Learning

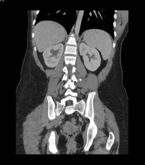
Ct Scan Ivp

Ct Scan Ivp
Ct Scan Ivp

Understanding the intricacies of a CT Scan IVP (Computed Tomography Intravenous Pyelogram) is crucial for both medical professionals and patients. This diagnostic procedure combines the power of computed tomography (CT) with intravenous contrast to provide detailed images of the urinary system. By injecting a contrast dye into the bloodstream, the CT scan can highlight the kidneys, ureters, and bladder, making it easier to detect abnormalities such as stones, tumors, or blockages.

What is a CT Scan IVP?

A CT Scan IVP is a specialized imaging technique that uses X-rays and computer technology to create detailed cross-sectional images of the body. The intravenous contrast dye enhances the visibility of the urinary system, allowing radiologists to identify issues that might not be apparent with standard X-rays or other imaging methods. This procedure is particularly useful for diagnosing conditions affecting the kidneys, ureters, and bladder.

Preparation for a CT Scan IVP

Preparing for a CT Scan IVP involves several steps to ensure the procedure is safe and effective. Patients are typically advised to:

  • Fast for a few hours before the scan to avoid nausea or discomfort from the contrast dye.
  • Stay hydrated by drinking plenty of water to help flush the contrast dye from the body.
  • Inform the healthcare provider about any allergies, especially to iodine or contrast dyes, as well as any medications they are taking.
  • Remove any metal objects, such as jewelry or clothing with metal fasteners, as they can interfere with the imaging process.

In some cases, patients may be asked to wear a hospital gown to ensure there are no metal objects on their body during the scan.

The CT Scan IVP Procedure

The CT Scan IVP procedure typically follows these steps:

  1. The patient is positioned on the CT scan table, usually lying on their back.
  2. An intravenous (IV) line is inserted into a vein, usually in the arm, to administer the contrast dye.
  3. The patient is moved into the CT scanner, which is a large, doughnut-shaped machine.
  4. The contrast dye is injected through the IV line, and the patient may feel a warm sensation as the dye travels through their body.
  5. The CT scanner takes a series of X-ray images from different angles, which are then processed by a computer to create detailed cross-sectional images.
  6. The entire procedure usually takes about 30 to 60 minutes, including the time needed for the contrast dye to circulate through the body.

During the scan, it is important for the patient to remain still to ensure clear and accurate images. The radiologist may ask the patient to hold their breath briefly during certain parts of the scan.

Interpreting CT Scan IVP Results

After the CT Scan IVP, the radiologist will review the images to identify any abnormalities in the urinary system. The results are typically available within a few hours to a few days, depending on the facility. The radiologist will provide a report to the referring physician, who will then discuss the findings with the patient.

Some common findings from a CT Scan IVP include:

  • Kidney stones or other obstructions in the urinary tract.
  • Tumors or cysts in the kidneys, ureters, or bladder.
  • Infections or inflammation in the urinary system.
  • Structural abnormalities, such as congenital defects or injuries.

If any abnormalities are detected, further testing or treatment may be recommended based on the specific findings.

Risks and Complications

While a CT Scan IVP is generally safe, there are some potential risks and complications to be aware of:

  • Allergic reactions to the contrast dye, which can range from mild (such as itching or rash) to severe (such as anaphylaxis).
  • Kidney damage, especially in patients with pre-existing kidney problems, due to the contrast dye.
  • Exposure to radiation, which is minimized by using the lowest effective dose of X-rays.

Patients should inform their healthcare provider about any allergies or medical conditions that could increase the risk of complications.

Benefits of a CT Scan IVP

The benefits of a CT Scan IVP include:

  • High-resolution images that provide detailed views of the urinary system.
  • Early detection of abnormalities, allowing for timely intervention and treatment.
  • Non-invasive procedure that does not require surgery or extensive preparation.
  • Quick and relatively painless, with minimal discomfort from the IV line and contrast dye.

Overall, a CT Scan IVP is a valuable diagnostic tool that can help healthcare providers make accurate diagnoses and develop effective treatment plans.

Alternative Imaging Techniques

While a CT Scan IVP is a highly effective diagnostic tool, there are alternative imaging techniques that may be used depending on the specific needs of the patient:

  • Ultrasound: Uses sound waves to create images of the urinary system, particularly useful for detecting kidney stones or cysts.
  • Magnetic Resonance Imaging (MRI): Provides detailed images without the use of radiation or contrast dye, making it a good option for patients with allergies or kidney problems.
  • Intravenous Urography (IVU): Similar to a CT Scan IVP, but uses traditional X-rays instead of CT technology. It is less commonly used due to the availability of CT scans.

Each of these techniques has its own advantages and limitations, and the choice of imaging method will depend on the patient's specific condition and the recommendations of their healthcare provider.

Patient Experience and Comfort

Undergoing a CT Scan IVP can be a stressful experience for some patients, but there are several ways to enhance comfort and reduce anxiety:

  • Communicate openly with the healthcare team about any concerns or fears.
  • Follow the preparation instructions carefully to ensure a smooth procedure.
  • Bring a friend or family member for support, if allowed by the facility.
  • Ask about any available sedation options if anxiety is a significant concern.

Most patients find the procedure to be relatively quick and painless, with minimal discomfort from the IV line and contrast dye.

📝 Note: If you experience any unusual symptoms or discomfort after the procedure, contact your healthcare provider immediately.

Conclusion

A CT Scan IVP is a powerful diagnostic tool that provides detailed images of the urinary system, aiding in the detection and treatment of various conditions. By understanding the preparation, procedure, and potential risks, patients can approach this imaging technique with confidence. Whether used to diagnose kidney stones, tumors, or other abnormalities, a CT Scan IVP plays a crucial role in modern medical diagnostics, offering high-resolution images and early detection capabilities. For patients and healthcare providers alike, this procedure is an essential component of comprehensive medical care, ensuring accurate diagnoses and effective treatment plans.

Related Terms:

  • ct ivp vs kub
  • ct urogram vs ivp
  • ct ivp with contrast
  • ct ivp indications
  • ivp diagnostic test
  • ct ivp medical abbreviation
Facebook Twitter WhatsApp
Related Posts
Don't Miss