Learning

Covid Pneumonia Icd 10

Covid Pneumonia Icd 10
Covid Pneumonia Icd 10

Understanding the intricacies of medical coding, particularly in the context of respiratory diseases, is crucial for healthcare professionals and administrators. One of the most significant developments in recent years has been the emergence of Covid Pneumonia Icd 10 coding, which has become a critical aspect of managing and tracking the pandemic. This blog post will delve into the specifics of Covid Pneumonia Icd 10 coding, its importance, and how it fits into the broader landscape of medical coding and healthcare management.

Understanding ICD-10 Coding

ICD-10, or the International Classification of Diseases, 10th Revision, is a globally used diagnostic tool for epidemiology, health management, and clinical purposes. It provides a standardized way to classify and code diseases, symptoms, and other health conditions. The ICD-10 system is divided into two main parts: ICD-10-CM (Clinical Modification) for diagnosis and ICD-10-PCS (Procedure Coding System) for inpatient procedures.

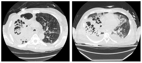
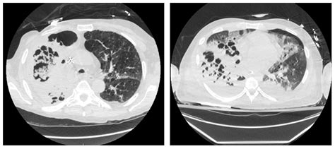
ICD-10-CM is particularly relevant for coding respiratory diseases, including pneumonia. Pneumonia, an inflammation of the lungs often caused by infection, can be classified into various types based on the causative agent, such as bacterial, viral, or fungal pneumonia. The coding system helps in accurately documenting and tracking these conditions, which is essential for public health surveillance and treatment planning.

The Emergence of Covid Pneumonia Icd 10

With the onset of the COVID-19 pandemic, the need for specific coding for COVID-19-related conditions became apparent. The World Health Organization (WHO) and other health organizations quickly adapted the ICD-10 system to include codes for COVID-19 and its complications, including Covid Pneumonia Icd 10. This adaptation was crucial for tracking the spread of the virus, understanding its impact on different populations, and allocating resources effectively.

The specific code for COVID-19 pneumonia is U07.1, which is used to indicate a confirmed diagnosis of COVID-19 with pneumonia. This code is part of a broader set of codes introduced to capture the various manifestations and complications of COVID-19. Accurate coding of Covid Pneumonia Icd 10 is essential for several reasons:

  • Public Health Surveillance: Accurate coding helps public health officials monitor the spread of the disease and identify hotspots.
  • Resource Allocation: It aids in the allocation of medical resources, such as ventilators and ICU beds, to areas with the highest need.
  • Treatment Planning: It assists healthcare providers in developing treatment plans and understanding the progression of the disease.
  • Research and Development: It supports research efforts aimed at developing vaccines and treatments for COVID-19.

Importance of Accurate Covid Pneumonia Icd 10 Coding

Accurate coding of Covid Pneumonia Icd 10 is not just a administrative task; it has significant implications for patient care and public health. Here are some key points to consider:

  • Patient Care: Accurate coding ensures that patients receive the appropriate treatment and that their medical records are complete and accurate. This is particularly important for patients with COVID-19 pneumonia, who may require specialized care and monitoring.
  • Reimbursement: Accurate coding is essential for reimbursement purposes. Healthcare providers rely on accurate coding to bill insurers and receive payment for services rendered. Incorrect coding can lead to delays in payment or even denial of claims.
  • Public Health Reporting: Accurate coding is crucial for public health reporting. It helps health officials track the spread of the disease, identify trends, and develop strategies to control the pandemic.
  • Research: Accurate coding supports research efforts by providing a reliable dataset for analyzing the disease's impact and developing new treatments.

Challenges in Covid Pneumonia Icd 10 Coding

While the introduction of Covid Pneumonia Icd 10 coding has been a significant step forward, it is not without its challenges. Some of the key challenges include:

  • Complexity: The ICD-10 system is complex, and coding for COVID-19 pneumonia requires a thorough understanding of the system. Healthcare providers and coders need to be trained to ensure accurate coding.
  • Rapidly Evolving Knowledge: The understanding of COVID-19 is continually evolving, and new information may require updates to the coding system. Keeping up with these changes can be challenging.
  • Variability in Symptoms: COVID-19 can present with a wide range of symptoms, and not all patients with COVID-19 will develop pneumonia. Accurate coding requires a nuanced understanding of the disease's presentation.
  • Data Quality: The accuracy of Covid Pneumonia Icd 10 coding depends on the quality of the data entered into the system. Incomplete or inaccurate data can lead to errors in coding and reporting.

