Learning

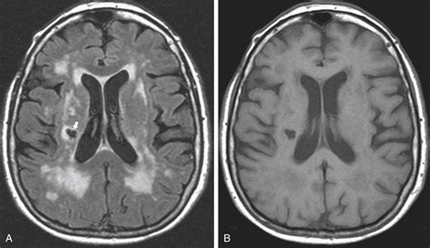
Chronic Microvascular Ischemic Changes

Chronic Microvascular Ischemic Changes
Chronic Microvascular Ischemic Changes

Chronic microvascular ischemic changes are a significant concern in the field of cardiovascular health. These changes refer to the long-term effects of reduced blood flow to small blood vessels, which can lead to a variety of health complications. Understanding the causes, symptoms, and management strategies for chronic microvascular ischemic changes is crucial for both healthcare providers and patients.

Understanding Chronic Microvascular Ischemic Changes

Chronic microvascular ischemic changes occur when the small blood vessels in the body, known as microvessels, experience a sustained reduction in blood flow. This can happen due to various factors, including atherosclerosis, diabetes, and hypertension. Over time, these changes can lead to tissue damage and organ dysfunction.

Microvessels play a critical role in maintaining the health of tissues and organs. They supply oxygen and nutrients to cells and remove waste products. When blood flow to these vessels is compromised, the affected tissues can become ischemic, meaning they do not receive enough oxygen and nutrients to function properly.

Causes of Chronic Microvascular Ischemic Changes

The causes of chronic microvascular ischemic changes are multifaceted and can be influenced by several factors:

  • Atherosclerosis: The buildup of plaque in the arteries can narrow the blood vessels, reducing blood flow to the microvessels.
  • Diabetes: High blood sugar levels can damage the small blood vessels, leading to microvascular complications.
  • Hypertension: High blood pressure can put excessive strain on the blood vessels, causing them to narrow and harden over time.
  • Smoking: Tobacco use can damage the lining of the blood vessels, leading to reduced blood flow and increased risk of ischemic changes.
  • Obesity: Excess weight can contribute to inflammation and oxidative stress, which can damage the microvessels.

Symptoms of Chronic Microvascular Ischemic Changes

The symptoms of chronic microvascular ischemic changes can vary depending on the affected organs and the severity of the condition. Common symptoms include:

  • Fatigue: Persistent tiredness and lack of energy.
  • Shortness of Breath: Difficulty breathing, especially during physical activity.
  • Chest Pain: Discomfort or pain in the chest, which may radiate to the arms, neck, or jaw.
  • Numbness or Tingling: Sensations of numbness or tingling in the extremities.
  • Cognitive Impairment: Difficulty with memory, concentration, and other cognitive functions.

In some cases, chronic microvascular ischemic changes may not cause any noticeable symptoms until the condition has progressed significantly. Regular medical check-ups and screenings can help detect these changes early.

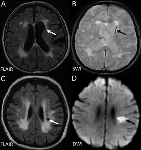
Diagnosing Chronic Microvascular Ischemic Changes

Diagnosing chronic microvascular ischemic changes involves a combination of medical history, physical examination, and diagnostic tests. Some of the common diagnostic methods include:

  • Blood Tests: To check for markers of inflammation, blood sugar levels, and cholesterol levels.
  • Imaging Tests: Such as ultrasound, CT scans, and MRI to visualize the blood vessels and assess blood flow.
  • Stress Tests: To evaluate how the heart responds to physical exertion.
  • Angiography: A procedure that uses X-rays and a special dye to visualize the blood vessels.

Early diagnosis is crucial for effective management and prevention of further complications. Healthcare providers may also recommend additional tests based on the patient's symptoms and medical history.

Managing Chronic Microvascular Ischemic Changes

Managing chronic microvascular ischemic changes involves a multidisciplinary approach that includes lifestyle modifications, medications, and in some cases, surgical interventions. The goal is to improve blood flow, reduce symptoms, and prevent further damage to the microvessels.

Lifestyle Modifications

Lifestyle changes are often the first line of defense against chronic microvascular ischemic changes. Some key modifications include:

  • Healthy Diet: Consuming a balanced diet rich in fruits, vegetables, whole grains, and lean proteins.
  • Regular Exercise: Engaging in regular physical activity to improve cardiovascular health.
  • Smoking Cessation: Quitting smoking to reduce the risk of further damage to the blood vessels.
  • Weight Management: Maintaining a healthy weight to reduce the strain on the cardiovascular system.

