Learning

Do Penguins Have Knees

Do Penguins Have Knees
Do Penguins Have Knees

Penguins are fascinating creatures that have captivated the hearts of people around the world with their waddling gait, tuxedo-like appearance, and charming antics. One of the most intriguing questions that often arises when discussing these birds is: Do penguins have knees? This question might seem peculiar, but it touches on the unique anatomy and evolutionary adaptations of penguins. Let's delve into the fascinating world of penguin biology to uncover the truth behind this query.

Understanding Penguin Anatomy

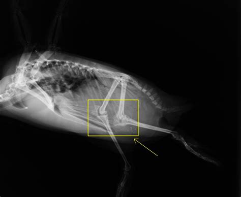
Penguins are flightless birds that have adapted to life in the water. Their bodies are streamlined for swimming, with flippers instead of wings and a dense layer of fat for insulation. However, their legs and feet are often the subject of curiosity, particularly when it comes to the question of whether they have knees.

To understand this, we need to look at the structure of a penguin's legs. Penguins have short, stout legs that are positioned far back on their bodies. This positioning allows them to swim efficiently but makes walking on land a bit awkward. The legs are connected to the body by a short, thick bone called the femur, which is the thighbone. Below the femur is the tibia, or shinbone, and then the fibula, which is much smaller and less prominent.

Do Penguins Have Knees?

Yes, penguins do have knees, but they are not visible from the outside. The knees are located high up on the body, hidden beneath the feathers and skin. This unique adaptation allows penguins to move efficiently in the water while still being able to walk on land, albeit in a waddling manner.

The hidden knees of penguins are a result of their evolutionary adaptations. Over millions of years, penguins have evolved to become highly specialized for aquatic life. Their legs are positioned far back on their bodies, which helps them swim faster and more efficiently. However, this adaptation also means that their knees are not visible from the outside, leading to the misconception that they do not have knees at all.

The Evolutionary Adaptations of Penguins

Penguins are part of the order Sphenisciformes, which includes 17 to 20 species, depending on the classification system used. They are believed to have evolved from flying birds that gradually adapted to a life in the water. Over time, their wings evolved into flippers, and their bodies became more streamlined for swimming. This evolutionary journey has resulted in several unique adaptations, including their hidden knees.

One of the key adaptations that allowed penguins to become such efficient swimmers is their dense layer of fat, known as blubber. This layer provides insulation and buoyancy, helping penguins to conserve energy while swimming in cold waters. Additionally, their feathers are densely packed and waterproof, further aiding in insulation and buoyancy.

Another important adaptation is their streamlined body shape. Penguins have a torpedo-like shape that reduces drag in the water, allowing them to swim quickly and efficiently. Their flippers are also highly specialized, with stiff, strong bones and muscles that provide powerful propulsion.

Penguin Species and Their Unique Adaptations

Different species of penguins have evolved unique adaptations to suit their specific environments. For example, the Emperor Penguin, the largest of all penguin species, has several adaptations that allow it to survive in the harsh Antarctic environment. These include a dense layer of blubber, a thick coat of feathers, and the ability to dive to great depths in search of food.

In contrast, the Galapagos Penguin, which lives in the warmer waters around the Galapagos Islands, has adaptations that help it cope with a warmer climate. These include a smaller size, which helps to dissipate heat more efficiently, and a thinner layer of blubber.

Here is a table highlighting some of the key adaptations of different penguin species:

Species Environment Key Adaptations
Emperor Penguin Antarctic Dense blubber, thick feathers, deep diving ability
Galapagos Penguin Galapagos Islands Smaller size, thinner blubber, efficient heat dissipation
Adélie Penguin Antarctic Agile swimmers, efficient foragers, strong social structure
King Penguin Subantarctic Islands Large size, thick feathers, efficient diving

These adaptations highlight the incredible diversity and resilience of penguins, allowing them to thrive in a wide range of environments.

The Importance of Penguin Conservation

Penguins face numerous threats, including climate change, habitat destruction, and pollution. Conservation efforts are crucial to ensure the survival of these remarkable birds. Organizations around the world are working to protect penguin habitats, reduce pollution, and mitigate the impacts of climate change.

One of the key challenges facing penguins is the loss of their habitats due to human activities. Coastal development, fishing, and pollution all pose significant threats to penguin populations. Conservation efforts often focus on protecting key breeding and feeding grounds, as well as reducing human impact on these areas.

Climate change is another major threat to penguins. Rising temperatures and changing sea ice conditions can disrupt their food sources and breeding patterns. Conservation efforts aimed at reducing greenhouse gas emissions and promoting sustainable practices are essential for protecting penguins and their habitats.

Pollution, particularly plastic pollution, is also a significant threat to penguins. Plastic waste can entangle and injure penguins, and ingesting plastic can cause serious health problems. Efforts to reduce plastic waste and promote recycling are crucial for protecting penguins and other marine life.

🐧 Note: Conservation efforts often involve a combination of scientific research, public education, and policy advocacy. By working together, we can help ensure the survival of penguins and their habitats for future generations.

Penguins have captured the imagination of people around the world and have become popular figures in literature, film, and television. Their charming appearance and unique behaviors have made them beloved characters in various forms of media.

One of the most famous penguin characters is the Penguin from the Batman series. This character, created by Bob Kane and Bill Finger, is a villain who often clashes with Batman. The Penguin's distinctive appearance and cunning personality have made him a fan favorite.

Another popular penguin character is Skipper from the animated series "The Penguins of Madagascar." This series follows the adventures of a group of penguins who live in the Central Park Zoo and often embark on exciting missions. The show has been praised for its humor, action, and engaging storylines.

Penguins have also been featured in numerous documentaries and nature programs, showcasing their fascinating behaviors and adaptations. These programs often highlight the challenges facing penguins and the importance of conservation efforts.

In addition to their appearances in media, penguins have also inspired various products and merchandise, including toys, clothing, and home decor. Their popularity has made them a beloved symbol of wildlife conservation and environmental awareness.

Penguins have also been the subject of numerous scientific studies and research projects. Scientists have studied their behaviors, adaptations, and habitats to better understand these remarkable birds and develop effective conservation strategies.

One of the key areas of research is the impact of climate change on penguin populations. Scientists are studying how changing temperatures and sea ice conditions are affecting penguin habitats and food sources. This research is crucial for developing strategies to protect penguins and their habitats in the face of climate change.

Another important area of research is the study of penguin behaviors and social structures. Scientists have observed how penguins communicate, form social bonds, and care for their young. This research provides valuable insights into the complex social lives of these birds and helps inform conservation efforts.

Research on penguin adaptations is also crucial for understanding how these birds have evolved to thrive in their environments. Scientists are studying the unique adaptations of different penguin species, including their hidden knees, to better understand their evolutionary history and develop effective conservation strategies.

In conclusion, the question of whether penguins have knees is just one of the many fascinating aspects of these remarkable birds. Their unique anatomy, evolutionary adaptations, and conservation challenges make them a subject of great interest and importance. By understanding and appreciating the complexities of penguin biology, we can better appreciate the need for conservation efforts to protect these incredible creatures and their habitats.

Related Terms:

  • do penguins have ankles
  • why do penguins waddle
  • do penguins have hips
  • do penguins have feathers
  • do penguins have knees book
  • do penguins have knees caps
Facebook Twitter WhatsApp
Related Posts
Don't Miss