Learning

Critical Illness Myopathy

Critical Illness Myopathy
Critical Illness Myopathy

Critical Illness Myopathy (CIM) is a severe condition that affects patients who have been critically ill, often those who have spent extended periods in intensive care units (ICUs). This condition is characterized by muscle weakness and wasting, which can significantly impact a patient's recovery and quality of life. Understanding the causes, symptoms, diagnosis, and treatment options for CIM is crucial for healthcare providers and patients alike.

Understanding Critical Illness Myopathy

Critical Illness Myopathy is a neuromuscular disorder that develops in patients who have experienced severe illness or injury, often requiring prolonged mechanical ventilation and intensive care. The exact mechanisms behind CIM are not fully understood, but it is believed to be related to the body's inflammatory response to critical illness, as well as the use of certain medications, such as corticosteroids and neuromuscular blocking agents.

CIM is often diagnosed in patients who have been in the ICU for more than a week, although it can develop more quickly in some cases. The condition is more common in patients with sepsis, multiple organ failure, and those who have undergone major surgery. The muscle weakness associated with CIM can affect both proximal and distal muscles, making it difficult for patients to perform even basic activities, such as walking or sitting up in bed.

Symptoms of Critical Illness Myopathy

The primary symptom of Critical Illness Myopathy is muscle weakness, which can range from mild to severe. Other symptoms may include:

  • Difficulty moving or lifting limbs
  • Fatigue and exhaustion
  • Muscle wasting and atrophy
  • Difficulty swallowing or breathing
  • Joint pain and stiffness

These symptoms can significantly impact a patient's ability to participate in rehabilitation and recovery efforts, prolonging their stay in the ICU and increasing the risk of complications.

Diagnosing Critical Illness Myopathy

Diagnosing Critical Illness Myopathy can be challenging, as the symptoms can be similar to those of other neuromuscular disorders, such as Critical Illness Polyneuropathy (CIP). A thorough evaluation by a healthcare provider is essential to rule out other potential causes of muscle weakness. The diagnostic process may include:

  • Medical history and physical examination
  • Blood tests to check for electrolyte imbalances and other potential causes of muscle weakness
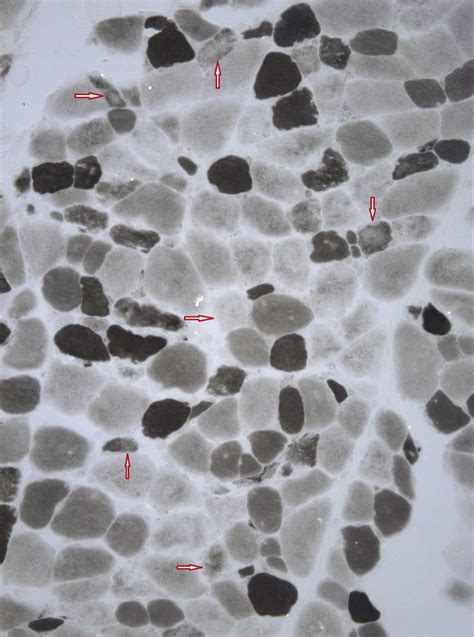
  • Electromyography (EMG) to assess muscle and nerve function
  • Muscle biopsy to examine muscle tissue for signs of damage or inflammation

In some cases, imaging studies, such as magnetic resonance imaging (MRI), may also be used to evaluate muscle structure and function.

Treatment Options for Critical Illness Myopathy

There is no cure for Critical Illness Myopathy, but early diagnosis and intervention can help improve outcomes and reduce the risk of complications. Treatment options may include:

  • Physical therapy and rehabilitation to improve muscle strength and function
  • Occupational therapy to help patients regain independence in daily activities
  • Nutritional support to promote muscle recovery and prevent further wasting
  • Medications to manage symptoms, such as pain or inflammation

In some cases, patients may require assistive devices, such as wheelchairs or walkers, to help them move around and perform daily activities. It is essential to work closely with a healthcare team to develop an individualized treatment plan that addresses the unique needs and goals of each patient.

Preventing Critical Illness Myopathy

While there is no guaranteed way to prevent Critical Illness Myopathy, there are several strategies that healthcare providers can use to reduce the risk of developing this condition. These may include:

  • Minimizing the use of corticosteroids and neuromuscular blocking agents, when possible
  • Providing early and aggressive nutritional support to critically ill patients
  • Encouraging early mobilization and physical therapy for ICU patients
  • Monitoring patients closely for signs of muscle weakness or other complications

By taking a proactive approach to patient care, healthcare providers can help reduce the incidence of Critical Illness Myopathy and improve outcomes for critically ill patients.

The Impact of Critical Illness Myopathy on Recovery

Critical Illness Myopathy can have a significant impact on a patient's recovery and quality of life. The muscle weakness and wasting associated with this condition can make it difficult for patients to participate in rehabilitation efforts, prolonging their stay in the ICU and increasing the risk of complications. In addition, the psychological impact of prolonged illness and disability can be significant, leading to depression, anxiety, and other mental health issues.

To support patients in their recovery from Critical Illness Myopathy, it is essential to provide comprehensive care that addresses both physical and psychological needs. This may include:

  • Physical therapy and rehabilitation to improve muscle strength and function
  • Occupational therapy to help patients regain independence in daily activities
  • Nutritional support to promote muscle recovery and prevent further wasting
  • Psychological support, such as counseling or therapy, to address mental health concerns

By taking a holistic approach to patient care, healthcare providers can help patients overcome the challenges of Critical Illness Myopathy and achieve the best possible outcomes.

Research and Future Directions

Research into Critical Illness Myopathy is ongoing, with scientists and healthcare providers working to better understand the underlying mechanisms of this condition and develop more effective treatments. Some areas of active research include:

  • The role of inflammation in the development of Critical Illness Myopathy
  • The potential benefits of early mobilization and physical therapy for critically ill patients
  • The use of novel therapies, such as stem cell therapy or gene therapy, to promote muscle recovery

As our understanding of Critical Illness Myopathy continues to evolve, it is hoped that new and more effective treatments will be developed, improving outcomes for patients and reducing the burden of this condition on healthcare systems.

📝 Note: While research into Critical Illness Myopathy is ongoing, it is essential to work closely with a healthcare team to develop an individualized treatment plan that addresses the unique needs and goals of each patient.

Critical Illness Myopathy is a complex and challenging condition that affects many critically ill patients. By understanding the causes, symptoms, diagnosis, and treatment options for this condition, healthcare providers can improve outcomes and support patients in their recovery. Through ongoing research and a holistic approach to patient care, it is hoped that new and more effective treatments will be developed, improving the lives of patients affected by Critical Illness Myopathy.

Related Terms:

  • icd 10 critical illness myopathy
  • critical illness myopathy treatment
  • critical illness myopathy definition
  • critical illness myopathy diagnosis criteria
  • critical illness myopathy icd10
  • critical illness myopathy emg
Facebook Twitter WhatsApp
Related Posts
Don't Miss