Medications

Medications play a crucial role in managing chronic microvascular ischemic changes. Some commonly prescribed medications include:

  • Antiplatelet Agents: To prevent blood clots and improve blood flow.
  • Statins: To lower cholesterol levels and reduce the risk of atherosclerosis.
  • Antihypertensive Drugs: To control high blood pressure and reduce strain on the blood vessels.
  • Antidiabetic Medications: To manage blood sugar levels in patients with diabetes.

Surgical Interventions

In some cases, surgical interventions may be necessary to manage chronic microvascular ischemic changes. These procedures aim to restore blood flow and improve the function of the affected organs. Some common surgical interventions include:

  • Angioplasty: A procedure to widen narrowed or blocked arteries using a balloon catheter.
  • Stent Placement: Inserting a small mesh tube to keep the artery open after angioplasty.
  • Bypass Surgery: Creating a new pathway for blood flow around a blocked artery.

Surgical interventions are typically considered when lifestyle modifications and medications are not sufficient to manage the condition.

Preventing Chronic Microvascular Ischemic Changes

Preventing chronic microvascular ischemic changes involves adopting a healthy lifestyle and managing underlying risk factors. Some key preventive measures include:

  • Regular Exercise: Engaging in regular physical activity to improve cardiovascular health.
  • Healthy Diet: Consuming a balanced diet rich in fruits, vegetables, whole grains, and lean proteins.
  • Smoking Cessation: Quitting smoking to reduce the risk of damage to the blood vessels.
  • Weight Management: Maintaining a healthy weight to reduce the strain on the cardiovascular system.
  • Regular Check-ups: Scheduling regular medical check-ups to monitor blood pressure, cholesterol levels, and blood sugar levels.

By adopting these preventive measures, individuals can significantly reduce their risk of developing chronic microvascular ischemic changes and improve their overall cardiovascular health.

📝 Note: It is important to consult with a healthcare provider before making any significant lifestyle changes or starting a new exercise program.

Living with Chronic Microvascular Ischemic Changes

Living with chronic microvascular ischemic changes can be challenging, but with the right management strategies, individuals can lead fulfilling lives. Some tips for managing the condition include:

  • Educate Yourself: Learn about the condition and its management to better understand your health needs.
  • Follow Your Treatment Plan: Adhere to the treatment plan prescribed by your healthcare provider.
  • Stay Active: Engage in regular physical activity to improve cardiovascular health.
  • Maintain a Healthy Diet: Consume a balanced diet rich in fruits, vegetables, whole grains, and lean proteins.
  • Seek Support: Join support groups or seek counseling to cope with the emotional challenges of living with a chronic condition.

By taking an active role in managing your health, you can improve your quality of life and reduce the impact of chronic microvascular ischemic changes.

📝 Note: Regular communication with your healthcare provider is essential for effective management of chronic microvascular ischemic changes.

Research and Future Directions

Research on chronic microvascular ischemic changes is ongoing, with scientists and healthcare providers working to develop new treatments and management strategies. Some areas of active research include:

  • Novel Therapeutics: Developing new medications and therapies to improve blood flow and reduce tissue damage.
  • Genetic Factors: Investigating the role of genetic factors in the development of chronic microvascular ischemic changes.
  • Lifestyle Interventions: Exploring the effectiveness of lifestyle modifications in preventing and managing the condition.
  • Advanced Imaging Techniques: Using advanced imaging technologies to better visualize and assess microvascular changes.

As research continues, we can expect to see significant advancements in the diagnosis, treatment, and management of chronic microvascular ischemic changes.

Chronic microvascular ischemic changes are a complex and multifaceted condition that requires a comprehensive approach to management. By understanding the causes, symptoms, and management strategies, individuals can take proactive steps to improve their health and quality of life. Regular medical check-ups, lifestyle modifications, and adherence to treatment plans are essential for effective management of this condition. With ongoing research and advancements in medical technology, there is hope for better outcomes and improved quality of life for those affected by chronic microvascular ischemic changes.

Related Terms:

  • chronic microangiopathic ischemic gliosis
  • mild chronic microvascular ischemic changes
  • chronic microvascular ischemic changes icd
  • chronic microvascular ischemic changes mean
  • moderate chronic microvascular ischemic changes
  • cerebral microvascular disease
Facebook Twitter WhatsApp
Related Posts
Don't Miss