications to manage symptoms and improve pancreatic function.
  • Endoscopic Procedures: Such as ERCP to remove stones or place stents to keep the duct open.
  • Surgery: In cases of pancreatic cancer or severe chronic pancreatitis, surgical intervention may be necessary to remove the affected portion of the pancreas or to bypass the obstruction.
  • Lifestyle Changes: Dietary modifications, avoiding alcohol, and quitting smoking can help manage symptoms and prevent further damage to the pancreas.

It is essential to work closely with a healthcare provider to develop a personalized treatment plan that addresses the specific needs and underlying cause of the enlarged pancreatic duct.

Complications of an Enlarged Pancreatic Duct

If left untreated, an enlarged pancreatic duct can lead to several complications, including:

  • Pancreatic Insufficiency: The pancreas may not produce enough enzymes to digest food, leading to malnutrition and weight loss.
  • Diabetes: Damage to the pancreas can affect its ability to produce insulin, leading to diabetes.
  • Infection: An enlarged pancreatic duct can increase the risk of infections, such as pancreatitis or abscesses.
  • Cancer: Chronic inflammation and damage to the pancreas can increase the risk of developing pancreatic cancer.

Regular monitoring and follow-up with a healthcare provider can help manage these complications and improve overall health outcomes.

Preventing an Enlarged Pancreatic Duct

While not all cases of an enlarged pancreatic duct can be prevented, certain lifestyle changes can reduce the risk of developing this condition. These include:

  • Avoiding excessive alcohol consumption.
  • Maintaining a healthy diet rich in fruits, vegetables, and whole grains.
  • Quitting smoking.
  • Managing underlying conditions, such as diabetes and high cholesterol.
  • Regular exercise and maintaining a healthy weight.

These lifestyle modifications can help promote overall pancreatic health and reduce the risk of developing an enlarged pancreatic duct.

📝 Note: Always consult a healthcare provider for personalized advice and treatment options.

An enlarged pancreatic duct is a condition that requires prompt medical attention and appropriate management. By understanding the causes, symptoms, and treatment options, individuals can take proactive steps to address this condition and improve their overall health. Regular follow-up with a healthcare provider and adherence to a personalized treatment plan are essential for managing an enlarged pancreatic duct and preventing potential complications.

Related Terms:

  • what causes an enlarged pancreas
  • enlarged pancreatic duct icd 10
  • cause of pancreatitis in humans
  • pancreatic enlargement symptoms
  • acute pancreatitis pain location
  • 7 symptoms of pancreas problems
Facebook Twitter WhatsApp
Related Posts
Don't Miss