Learning

E Coli Gram Test

E Coli Gram Test
E Coli Gram Test

Understanding the fundamentals of microbiology is crucial for anyone involved in the field of science, medicine, or even food safety. One of the most essential techniques in this domain is the E Coli Gram Test. This test is a cornerstone in identifying and classifying bacteria, particularly *Escherichia coli* (*E. coli*), which is a common bacterium found in the environment and the intestines of warm-blooded organisms. The Gram test is named after its creator, Hans Christian Gram, and it helps differentiate bacteria based on their cell wall characteristics.

What is the E Coli Gram Test?

The E Coli Gram Test is a differential staining technique used to classify bacteria into two groups: Gram-positive and Gram-negative. This classification is based on the bacteria's response to the Gram staining procedure. The test involves several steps, including the application of crystal violet dye, iodine solution, alcohol or acetone, and a counterstain like safranin or fuchsin.

Importance of the E Coli Gram Test

The E Coli Gram Test is vital for several reasons:

  • Diagnosis: It aids in the diagnosis of bacterial infections by identifying the type of bacteria present.
  • Treatment: Knowing whether a bacterium is Gram-positive or Gram-negative helps in selecting the appropriate antibiotic treatment.
  • Research: It is essential in microbiological research for studying bacterial characteristics and behaviors.
  • Food Safety: In the food industry, the E Coli Gram Test is used to ensure that food products are free from harmful bacteria.

Steps Involved in the E Coli Gram Test

The E Coli Gram Test involves a series of steps that must be followed precisely to ensure accurate results. Here is a detailed guide:

Materials Needed

  • Bacterial smear on a microscope slide
  • Crystal violet stain
  • Iodine solution (Gram's iodine)
  • Alcohol or acetone
  • Counterstain (safranin or fuchsin)
  • Microscope
  • Distilled water
  • Paper towels or blotting paper

Procedure

1. Preparation of the Smear: Prepare a thin smear of the bacterial sample on a clean microscope slide. Allow the smear to air dry.

2. Fixation: Pass the slide through a flame briefly to fix the bacteria to the slide. This step kills the bacteria and adheres them to the slide.

3. Primary Stain: Apply crystal violet stain to the smear and let it sit for about 1 minute. This stain penetrates all bacterial cells.

4. Mordant: Rinse the slide with distilled water and then apply Gram's iodine solution for about 1 minute. The iodine acts as a mordant, forming a complex with the crystal violet that makes it harder to remove.

5. Decolorization: Rinse the slide with distilled water and then apply alcohol or acetone for a few seconds. This step decolorizes Gram-negative bacteria, while Gram-positive bacteria retain the crystal violet stain.

6. Counterstain: Rinse the slide with distilled water and apply the counterstain (safranin or fuchsin) for about 1 minute. This stain colors the decolorized Gram-negative bacteria.

7. Final Rinse: Rinse the slide with distilled water and blot it dry with a paper towel.

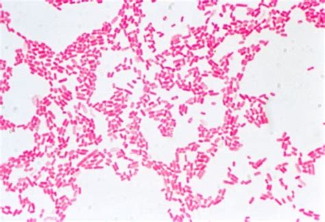
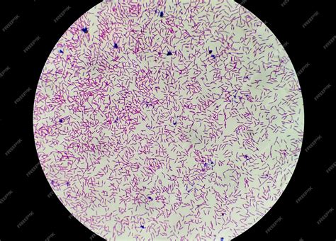
8. Microscopic Examination: Observe the slide under a microscope to determine the Gram reaction of the bacteria. Gram-positive bacteria will appear purple or blue, while Gram-negative bacteria will appear pink or red.

📝 Note: Ensure that the alcohol or acetone is applied gently and for the correct duration to avoid over-decolorization, which can lead to false results.

Interpreting the Results of the E Coli Gram Test

Interpreting the results of the E Coli Gram Test is straightforward once you understand the staining process. Here’s what to look for:

  • Gram-Positive Bacteria: These bacteria retain the crystal violet stain and appear purple or blue under the microscope. Examples include *Staphylococcus* and *Streptococcus*.
  • Gram-Negative Bacteria: These bacteria lose the crystal violet stain during the decolorization step and take up the counterstain, appearing pink or red. Examples include *Escherichia coli* (*E. coli*) and *Pseudomonas*.

