Learning

Diffuse Alveolar Hemorrhage

Diffuse Alveolar Hemorrhage
Diffuse Alveolar Hemorrhage

Diffuse Alveolar Hemorrhage (DAH) is a severe medical condition characterized by widespread bleeding into the alveoli of the lungs. This condition can be life-threatening and requires immediate medical attention. Understanding the causes, symptoms, diagnosis, and treatment of DAH is crucial for healthcare professionals and patients alike.

Understanding Diffuse Alveolar Hemorrhage

Diffuse Alveolar Hemorrhage occurs when there is bleeding into the alveoli, the tiny air sacs in the lungs responsible for gas exchange. This bleeding can be caused by a variety of factors, including autoimmune disorders, infections, and certain medications. The condition can lead to respiratory failure if not treated promptly.

Causes of Diffuse Alveolar Hemorrhage

DAH can be triggered by several underlying conditions. Some of the most common causes include:

  • Autoimmune Disorders: Conditions like Goodpasture syndrome, granulomatosis with polyangiitis (GPA), and systemic lupus erythematosus (SLE) can cause inflammation and damage to the lungs, leading to DAH.
  • Infections: Certain infections, such as pneumonia and tuberculosis, can cause bleeding in the lungs.
  • Medications: Some medications, including anticoagulants and certain chemotherapy drugs, can increase the risk of DAH.
  • Trauma: Physical injury to the lungs, such as from a car accident or fall, can result in DAH.
  • Idiopathic Causes: In some cases, the cause of DAH may be unknown, referred to as idiopathic DAH.

Symptoms of Diffuse Alveolar Hemorrhage

The symptoms of DAH can vary depending on the severity of the bleeding. Common symptoms include:

  • Coughing up blood (hemoptysis)
  • Shortness of breath
  • Fatigue
  • Fever
  • Chest pain
  • Rapid heart rate

These symptoms can develop suddenly or gradually, and they may worsen over time if left untreated.

Diagnosing Diffuse Alveolar Hemorrhage

Diagnosing DAH involves a combination of medical history, physical examination, and diagnostic tests. The diagnostic process typically includes:

  • Medical History: The healthcare provider will ask about symptoms, medical history, and any recent illnesses or injuries.
  • Physical Examination: A thorough physical exam will be conducted to assess the lungs and overall health.
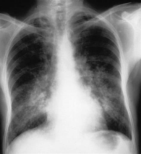
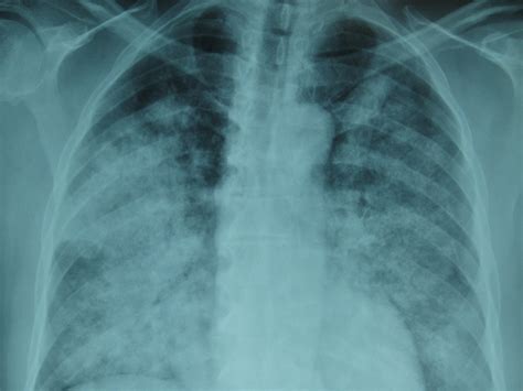
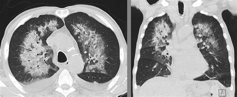
  • Imaging Tests: Chest X-rays and CT scans can help visualize the lungs and identify areas of bleeding.
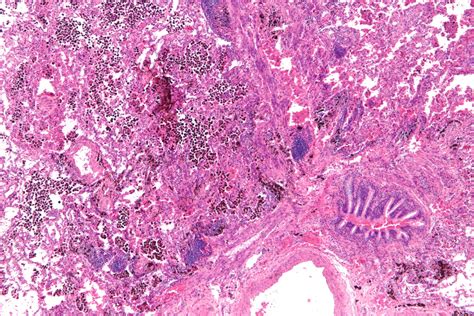
  • Bronchoscopy: This procedure involves inserting a thin tube with a camera into the lungs to directly visualize the bleeding.
  • Blood Tests: Blood tests can help identify underlying conditions, such as autoimmune disorders or infections.
  • Sputum Analysis: Examining the sputum (mucus coughed up from the lungs) can help identify the presence of blood and any underlying infections.

Treatment of Diffuse Alveolar Hemorrhage

The treatment of DAH depends on the underlying cause and the severity of the bleeding. Common treatment approaches include:

  • Supportive Care: This includes oxygen therapy, mechanical ventilation, and fluid management to support breathing and overall health.
  • Medications: Depending on the cause, medications such as corticosteroids, immunosuppressants, or antibiotics may be prescribed.
  • Plasma Exchange: In cases of autoimmune disorders, plasma exchange (plasmapheresis) may be used to remove harmful antibodies from the blood.
  • Surgical Intervention: In severe cases, surgery may be required to control bleeding or remove damaged lung tissue.

It is essential to address the underlying cause of DAH to prevent recurrence and improve long-term outcomes.

Prognosis and Complications

The prognosis for patients with DAH varies depending on the underlying cause and the severity of the bleeding. Early diagnosis and treatment are crucial for improving outcomes. Complications of DAH can include:

  • Respiratory failure
  • Pneumonia
  • Pulmonary fibrosis
  • Chronic lung disease

Regular follow-up with a healthcare provider is essential to monitor for complications and adjust treatment as needed.

Preventing Diffuse Alveolar Hemorrhage

While not all cases of DAH can be prevented, there are steps that can be taken to reduce the risk:

  • Managing underlying conditions, such as autoimmune disorders and infections, can help prevent DAH.
  • Avoiding medications that increase the risk of bleeding, when possible.
  • Taking precautions to prevent lung injuries, such as wearing seatbelts and avoiding high-risk activities.

Regular medical check-ups and prompt treatment of any respiratory symptoms can also help detect and manage DAH early.

📝 Note: If you or someone else experiences symptoms of Diffuse Alveolar Hemorrhage, seek immediate medical attention. Early intervention can significantly improve outcomes.

Diffuse Alveolar Hemorrhage is a serious condition that requires prompt diagnosis and treatment. Understanding the causes, symptoms, and treatment options can help healthcare professionals and patients manage this condition effectively. Early intervention and addressing the underlying cause are key to improving outcomes and preventing complications.

Related Terms:

  • diffuse alveolar hemorrhage bronchoscopy
  • diffuse alveolar hemorrhage radiology
  • diffuse alveolar hemorrhage cxr
  • diffuse alveolar hemorrhage treatment
  • diffuse alveolar hemorrhage steroids
  • diffuse alveolar hemorrhage causes
Facebook Twitter WhatsApp
Related Posts
Don't Miss