Learning

Ct Temporal Bone

Ct Temporal Bone
Ct Temporal Bone

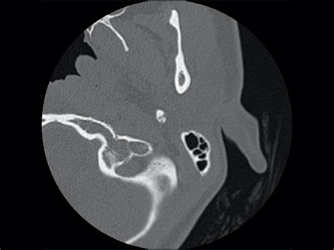
Understanding the complexities of the Ct Temporal Bone is crucial for medical professionals, particularly those specializing in otolaryngology and radiology. The temporal bone, located on the sides of the skull, is a critical structure that houses several important anatomical components, including the inner ear, the middle ear, and parts of the cranial nerves. This blog post delves into the anatomy, clinical significance, and diagnostic approaches related to the Ct Temporal Bone.

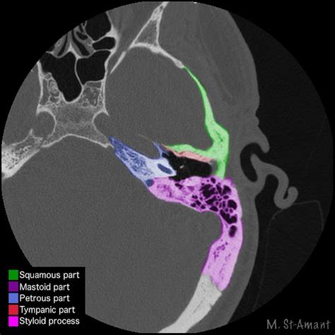
Anatomy of the Temporal Bone

The temporal bone is a complex structure composed of several parts, each with distinct functions. The key components include:

  • The squamous part: This is the largest and most superficial part, forming the side of the skull.
  • The petrous part: This dense, pyramid-shaped portion houses the inner ear structures, including the cochlea and vestibular system.
  • The mastoid part: Located behind the ear, it contains air cells and the mastoid antrum.
  • The tympanic part: This ring-shaped structure forms the bony part of the external ear canal.

The Ct Temporal Bone scan is particularly useful in visualizing these intricate structures due to its high-resolution imaging capabilities. This makes it an invaluable tool for diagnosing various conditions affecting the temporal bone.

Clinical Significance of the Temporal Bone

The temporal bone plays a pivotal role in several physiological functions, including hearing, balance, and facial movements. Any pathology affecting this bone can lead to significant clinical issues. Some of the common conditions that affect the Ct Temporal Bone include:

  • Otosclerosis: A condition characterized by abnormal bone growth in the middle ear, leading to hearing loss.
  • Cholesteatoma: A benign but destructive growth in the middle ear that can erode the temporal bone.
  • Mastoiditis: An infection of the mastoid air cells, often a complication of untreated middle ear infections.
  • Facial Nerve Palsy: Damage to the facial nerve, which runs through the temporal bone, can cause paralysis of the facial muscles.

Accurate diagnosis and management of these conditions require a thorough understanding of the temporal bone's anatomy and the use of advanced imaging techniques like Ct Temporal Bone scans.

Diagnostic Approaches

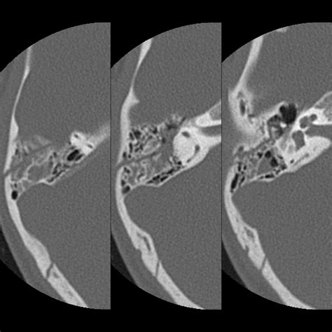
Imaging plays a crucial role in the diagnosis of temporal bone pathologies. The Ct Temporal Bone scan is the gold standard for evaluating the temporal bone due to its ability to provide detailed images of the bone's fine structures. Here are some key points about the diagnostic approach:

  • High-Resolution CT: This technique uses thin slices to capture detailed images of the temporal bone. It is particularly useful for evaluating the bony structures and detecting fractures or erosions.
  • Magnetic Resonance Imaging (MRI): While not as detailed as CT for bony structures, MRI is excellent for visualizing soft tissues, including the inner ear structures and cranial nerves.
  • Audiometry: This test measures hearing sensitivity and is often used in conjunction with imaging to assess the functional impact of temporal bone pathologies.

Ct Temporal Bone scans are typically performed with the patient lying down, and the scan takes about 10-15 minutes. The images are then reviewed by a radiologist who looks for any abnormalities in the temporal bone structures.