📝 Note: Ensuring the accuracy of Covid Pneumonia Icd 10 coding requires a multidisciplinary approach involving healthcare providers, coders, and public health officials. Regular training and updates are essential to maintain the integrity of the coding system.

Best Practices for Covid Pneumonia Icd 10 Coding

To overcome the challenges and ensure accurate Covid Pneumonia Icd 10 coding, healthcare providers and coders can follow these best practices:

  • Training and Education: Regular training and education on the ICD-10 system and Covid Pneumonia Icd 10 coding are essential. This includes understanding the latest updates and guidelines from health organizations.
  • Standardized Protocols: Developing standardized protocols for coding COVID-19 pneumonia can help ensure consistency and accuracy. These protocols should be regularly reviewed and updated.
  • Data Quality: Ensuring high-quality data entry is crucial. This includes verifying the accuracy of patient information, symptoms, and test results before coding.
  • Collaboration: Collaboration between healthcare providers, coders, and public health officials can help identify and address coding challenges. Regular communication and feedback are essential.
  • Technology: Leveraging technology, such as electronic health records (EHRs) and coding software, can improve the accuracy and efficiency of Covid Pneumonia Icd 10 coding. These tools can automate some aspects of coding and reduce the risk of errors.

Future of Covid Pneumonia Icd 10 Coding

The future of Covid Pneumonia Icd 10 coding will likely involve continued adaptation and improvement. As our understanding of COVID-19 evolves, so too will the coding system. Health organizations will continue to update the ICD-10 system to reflect new knowledge and best practices. Healthcare providers and coders will need to stay informed and adapt to these changes to ensure accurate and effective coding.

In addition, the lessons learned from the COVID-19 pandemic will likely influence the development of future coding systems. There may be a greater emphasis on flexibility and adaptability, allowing for quicker responses to emerging health threats. Technology will also play a more significant role, with advancements in artificial intelligence and machine learning potentially automating some aspects of coding and improving accuracy.

Covid Pneumonia Icd 10 Coding in Different Healthcare Settings

The application of Covid Pneumonia Icd 10 coding varies across different healthcare settings. Here is a brief overview of how it is used in various settings:

  • Hospitals: In hospitals, Covid Pneumonia Icd 10 coding is crucial for tracking the spread of the disease, allocating resources, and ensuring accurate billing and reimbursement. Hospitals often have dedicated coding teams that work closely with healthcare providers to ensure accurate coding.
  • Clinics and Outpatient Settings: In clinics and outpatient settings, Covid Pneumonia Icd 10 coding is used to document patient visits, track symptoms, and support public health reporting. Accurate coding is essential for billing and reimbursement in these settings as well.
  • Public Health Agencies: Public health agencies use Covid Pneumonia Icd 10 coding to monitor the spread of the disease, identify trends, and develop strategies to control the pandemic. Accurate coding is crucial for public health surveillance and reporting.
  • Research Institutions: Research institutions use Covid Pneumonia Icd 10 coding to analyze data and develop new treatments and vaccines. Accurate coding supports research efforts by providing a reliable dataset.

Covid Pneumonia Icd 10 Coding and Public Health Surveillance

Public health surveillance is a critical component of managing the COVID-19 pandemic. Covid Pneumonia Icd 10 coding plays a vital role in this process by providing accurate and timely data on the spread of the disease. Here are some key aspects of how Covid Pneumonia Icd 10 coding supports public health surveillance:

  • Disease Tracking: Accurate coding helps track the spread of COVID-19 pneumonia, identifying hotspots and areas of concern. This information is essential for developing strategies to control the pandemic.
  • Resource Allocation: Covid Pneumonia Icd 10 coding supports the allocation of medical resources, such as ventilators and ICU beds, to areas with the highest need. This ensures that resources are used effectively and efficiently.
  • Public Health Reporting: Accurate coding is crucial for public health reporting. It helps health officials monitor the spread of the disease, identify trends, and develop strategies to control the pandemic.
  • Research and Development: Covid Pneumonia Icd 10 coding supports research efforts by providing a reliable dataset for analyzing the disease’s impact and developing new treatments.

