Learning

Distal Lower Limb Artery

Distal Lower Limb Artery
Distal Lower Limb Artery

Understanding the complexities of the distal lower limb artery is crucial for healthcare professionals, particularly those involved in vascular surgery, radiology, and podiatry. The distal lower limb artery refers to the blood vessels that supply blood to the lower extremities, specifically the arteries below the knee. These arteries play a vital role in maintaining the health and functionality of the feet and legs. This blog post delves into the anatomy, functions, common pathologies, diagnostic methods, and treatment options related to the distal lower limb artery.

Anatomy of the Distal Lower Limb Artery

The distal lower limb artery system is a complex network of blood vessels that ensure adequate blood flow to the lower extremities. The primary arteries involved in this system include:

  • The popliteal artery, which runs behind the knee and divides into the anterior tibial artery, posterior tibial artery, and peroneal artery.
  • The anterior tibial artery, which supplies blood to the anterior compartment of the leg and continues down to the dorsum of the foot as the dorsalis pedis artery.
  • The posterior tibial artery, which supplies blood to the posterior compartment of the leg and continues down to the sole of the foot, where it divides into the medial and lateral plantar arteries.
  • The peroneal artery, which supplies blood to the lateral compartment of the leg and anastomoses with the anterior and posterior tibial arteries.

These arteries branch further into smaller vessels, ensuring that every part of the lower limb receives an adequate blood supply.

Functions of the Distal Lower Limb Artery

The distal lower limb artery system serves several critical functions:

  • Oxygen and Nutrient Supply: These arteries deliver oxygen and nutrients to the muscles, skin, and other tissues of the lower extremities, ensuring their proper functioning and health.
  • Waste Removal: They also help in removing metabolic waste products, such as carbon dioxide, from the tissues.
  • Thermoregulation: The blood flow through these arteries aids in maintaining the temperature of the lower limbs, helping to regulate body temperature.
  • Healing and Repair: Adequate blood supply is essential for the healing and repair of tissues in case of injury or surgery.

Common Pathologies of the Distal Lower Limb Artery

Several pathologies can affect the distal lower limb artery, leading to various complications. Some of the most common conditions include:

  • Peripheral Artery Disease (PAD): This condition is characterized by the narrowing or blockage of the arteries due to the buildup of plaque, leading to reduced blood flow to the lower extremities. Symptoms may include leg pain, numbness, and weakness.
  • Diabetic Foot: Diabetes can cause damage to the blood vessels, leading to poor circulation in the feet. This can result in ulcers, infections, and even amputation if not managed properly.
  • Deep Vein Thrombosis (DVT): Although primarily a venous condition, DVT can affect the arteries indirectly by causing inflammation and damage to the blood vessels.
  • Atherosclerosis: This is the hardening and narrowing of the arteries due to the buildup of fatty deposits. It can affect the distal lower limb arteries, leading to ischemia and other complications.

Diagnostic Methods for Distal Lower Limb Artery Conditions

Accurate diagnosis of distal lower limb artery conditions is essential for effective treatment. Several diagnostic methods are available, including:

  • Ankle-Brachial Index (ABI): This non-invasive test compares the blood pressure in the ankle to the blood pressure in the arm. A lower ABI indicates poor circulation in the lower extremities.
  • Doppler Ultrasound: This imaging technique uses sound waves to visualize the blood flow in the arteries. It can detect blockages, narrowing, and other abnormalities.
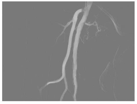
  • Angiography: This invasive procedure involves injecting a contrast dye into the arteries and using X-rays to visualize the blood flow. It provides detailed images of the arteries and can help identify the location and extent of blockages.
  • Computed Tomography Angiography (CTA): This non-invasive imaging technique uses CT scans to create detailed images of the arteries. It can detect blockages, aneurysms, and other abnormalities.
  • Magnetic Resonance Angiography (MRA): This non-invasive imaging technique uses magnetic resonance imaging (MRI) to create detailed images of the arteries. It is particularly useful for patients who cannot undergo CT scans due to allergies or other contraindications.

Treatment Options for Distal Lower Limb Artery Conditions

Treatment for distal lower limb artery conditions depends on the underlying cause and severity of the symptoms. Common treatment options include:

  • Lifestyle Modifications: Changes in diet, exercise, and smoking cessation can improve blood flow and reduce the risk of complications.
  • Medications: Drugs such as antiplatelets, anticoagulants, and statins can help manage symptoms and prevent further damage to the arteries.
  • Angioplasty and Stenting: These minimally invasive procedures involve inserting a balloon catheter into the artery to widen the narrowed or blocked section. A stent may be placed to keep the artery open.
  • Bypass Surgery: This surgical procedure involves creating a new pathway for blood flow around the blocked or narrowed artery using a graft.
  • Amputation: In severe cases where the tissue has become necrotic or infected, amputation may be necessary to prevent the spread of infection and save the patient's life.

📝 Note: Treatment options should be discussed with a healthcare provider to determine the most appropriate course of action based on individual needs and medical history.

Prevention and Management of Distal Lower Limb Artery Conditions

Preventing and managing distal lower limb artery conditions involves a combination of lifestyle changes, regular check-ups, and early intervention. Some key strategies include:

  • Regular Exercise: Engaging in regular physical activity can improve blood flow and overall cardiovascular health.
  • Healthy Diet: Consuming a balanced diet rich in fruits, vegetables, whole grains, and lean proteins can help maintain healthy blood vessels.
  • Smoking Cessation: Quitting smoking can significantly reduce the risk of developing peripheral artery disease and other vascular conditions.
  • Blood Sugar Control: For individuals with diabetes, maintaining optimal blood sugar levels is crucial for preventing complications such as diabetic foot.
  • Regular Check-ups: Regular medical check-ups can help detect early signs of vascular disease and allow for timely intervention.

Future Directions in Distal Lower Limb Artery Research

The field of vascular medicine is continually evolving, with ongoing research aimed at improving the diagnosis and treatment of distal lower limb artery conditions. Some areas of focus include:

  • Advanced Imaging Techniques: Developing more sophisticated imaging methods to provide detailed and accurate visualizations of the arteries.
  • Novel Therapeutics: Exploring new medications and therapies that can target the underlying causes of vascular disease more effectively.
  • Minimally Invasive Procedures: Advancing minimally invasive surgical techniques to reduce recovery time and improve patient outcomes.
  • Personalized Medicine: Tailoring treatment plans to individual patients based on their genetic makeup, lifestyle, and medical history.

These advancements hold promise for better management and treatment of distal lower limb artery conditions, ultimately improving the quality of life for patients.

In conclusion, the distal lower limb artery plays a critical role in maintaining the health and functionality of the lower extremities. Understanding its anatomy, functions, common pathologies, diagnostic methods, and treatment options is essential for healthcare professionals. By implementing preventive measures and seeking timely medical intervention, individuals can effectively manage and mitigate the risks associated with distal lower limb artery conditions. Ongoing research and advancements in vascular medicine offer hope for even more effective treatments in the future.

Related Terms:

  • arterial supply to lower limb
  • arteries of the lower thigh
  • arteries in the lower limb
  • arteries of the lower extremities
  • arteries of the lower leg
Facebook Twitter WhatsApp
Related Posts
Don't Miss