It is important to note that some bacteria may exhibit variable Gram reactions, meaning they can appear Gram-positive or Gram-negative depending on their growth conditions or age. These are known as Gram-variable bacteria.

Applications of the E Coli Gram Test

The E Coli Gram Test has wide-ranging applications in various fields:

Medical Diagnosis

In clinical settings, the E Coli Gram Test is used to identify bacterial infections quickly. For example, a Gram stain of a urine sample can help diagnose a urinary tract infection caused by *E. coli*. Similarly, a Gram stain of a wound swab can identify the presence of Gram-positive or Gram-negative bacteria, guiding the choice of antibiotic treatment.

Food Safety

In the food industry, the E Coli Gram Test is crucial for ensuring food safety. *E. coli* is a common contaminant in food products, and its presence can indicate fecal contamination. Regular testing helps prevent foodborne illnesses and ensures that food products are safe for consumption.

Environmental Monitoring

The E Coli Gram Test is also used in environmental monitoring to assess water quality. The presence of *E. coli* in water samples can indicate fecal contamination and potential health risks. This information is essential for public health officials to take appropriate measures to protect water sources.

Research and Development

In microbiological research, the E Coli Gram Test is a fundamental tool for studying bacterial characteristics and behaviors. Researchers use this test to classify bacteria, study their cell wall structures, and develop new antibiotics and treatments.

Challenges and Limitations of the E Coli Gram Test

While the E Coli Gram Test is a valuable tool, it has some challenges and limitations:

  • Subjectivity: The interpretation of the results can be subjective and depends on the technician's skill and experience.
  • Variable Results: Some bacteria may exhibit variable Gram reactions, making it difficult to classify them accurately.
  • False Negatives/Positives: Over-decolorization or under-decolorization can lead to false results, affecting the accuracy of the test.
  • Limited Information: The E Coli Gram Test provides limited information about the bacteria's identity and does not differentiate between different species of Gram-negative or Gram-positive bacteria.

To overcome these challenges, it is essential to follow the staining procedure carefully and use additional tests, such as biochemical tests or molecular techniques, to confirm the identity of the bacteria.

📝 Note: Always use fresh reagents and follow the recommended staining times to ensure accurate results.

Advanced Techniques for Bacterial Identification

While the E Coli Gram Test is a fundamental technique, advanced methods are available for more precise bacterial identification:

Biochemical Tests

Biochemical tests, such as the API system or VITEK system, use a series of biochemical reactions to identify bacteria. These tests provide more detailed information about the bacteria's metabolic characteristics and can differentiate between closely related species.

Molecular Techniques

Molecular techniques, such as polymerase chain reaction (PCR) and DNA sequencing, offer highly specific and sensitive methods for bacterial identification. These techniques can detect specific genetic markers and provide accurate identification of bacterial species.

Mass Spectrometry

Mass spectrometry, such as Matrix-Assisted Laser Desorption/Ionization Time-of-Flight (MALDI-TOF), is a rapid and accurate method for bacterial identification. This technique analyzes the protein profiles of bacteria and compares them to a database of known species.

Conclusion

The E Coli Gram Test is a fundamental technique in microbiology that plays a crucial role in diagnosing infections, ensuring food safety, and conducting research. By differentiating bacteria based on their cell wall characteristics, this test provides valuable information for selecting appropriate treatments and preventing the spread of infections. While the E Coli Gram Test has some limitations, it remains an essential tool in the field of microbiology, complemented by advanced techniques for more precise identification. Understanding the principles and applications of the E Coli Gram Test is essential for anyone involved in the study or practice of microbiology.

Related Terms:

  • e coli test in water
  • e coli test kit
  • e coli bacteria
  • e coli treatment
  • e coli symptoms in humans
  • e coli test quest
Facebook Twitter WhatsApp
Related Posts
Don't Miss