Learning

Condyloma Lata Vs Acuminata

Condyloma Lata Vs Acuminata
Condyloma Lata Vs Acuminata

Understanding the differences between *Condyloma Lata* and *Condyloma Acuminata* is crucial for anyone dealing with these conditions. Both are types of genital warts caused by the human papillomavirus (HPV), but they have distinct characteristics, symptoms, and treatment options. This blog post aims to provide a comprehensive overview of *Condyloma Lata vs Acuminata*, helping readers identify and manage these conditions effectively.

Understanding Condyloma Lata

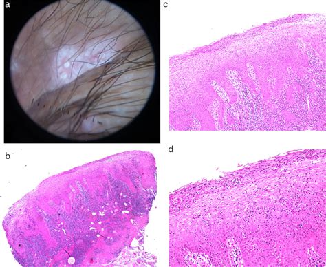
*Condyloma Lata* is a type of genital wart caused by HPV types 1 and 2. These warts are typically flat, smooth, and can be flesh-colored or slightly pink. They often appear in clusters and can be found on the genitals, anus, or surrounding areas. Unlike other types of genital warts, *Condyloma Lata* is highly contagious and can spread easily through sexual contact.

Symptoms of *Condyloma Lata* may include:

  • Flat, smooth warts
  • Flesh-colored or slightly pink
  • Appearance in clusters
  • Itching or discomfort in the affected area

Diagnosis of *Condyloma Lata* usually involves a visual examination by a healthcare provider. In some cases, a biopsy may be performed to confirm the diagnosis. Treatment options include topical creams, cryotherapy, and surgical removal. It is important to note that while treatment can remove the warts, it does not cure the underlying HPV infection.

Understanding Condyloma Acuminata

*Condyloma Acuminata*, also known as genital warts, are caused by various types of HPV, including types 6 and 11. These warts are typically raised, cauliflower-like, and can be flesh-colored, white, or pink. They can appear on the genitals, anus, or surrounding areas and are highly contagious. *Condyloma Acuminata* can cause significant discomfort and may lead to complications if left untreated.

Symptoms of *Condyloma Acuminata* may include:

  • Raised, cauliflower-like warts
  • Flesh-colored, white, or pink
  • Appearance on the genitals, anus, or surrounding areas
  • Itching, burning, or discomfort
  • Bleeding during sexual activity

Diagnosis of *Condyloma Acuminata* is typically made through a visual examination. In some cases, a biopsy may be performed to confirm the diagnosis. Treatment options include topical creams, cryotherapy, laser therapy, and surgical removal. As with *Condyloma Lata*, treatment can remove the warts but does not cure the underlying HPV infection.

Comparing Condyloma Lata Vs Acuminata

While both *Condyloma Lata* and *Condyloma Acuminata* are types of genital warts caused by HPV, they have several key differences. Understanding these differences can help in identifying and managing the conditions effectively.

Feature Condyloma Lata Condyloma Acuminata
Appearance Flat, smooth, flesh-colored or slightly pink Raised, cauliflower-like, flesh-colored, white, or pink
Causative HPV Types Types 1 and 2 Types 6 and 11
Symptoms Itching or discomfort Itching, burning, discomfort, bleeding during sexual activity
Diagnosis Visual examination, biopsy if necessary Visual examination, biopsy if necessary
Treatment Topical creams, cryotherapy, surgical removal Topical creams, cryotherapy, laser therapy, surgical removal

It is important to note that while both conditions are caused by HPV, they have different causative types. *Condyloma Lata* is caused by types 1 and 2, while *Condyloma Acuminata* is caused by types 6 and 11. This difference can affect the choice of treatment and the likelihood of recurrence.

📌 Note: Always consult a healthcare provider for an accurate diagnosis and appropriate treatment plan.

Prevention and Management

Preventing the spread of *Condyloma Lata* and *Condyloma Acuminata* involves several key strategies. These include:

  • Practicing safe sex by using condoms and dental dams
  • Avoiding sexual contact with individuals who have visible warts
  • Getting vaccinated against HPV
  • Regularly checking for any changes in the genital area
  • Seeking medical attention if any symptoms arise

Management of these conditions involves a combination of medical treatment and lifestyle changes. Regular follow-ups with a healthcare provider are essential to monitor the condition and adjust treatment as needed. It is also important to inform sexual partners about the condition to prevent further spread.

In addition to medical treatment, maintaining a healthy lifestyle can help boost the immune system and reduce the risk of recurrence. This includes:

  • Eating a balanced diet rich in fruits and vegetables
  • Getting regular exercise
  • Avoiding smoking and excessive alcohol consumption
  • Managing stress levels

While there is no cure for the underlying HPV infection, managing the symptoms and preventing the spread of the virus can significantly improve quality of life.

In conclusion, understanding the differences between Condyloma Lata vs Acuminata is essential for effective management and prevention. Both conditions are caused by HPV and can lead to significant discomfort if left untreated. By recognizing the symptoms, seeking appropriate medical care, and practicing safe sex, individuals can manage these conditions and reduce the risk of complications. Regular follow-ups and a healthy lifestyle can also play a crucial role in preventing recurrence and improving overall health.

Related Terms:

  • condyloma acuminata anus
  • condyloma lata photos
  • condyloma acuminatum male
  • condyloma acuminatum of anus
  • condyloma acuminatum vs acuminata
  • causes of condyloma acuminata
Facebook Twitter WhatsApp
Related Posts
Don't Miss