Learning

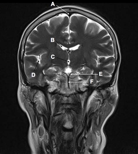
Coronal View Of Brain

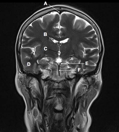
Coronal View Of Brain
Coronal View Of Brain

Understanding the intricacies of the human brain is a complex yet fascinating endeavor. One of the most revealing perspectives in neuroimaging is the coronal view of the brain. This view provides a cross-sectional image that cuts through the brain from front to back, offering insights into the brain's structure and function that are not readily apparent from other angles.

What is a Coronal View of the Brain?

The coronal view of the brain is a vertical slice that divides the brain into front and back sections. This view is particularly useful for visualizing the brain's internal structures, such as the ventricles, the corpus callosum, and various lobes. By examining the brain in this orientation, neurologists and researchers can gain a deeper understanding of how different regions of the brain interact and function.

Importance of the Coronal View in Neuroimaging

The coronal view is crucial in neuroimaging for several reasons:

  • Detailed Structural Analysis: It allows for a detailed examination of the brain's internal structures, helping to identify abnormalities such as tumors, cysts, or atrophy.
  • Functional Insights: By correlating the coronal view with functional imaging techniques, researchers can understand how different brain regions contribute to various cognitive and motor functions.
  • Diagnostic Accuracy: This view is essential for diagnosing conditions like hydrocephalus, where the ventricles are enlarged, and for planning surgical interventions.

Key Structures Visible in the Coronal View

The coronal view reveals several key structures within the brain. Some of the most important ones include:

  • Ventricles: These are fluid-filled cavities within the brain that help cushion and protect it. The lateral ventricles, third ventricle, and fourth ventricle are all visible in the coronal view.
  • Corpus Callosum: This is a thick band of nerve fibers that connects the left and right hemispheres of the brain, facilitating communication between them.
  • Lobes of the Brain: The frontal, parietal, temporal, and occipital lobes can be clearly seen in the coronal view, each responsible for different functions such as motor control, sensory processing, language, and vision.

Clinical Applications of the Coronal View

The coronal view of the brain has numerous clinical applications, making it an indispensable tool in neurology and neurosurgery. Some of the key applications include:

  • Diagnosis of Brain Tumors: The coronal view helps in identifying the location, size, and extent of brain tumors, which is crucial for planning treatment strategies.
  • Evaluation of Stroke Damage: By examining the coronal view, neurologists can assess the extent of damage caused by a stroke and plan rehabilitation strategies.
  • Assessment of Neurodegenerative Diseases: Conditions like Alzheimer's disease and Parkinson's disease can be evaluated by examining the atrophy and structural changes visible in the coronal view.

Technological Advances in Coronal View Imaging

Advances in medical imaging technology have significantly enhanced the quality and detail of coronal view images. Some of the key technologies include:

  • Magnetic Resonance Imaging (MRI): MRI provides high-resolution images of the brain's soft tissues, making it ideal for detailed structural analysis.
  • Computed Tomography (CT) Scans: CT scans offer quick and detailed images of the brain, useful for emergency situations where speed is crucial.
  • Functional MRI (fMRI): fMRI combines structural imaging with functional data, allowing researchers to see which parts of the brain are active during specific tasks.

📌 Note: While MRI and CT scans are the most commonly used techniques, other advanced imaging methods like positron emission tomography (PET) and single-photon emission computed tomography (SPECT) also provide valuable insights into brain function and metabolism.

Interpreting Coronal View Images

Interpreting coronal view images requires a deep understanding of brain anatomy and pathology. Here are some key points to consider:

  • Symmetry: The brain is generally symmetrical, so any asymmetry in the coronal view may indicate an abnormality.
  • Ventricle Size: Enlarged ventricles can indicate conditions like hydrocephalus or atrophy.
  • White Matter Lesions: These can be signs of conditions like multiple sclerosis or small vessel disease.

To better understand the coronal view, consider the following table that outlines some common findings and their potential implications:

Finding Potential Implications
Enlarged Ventricles Hydrocephalus, Atrophy
Mass Lesions Tumors, Abscesses
White Matter Lesions Multiple Sclerosis, Small Vessel Disease
Asymmetry Space-Occupying Lesions, Congenital Anomalies

Case Studies and Examples

To illustrate the practical applications of the coronal view, let's examine a few case studies:

  • Case Study 1: Brain Tumor Diagnosis
    • A patient presents with headaches and seizures. An MRI scan in the coronal view reveals a mass lesion in the frontal lobe. Further investigation confirms a glioma, a type of brain tumor.
  • Case Study 2: Stroke Evaluation
    • A patient experiences sudden weakness on one side of the body. A CT scan in the coronal view shows an infarct in the parietal lobe, indicating a stroke. The extent of the damage helps in planning rehabilitation.
  • Case Study 3: Neurodegenerative Disease
    • A patient with progressive memory loss undergoes an MRI scan. The coronal view shows significant atrophy in the temporal lobes, suggestive of Alzheimer's disease.

Future Directions in Coronal View Imaging

The field of neuroimaging is continually evolving, with new technologies and techniques enhancing our ability to visualize and understand the brain. Future directions in coronal view imaging include:

  • Advanced MRI Techniques: Techniques like diffusion tensor imaging (DTI) and arterial spin labeling (ASL) provide even more detailed information about brain structure and function.
  • Artificial Intelligence: AI algorithms can analyze coronal view images to detect subtle abnormalities that may be missed by human observers.
  • Multimodal Imaging: Combining coronal view images with other imaging modalities, such as electroencephalography (EEG) and magnetoencephalography (MEG), can provide a more comprehensive understanding of brain function.

As these technologies advance, the coronal view of the brain will continue to be a vital tool in neuroscience and clinical practice, offering deeper insights into the complexities of the human brain.

In summary, the coronal view of the brain is an essential perspective in neuroimaging, providing detailed structural and functional insights. Its applications range from diagnosing brain tumors and evaluating stroke damage to assessing neurodegenerative diseases. With advancements in imaging technology and AI, the coronal view will remain a cornerstone in our quest to understand and treat neurological conditions.

Related Terms:

  • coronal view of brain labeled
  • sagittal view of brain
  • coronal view of brain mri
  • different views of the brain
  • horizontal view of brain
  • axial view of brain
Facebook Twitter WhatsApp
Related Posts
Don't Miss