Interpreting Ct Temporal Bone Scans

Interpreting Ct Temporal Bone scans requires a keen eye for detail and a thorough understanding of the temporal bone's anatomy. Here are some key points to consider when interpreting these scans:

  • Bone Density: Abnormalities in bone density, such as areas of increased or decreased density, can indicate conditions like otosclerosis or infections.
  • Fractures: Fractures of the temporal bone can be detected by looking for discontinuities in the bone's structure.
  • Erosions: Erosions or destruction of the temporal bone can be seen in conditions like cholesteatoma or mastoiditis.
  • Soft Tissue Abnormalities: While CT is primarily used for bony structures, it can also detect soft tissue abnormalities, such as fluid collections or masses.

Radiologists often use a systematic approach to review Ct Temporal Bone scans, starting with the outer ear and progressing inward to the inner ear structures. This ensures that no abnormalities are missed.

Common Findings in Ct Temporal Bone Scans

Several common findings can be identified in Ct Temporal Bone scans, each with its own clinical significance. Here are some of the most frequently encountered findings:

Finding Description Clinical Significance
Otosclerosis Increased bone density around the oval window Hearing loss
Cholesteatoma Soft tissue mass with bone erosion Potential for hearing loss and facial nerve damage
Mastoiditis Fluid collection and bone erosion in the mastoid air cells Infection and potential for intracranial complications
Facial Nerve Palsy Abnormalities in the facial nerve canal Facial muscle weakness or paralysis

These findings highlight the importance of Ct Temporal Bone scans in diagnosing and managing various conditions affecting the temporal bone.

📌 Note: Always correlate imaging findings with clinical symptoms and other diagnostic tests for accurate diagnosis.

Advanced Imaging Techniques

In addition to standard Ct Temporal Bone scans, advanced imaging techniques can provide even more detailed information about the temporal bone. Some of these techniques include:

  • Cone Beam CT (CBCT): This technique uses a cone-shaped X-ray beam to capture detailed images of the temporal bone. It is particularly useful for evaluating the bony structures in three dimensions.
  • Diffusion-Weighted Imaging (DWI): This MRI technique is used to detect early signs of infection or inflammation in the temporal bone.
  • Functional MRI (fMRI): This technique can be used to evaluate the functional impact of temporal bone pathologies on the brain.

These advanced techniques can provide additional insights into the temporal bone's structure and function, aiding in more accurate diagnosis and treatment planning.

Treatment and Management

The treatment and management of temporal bone pathologies depend on the underlying condition. Here are some common approaches:

  • Medical Management: Conditions like otosclerosis and mastoiditis may be managed with medications, including antibiotics and anti-inflammatory drugs.
  • Surgical Intervention: Surgical procedures, such as tympanoplasty or mastoidectomy, may be required for conditions like cholesteatoma or chronic ear infections.
  • Hearing Aids and Cochlear Implants: For patients with hearing loss due to temporal bone pathologies, hearing aids or cochlear implants may be recommended.

Regular follow-up and monitoring are essential to ensure the effectiveness of the treatment and to detect any complications early.

📌 Note: Always consult with a healthcare provider for personalized treatment recommendations.

In summary, the Ct Temporal Bone scan is an essential tool for diagnosing and managing various conditions affecting the temporal bone. Its high-resolution imaging capabilities provide detailed information about the bone’s structure and function, aiding in accurate diagnosis and effective treatment planning. Understanding the anatomy, clinical significance, and diagnostic approaches related to the Ct Temporal Bone is crucial for medical professionals to provide optimal care to their patients.

Related Terms:

  • ct temporal bone cpt
  • normal temporal bone ct radiopaedia
  • ct of temporal bone cpt
  • ct temporal bone mastoiditis
  • ct temporal bone protocol
  • ct temporal bone without contrast
Facebook Twitter WhatsApp
Related Posts
Don't Miss