Learning

Chronic Microvascular Disease

Chronic Microvascular Disease
Chronic Microvascular Disease

Chronic Microvascular Disease (CMD) is a condition that affects the small blood vessels in the body, leading to a range of health issues. Understanding CMD, its causes, symptoms, and treatment options is crucial for managing this condition effectively. This blog post delves into the intricacies of Chronic Microvascular Disease, providing a comprehensive overview for those seeking to learn more about this complex health issue.

Understanding Chronic Microvascular Disease

Chronic Microvascular Disease refers to the damage or dysfunction of the small blood vessels, known as microvessels, which supply blood to various organs and tissues. These microvessels are essential for maintaining proper blood flow and oxygen supply to the body’s cells. When these vessels are compromised, it can lead to a variety of health problems, including tissue damage, organ dysfunction, and even organ failure.

Causes of Chronic Microvascular Disease

The causes of Chronic Microvascular Disease can be multifaceted and often involve a combination of factors. Some of the primary causes include:

  • Diabetes: High blood sugar levels can damage the small blood vessels over time, leading to microvascular complications.
  • Hypertension: High blood pressure can put excessive strain on the blood vessels, causing them to narrow or become damaged.
  • Smoking: Tobacco use can constrict blood vessels and reduce blood flow, contributing to microvascular disease.
  • High Cholesterol: Elevated cholesterol levels can lead to the buildup of plaque in the blood vessels, restricting blood flow.
  • Inflammation: Chronic inflammation can damage the lining of the blood vessels, impairing their function.

Symptoms of Chronic Microvascular Disease

The symptoms of Chronic Microvascular Disease can vary depending on the affected organs and the severity of the condition. Some common symptoms include:

  • Fatigue: Persistent tiredness and lack of energy.
  • Numbness or Tingling: Sensations in the extremities, often in the hands and feet.
  • Pain: Discomfort or pain in the affected areas, such as the legs or feet.
  • Swelling: Edema or fluid retention in the affected tissues.
  • Vision Problems: Blurred vision or other visual disturbances.
  • Kidney Issues: Changes in urine output or kidney function.

Diagnosing Chronic Microvascular Disease

Diagnosing Chronic Microvascular Disease involves a combination of medical history, physical examination, and diagnostic tests. Some of the key diagnostic methods include:

  • Blood Tests: To measure blood sugar levels, cholesterol levels, and other biomarkers.
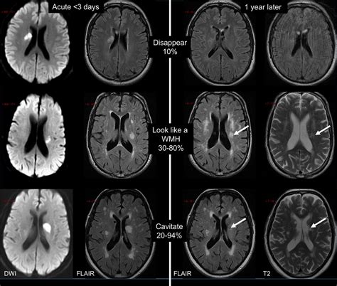
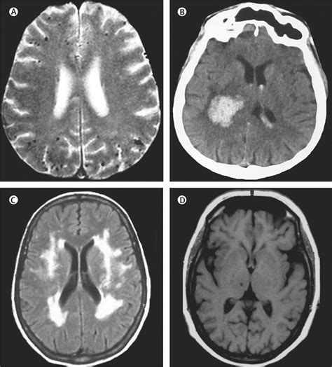
  • Imaging Studies: Such as ultrasound, MRI, or CT scans to visualize the blood vessels and assess their condition.
  • Angiography: A procedure that uses X-rays and contrast dye to examine the blood vessels.
  • Biopsy: In some cases, a tissue sample may be taken to examine the microvessels under a microscope.

Treatment Options for Chronic Microvascular Disease

The treatment of Chronic Microvascular Disease focuses on managing the underlying causes and alleviating symptoms. Some common treatment options include:

  • Lifestyle Changes: Adopting a healthy diet, regular exercise, and quitting smoking can significantly improve microvascular health.
  • Medications: Drugs to control blood sugar, blood pressure, and cholesterol levels.
  • Anti-inflammatory Drugs: To reduce inflammation and protect the blood vessels.
  • Vascular Procedures: In severe cases, procedures such as angioplasty or stenting may be necessary to restore blood flow.

Preventing Chronic Microvascular Disease

Preventing Chronic Microvascular Disease involves taking proactive steps to maintain overall vascular health. Some key preventive measures include:

  • Regular Check-ups: Regular medical check-ups to monitor blood sugar, blood pressure, and cholesterol levels.
  • Healthy Lifestyle: Maintaining a balanced diet, engaging in regular physical activity, and avoiding tobacco use.
  • Stress Management: Techniques such as meditation, yoga, or deep breathing exercises to reduce stress levels.
  • Avoiding Excessive Alcohol: Limiting alcohol consumption to moderate levels.

Living with Chronic Microvascular Disease

Living with Chronic Microvascular Disease requires ongoing management and self-care. Here are some tips for managing the condition effectively:

  • Monitor Symptoms: Keep track of any changes in symptoms and report them to your healthcare provider.
  • Follow Treatment Plan: Adhere to the prescribed treatment plan, including medications and lifestyle changes.
  • Stay Informed: Educate yourself about Chronic Microvascular Disease and stay updated on the latest research and treatment options.
  • Seek Support: Join support groups or seek counseling to cope with the emotional and psychological aspects of the condition.

Research and Future Directions

Research on Chronic Microvascular Disease is ongoing, with scientists and medical professionals working to develop new treatments and improve existing ones. Some areas of active research include:

  • Genetic Factors: Investigating the genetic predisposition to Chronic Microvascular Disease.
  • Novel Therapies: Exploring new medications and therapies to target the underlying causes of the disease.
  • Early Detection: Developing more sensitive and specific diagnostic tools for early detection and intervention.
  • Personalized Medicine: Tailoring treatment plans to individual patients based on their genetic makeup and health profile.

📝 Note: While research is promising, it is important to consult with healthcare providers for personalized advice and treatment options.

Impact on Quality of Life

Chronic Microvascular Disease can significantly impact an individual’s quality of life. The condition can affect daily activities, mobility, and overall well-being. However, with proper management and support, many people with Chronic Microvascular Disease can lead fulfilling lives. It is essential to work closely with healthcare providers to develop a comprehensive care plan that addresses both the physical and emotional aspects of the condition.

Chronic Microvascular Disease is a complex condition that requires ongoing management and care. By understanding the causes, symptoms, and treatment options, individuals can take proactive steps to manage their health effectively. Regular medical check-ups, a healthy lifestyle, and adherence to treatment plans are crucial for maintaining vascular health and improving overall quality of life. Ongoing research and advancements in medical technology offer hope for better treatments and improved outcomes for those living with Chronic Microvascular Disease.

Related Terms:

  • chronic microvascular disease brain
  • chronic microvascular disease changes
  • coronary microvascular disease
  • chronic microvascular ischemia
  • chronic microvascular disease meaning
  • mild chronic microvascular ischemic changes
Facebook Twitter WhatsApp
Related Posts
Don't Miss