Learning

Enfermedad De Bowen

Enfermedad De Bowen
Enfermedad De Bowen

Enfermedad de Bowen, also known as Bowen's disease, is a rare skin condition characterized by the presence of slow-growing, reddish-brown plaques on the skin. This condition is typically caused by the human papillomavirus (HPV) and is considered a form of squamous cell carcinoma in situ. Understanding the symptoms, causes, diagnosis, and treatment options for Enfermedad de Bowen is crucial for effective management and prevention of complications.

Understanding Enfermedad de Bowen

Enfermedad de Bowen is a chronic skin condition that primarily affects the epidermis, the outermost layer of the skin. It is often mistaken for other skin conditions due to its similar appearance. The disease is more common in older adults, particularly those over the age of 60, and is slightly more prevalent in men than in women. The exact cause of Enfermedad de Bowen is not fully understood, but it is strongly associated with HPV infection, particularly types 16 and 18.

Symptoms of Enfermedad de Bowen

The most common symptom of Enfermedad de Bowen is the presence of one or more reddish-brown plaques on the skin. These plaques are usually well-defined and can vary in size from a few millimeters to several centimeters. They are often scaly and may be itchy or painful. The plaques can appear on any part of the body but are most commonly found on the face, neck, hands, and legs. In some cases, the plaques may bleed or become ulcerated.

Other symptoms may include:

  • Changes in skin texture
  • Discoloration of the affected area
  • Swelling or inflammation
  • Crusting or oozing

Causes of Enfermedad de Bowen

The primary cause of Enfermedad de Bowen is infection with the human papillomavirus (HPV). HPV is a group of viruses that can cause warts and other skin lesions. Certain types of HPV, particularly types 16 and 18, are associated with an increased risk of developing Enfermedad de Bowen. These types of HPV are also linked to other forms of skin cancer, including cervical cancer.

Other factors that may contribute to the development of Enfermedad de Bowen include:

  • Exposure to ultraviolet (UV) radiation, such as from the sun or tanning beds
  • Chronic skin inflammation or irritation
  • Immunosuppression, such as in individuals with HIV/AIDS or those taking immunosuppressive medications
  • Genetic predisposition

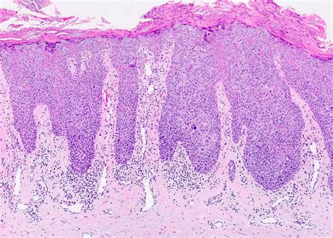
Diagnosis of Enfermedad de Bowen

Diagnosing Enfermedad de Bowen typically involves a combination of clinical examination and laboratory tests. A healthcare provider will perform a physical examination of the affected area and may order a biopsy to confirm the diagnosis. A biopsy involves removing a small sample of the affected skin for microscopic examination. This helps to differentiate Enfermedad de Bowen from other skin conditions, such as psoriasis or eczema.

Additional diagnostic tests may include:

  • Dermoscopy: A non-invasive technique that uses a specialized microscope to examine the skin in detail
  • Immunohistochemistry: A laboratory test that uses antibodies to detect specific proteins in the skin sample
  • Molecular testing: A test that identifies the presence of HPV DNA in the skin sample

Treatment Options for Enfermedad de Bowen

Treatment for Enfermedad de Bowen depends on the size, location, and severity of the plaques, as well as the patient's overall health and preferences. The goal of treatment is to remove the affected skin and prevent the spread of the disease. Common treatment options include:

Topical Treatments

Topical treatments are applied directly to the affected area and are often the first line of treatment for Enfermedad de Bowen. Common topical treatments include:

  • 5-Fluorouracil (5-FU): A chemotherapy drug that is applied to the skin to destroy cancer cells
  • Imiquimod: A topical cream that stimulates the immune system to fight the infection
  • Retinoids: A class of drugs derived from vitamin A that can help to reduce the size and number of plaques

Surgical Treatments

Surgical treatments involve the removal of the affected skin and are often recommended for larger or more severe cases of Enfermedad de Bowen. Common surgical treatments include:

  • Excisional surgery: The surgical removal of the affected skin and a small margin of surrounding healthy tissue
  • Mohs surgery: A specialized surgical technique that involves the removal of thin layers of skin until all cancerous tissue is removed
  • Cryotherapy: The use of liquid nitrogen to freeze and destroy the affected skin
  • Electrodessication and curettage: A procedure that involves scraping off the affected skin and using an electric current to destroy any remaining cancer cells

Photodynamic Therapy

Photodynamic therapy (PDT) is a non-invasive treatment that uses a combination of a photosensitizing drug and a specific type of light to destroy cancer cells. The drug is applied to the affected area and then activated by exposure to light, which causes the cancer cells to die. PDT is often used for smaller or less severe cases of Enfermedad de Bowen.

Radiation Therapy

Radiation therapy uses high-energy radiation to destroy cancer cells. It is typically reserved for cases where surgery is not an option or where the disease has spread to other parts of the body. Radiation therapy can be administered externally or internally, depending on the location and extent of the disease.

Prevention of Enfermedad de Bowen

Preventing Enfermedad de Bowen involves taking steps to reduce the risk of HPV infection and protect the skin from damage. Some effective prevention strategies include:

  • Practicing safe sex to reduce the risk of HPV infection
  • Using sunscreen and protective clothing to shield the skin from UV radiation
  • Avoiding tanning beds and other sources of artificial UV radiation
  • Maintaining a healthy immune system through a balanced diet, regular exercise, and adequate sleep
  • Regular skin examinations to detect any changes or abnormalities early

It is also important to avoid activities that can cause chronic skin irritation or inflammation, such as frequent scratching or rubbing of the skin.

📌 Note: Individuals with a history of Enfermedad de Bowen or other forms of skin cancer should be particularly vigilant about skin protection and regular check-ups.

Living with Enfermedad de Bowen

Living with Enfermedad de Bowen can be challenging, but with proper management and care, many individuals are able to lead normal, active lives. It is important to follow the treatment plan recommended by a healthcare provider and to attend regular follow-up appointments to monitor the condition and detect any recurrence early.

In addition to medical treatment, there are several lifestyle changes that can help to manage Enfermedad de Bowen and improve overall health. These include:

  • Eating a balanced diet rich in fruits, vegetables, and whole grains
  • Engaging in regular physical activity
  • Getting adequate sleep and managing stress
  • Avoiding tobacco and excessive alcohol consumption
  • Practicing good skin care, including regular moisturizing and avoiding harsh soaps or chemicals

Support from family, friends, and healthcare providers can also be invaluable in coping with the emotional and psychological aspects of living with Enfermedad de Bowen.

Enfermedad de Bowen is a rare but serious skin condition that requires prompt diagnosis and treatment. By understanding the symptoms, causes, and treatment options, individuals can take proactive steps to manage the condition and improve their quality of life. Regular skin examinations and a healthy lifestyle can also help to prevent the development of Enfermedad de Bowen and other forms of skin cancer.

While Enfermedad de Bowen can be a challenging condition to live with, it is important to remember that effective treatments are available and that many individuals are able to achieve remission and lead fulfilling lives. With the support of healthcare providers and loved ones, individuals with Enfermedad de Bowen can navigate the challenges of the condition and maintain a positive outlook on their health and well-being.

Enfermedad de Bowen is a condition that affects the skin, causing reddish-brown plaques that can be itchy or painful. It is often caused by the human papillomavirus (HPV) and is more common in older adults. Symptoms include changes in skin texture, discoloration, swelling, and crusting. Diagnosis involves a physical examination and biopsy, and treatment options range from topical creams to surgical procedures. Prevention strategies include safe sex practices, sun protection, and maintaining a healthy immune system. Living with Enfermedad de Bowen requires regular medical care and lifestyle adjustments, but with proper management, many individuals can lead normal, active lives.

Related Terms:

  • enfermedades de bowen causas
  • bowen maladie définition
  • enfermedad de bowen piel
  • bowen symptômes
  • bowen enfermedad
  • bowen enfermedad causas
Facebook Twitter WhatsApp
Related Posts
Don't Miss