📝 Note: Effective public health surveillance requires accurate and timely data. Covid Pneumonia Icd 10 coding is a critical component of this process, providing the data needed to track the spread of the disease and develop effective strategies to control it.

Covid Pneumonia Icd 10 Coding and Reimbursement

Accurate Covid Pneumonia Icd 10 coding is essential for reimbursement purposes. Healthcare providers rely on accurate coding to bill insurers and receive payment for services rendered. Incorrect coding can lead to delays in payment or even denial of claims. Here are some key aspects of how Covid Pneumonia Icd 10 coding supports reimbursement:

  • Billing and Claims: Accurate coding ensures that healthcare providers can bill insurers correctly and receive payment for services rendered. This is particularly important for COVID-19 pneumonia, which may require specialized care and monitoring.
  • Reimbursement Rates: Accurate coding can affect reimbursement rates. Incorrect coding can lead to lower reimbursement rates or even denial of claims, impacting the financial health of healthcare providers.
  • Compliance: Accurate coding is essential for compliance with regulatory requirements. Healthcare providers must ensure that their coding practices comply with all relevant regulations to avoid penalties and legal issues.
  • Data Quality: The accuracy of Covid Pneumonia Icd 10 coding depends on the quality of the data entered into the system. Incomplete or inaccurate data can lead to errors in coding and reimbursement.

Covid Pneumonia Icd 10 Coding and Patient Care

Accurate Covid Pneumonia Icd 10 coding is crucial for patient care. It ensures that patients receive the appropriate treatment and that their medical records are complete and accurate. Here are some key aspects of how Covid Pneumonia Icd 10 coding supports patient care:

  • Treatment Planning: Accurate coding helps healthcare providers develop treatment plans tailored to the patient’s specific needs. This is particularly important for patients with COVID-19 pneumonia, who may require specialized care and monitoring.
  • Medical Records: Accurate coding ensures that patient medical records are complete and accurate. This is essential for continuity of care and for tracking the patient’s progress over time.
  • Public Health Reporting: Accurate coding supports public health reporting, helping health officials monitor the spread of the disease and develop strategies to control the pandemic.
  • Research: Accurate coding supports research efforts by providing a reliable dataset for analyzing the disease’s impact and developing new treatments.

Covid Pneumonia Icd 10 Coding and Research

Accurate Covid Pneumonia Icd 10 coding is essential for research efforts aimed at understanding the disease and developing new treatments. Here are some key aspects of how Covid Pneumonia Icd 10 coding supports research:

  • Data Analysis: Accurate coding provides a reliable dataset for analyzing the disease’s impact and developing new treatments. This is crucial for research efforts aimed at understanding the disease and developing new treatments.
  • Public Health Reporting: Accurate coding supports public health reporting, helping health officials monitor the spread of the disease and develop strategies to control the pandemic.
  • Treatment Development: Accurate coding supports the development of new treatments by providing a reliable dataset for analyzing the disease’s impact and developing new treatments.
  • Data Quality: The accuracy of Covid Pneumonia Icd 10 coding depends on the quality of the data entered into the system. Incomplete or inaccurate data can lead to errors in coding and research.

Covid Pneumonia Icd 10 Coding and Technology

Technology plays a crucial role in Covid Pneumonia Icd 10 coding. Advancements in electronic health records (EHRs) and coding software can improve the accuracy and efficiency of coding. Here are some key aspects of how technology supports Covid Pneumonia Icd 10 coding:

  • Electronic Health Records (EHRs): EHRs can automate some aspects of coding and reduce the risk of errors. They provide a centralized repository of patient data, making it easier to access and code accurately.
  • Coding Software: Coding software can automate some aspects of coding and reduce the risk of errors. It can also provide real-time feedback and suggestions, improving the accuracy of coding.
  • Artificial Intelligence (AI): AI can analyze large datasets and identify patterns, improving the accuracy of coding. It can also provide real-time feedback and suggestions, improving the efficiency of coding.
  • Machine Learning (ML): ML can learn from past coding data and improve the accuracy of future coding. It can also identify trends and patterns, supporting public health surveillance and research.

