Learning

Craneofaringioma A Quien Afecta

Craneofaringioma A Quien Afecta
Craneofaringioma A Quien Afecta

Craneofaringioma, a rare and complex tumor, affects a specific region of the brain known as the craniopharyngioma. This tumor originates from remnants of the Rathke's pouch, a structure involved in the development of the pituitary gland. Understanding who is affected by craniopharyngioma is crucial for early detection, effective treatment, and improved quality of life for patients. This blog post delves into the demographics, symptoms, diagnosis, and treatment options for craniopharyngioma, providing a comprehensive overview of this condition.

What is Craneofaringioma?

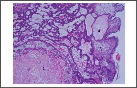
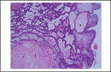
Craneofaringioma, also known as craniopharyngioma, is a benign tumor that develops near the pituitary gland at the base of the brain. Despite being benign, these tumors can cause significant health issues due to their location and potential to compress nearby structures. The tumor can affect various bodily functions, including vision, hormone regulation, and brain function.

Craneofaringioma A Quien Afecta

Craneofaringioma can affect individuals of all ages, but it is more commonly diagnosed in two distinct age groups: children and adults between the ages of 50 and 70. The tumor is relatively rare, with an incidence rate of approximately 0.13 cases per 100,000 people per year. Understanding the demographics of who is affected by craniopharyngioma is essential for healthcare providers to recognize the signs and symptoms early and initiate appropriate treatment.

Symptoms of Craneofaringioma

The symptoms of craniopharyngioma can vary depending on the size and location of the tumor. Common symptoms include:

  • Headaches
  • Vision problems, such as blurred vision or double vision
  • Nausea and vomiting
  • Fatigue
  • Changes in mood or behavior
  • Growth abnormalities in children, such as delayed puberty or short stature
  • Hormonal imbalances, leading to issues like diabetes insipidus or thyroid dysfunction

These symptoms can be subtle and may develop gradually, making early detection challenging. Regular medical check-ups and prompt evaluation of any persistent symptoms are crucial for timely diagnosis.

Diagnosis of Craneofaringioma

Diagnosing craniopharyngioma involves a combination of clinical evaluation, imaging studies, and laboratory tests. The diagnostic process typically includes:

  • Medical history and physical examination
  • Neurological assessment to evaluate vision, reflexes, and motor function
  • Imaging studies, such as magnetic resonance imaging (MRI) or computed tomography (CT) scans, to visualize the tumor and its location
  • Laboratory tests to assess hormone levels and identify any hormonal imbalances
  • Biopsy, in some cases, to confirm the diagnosis and determine the type of tumor

Early and accurate diagnosis is essential for effective treatment and management of craniopharyngioma. Healthcare providers may consult with specialists, including neurologists, endocrinologists, and neurosurgeons, to ensure a comprehensive evaluation.

Treatment Options for Craneofaringioma

The treatment of craniopharyngioma depends on various factors, including the size and location of the tumor, the patient’s age, and overall health. Common treatment options include:

  • Surgery: Surgical resection is often the primary treatment for craniopharyngioma. The goal is to remove as much of the tumor as possible while preserving nearby structures and minimizing complications. Techniques such as endoscopic surgery or craniotomy may be used.
  • Radiation therapy: Radiation therapy may be used as an adjunct to surgery or as a primary treatment for tumors that are not fully resectable. It helps to control tumor growth and reduce symptoms.
  • Medical management: Hormone replacement therapy may be necessary to address hormonal imbalances caused by the tumor or its treatment. Regular monitoring and adjustment of hormone levels are essential for maintaining overall health.

Each treatment option has its own set of risks and benefits, and the choice of treatment should be individualized based on the patient’s specific needs and preferences. A multidisciplinary approach involving a team of specialists is often recommended for optimal outcomes.

Prognosis and Long-Term Management

The prognosis for patients with craniopharyngioma varies depending on the size and location of the tumor, the extent of surgical resection, and the effectiveness of adjuvant therapies. Early detection and treatment generally lead to better outcomes. Long-term management of craniopharyngioma involves regular follow-up appointments, monitoring for tumor recurrence, and addressing any long-term complications, such as hormonal imbalances or vision problems.

Patients may require ongoing hormone replacement therapy and regular endocrine evaluations to manage hormonal imbalances. Vision rehabilitation and other supportive therapies may also be necessary to address long-term complications. A multidisciplinary approach, including input from neurologists, endocrinologists, and rehabilitation specialists, is crucial for comprehensive care and improved quality of life.

📝 Note: Long-term follow-up and regular monitoring are essential for managing craniopharyngioma and addressing any potential complications. Patients should work closely with their healthcare team to develop a personalized care plan.

Support and Resources for Patients and Families

Living with craniopharyngioma can be challenging for patients and their families. Access to support and resources can make a significant difference in coping with the diagnosis and treatment. Support groups, educational materials, and online communities can provide valuable information, emotional support, and practical advice. Healthcare providers can offer referrals to local support groups and resources tailored to the needs of patients and their families.

Engaging with support groups and online communities can help patients and families connect with others who have similar experiences, share insights, and gain a sense of community. Educational materials and resources can provide valuable information about craniopharyngioma, treatment options, and long-term management strategies. Healthcare providers play a crucial role in guiding patients and their families toward these resources and ensuring they receive the support they need.

In addition to support groups and educational materials, patients and families may benefit from counseling and psychological support to address the emotional and psychological aspects of living with craniopharyngioma. Healthcare providers can offer referrals to mental health professionals who specialize in working with patients with chronic illnesses and their families.

Regular follow-up appointments and open communication with healthcare providers are essential for addressing any concerns or questions that may arise during the treatment and management of craniopharyngioma. Patients and families should feel empowered to ask questions, seek clarification, and actively participate in decision-making processes related to their care.

In conclusion, craniopharyngioma is a rare but significant condition that affects individuals of all ages, with a higher incidence in children and adults between the ages of 50 and 70. Understanding the demographics, symptoms, diagnosis, and treatment options for craniopharyngioma is crucial for early detection, effective management, and improved quality of life for patients. Regular follow-up, comprehensive care, and access to support resources are essential for addressing the challenges associated with this condition. By working closely with healthcare providers and utilizing available resources, patients and their families can navigate the complexities of craniopharyngioma and achieve the best possible outcomes.

Related Terms:

  • craneofaringioma
  • Related searches que es craneofaringioma
Facebook Twitter WhatsApp
Related Posts
Don't Miss