Covid Pneumonia Icd 10 Coding and Training

Training and education are essential for accurate Covid Pneumonia Icd 10 coding. Healthcare providers and coders need to be trained to ensure accurate coding. Here are some key aspects of how training supports Covid Pneumonia Icd 10 coding:

  • Regular Training: Regular training and education on the ICD-10 system and Covid Pneumonia Icd 10 coding are essential. This includes understanding the latest updates and guidelines from health organizations.
  • Standardized Protocols: Developing standardized protocols for coding COVID-19 pneumonia can help ensure consistency and accuracy. These protocols should be regularly reviewed and updated.
  • Data Quality: Ensuring high-quality data entry is crucial. This includes verifying the accuracy of patient information, symptoms, and test results before coding.
  • Collaboration: Collaboration between healthcare providers, coders, and public health officials can help identify and address coding challenges. Regular communication and feedback are essential.

Covid Pneumonia Icd 10 Coding and Collaboration

Collaboration is key to accurate Covid Pneumonia Icd 10 coding. Healthcare providers, coders, and public health officials need to work together to ensure accurate coding. Here are some key aspects of how collaboration supports Covid Pneumonia Icd 10 coding:

  • Regular Communication: Regular communication between healthcare providers, coders, and public health officials can help identify and address coding challenges. This includes sharing best practices and providing feedback.
  • Feedback Loops: Establishing feedback loops can help improve the accuracy of coding. This includes providing feedback on coding practices and making necessary adjustments.
  • Standardized Protocols: Developing standardized protocols for coding COVID-19 pneumonia can help ensure consistency and accuracy. These protocols should be regularly reviewed and updated.
  • Data Quality: Ensuring high-quality data entry is crucial. This includes verifying the accuracy of patient information, symptoms, and test results before coding.

Covid Pneumonia Icd 10 Coding and Data Quality

Data quality is crucial for accurate Covid Pneumonia Icd 10 coding. Incomplete or inaccurate data can lead to errors in coding and reporting. Here are some key aspects of how data quality supports Covid Pneumonia Icd 10 coding:

  • Accurate Data Entry: Ensuring accurate data entry is crucial. This includes verifying the accuracy of patient information, symptoms, and test results before coding.
  • Regular Audits: Regular audits of coding practices can help identify and address errors. This includes reviewing coded data and making necessary adjustments.
  • Feedback Loops: Establishing feedback loops can help improve the accuracy of coding. This includes providing feedback on coding practices and making necessary adjustments.
  • Standardized Protocols: Developing standardized protocols for coding COVID-19 pneumonia can help ensure consistency and accuracy. These protocols should be regularly reviewed and updated.

The future of Covid Pneumonia Icd 10 coding will likely involve continued adaptation and improvement. As our understanding of COVID-19 evolves, so too will the coding system. Here are some key trends to watch for:

  • Adaptability: There may be a greater emphasis on flexibility and adaptability, allowing for quicker responses to emerging health threats. This includes updating the coding system to reflect new knowledge and best practices.
  • Technology: Advancements in technology, such as artificial intelligence and machine learning, will play a more significant role in coding. These tools can automate some aspects of coding and improve accuracy.
  • Collaboration: Collaboration between healthcare providers, coders, and public health officials will continue to be essential. Regular communication and feedback will help identify and address coding challenges.
  • Data Quality: Ensuring high-quality data entry will remain crucial. This includes verifying the accuracy of patient information, symptoms, and test results before coding.

📝 Note: The future of

Related Terms:

  • icd 10 code pneumonia
  • coronavirus pneumonia icd 10
  • icd code for covid pneumonia
  • icd 10 code covid pneumonia
  • covid viral pneumonia icd 10
  • icd 10 covid 2019 pneumonia
Facebook Twitter WhatsApp
Related Posts
Don't Miss