Learning

Charcot Bouchard Aneurysm

Charcot Bouchard Aneurysm
Charcot Bouchard Aneurysm

Understanding the complexities of vascular health is crucial for maintaining overall well-being. One of the lesser-known but significant conditions affecting the brain's blood vessels is the Charcot Bouchard Aneurysm. This condition, though rare, can have severe implications if left undiagnosed or untreated. This post delves into the intricacies of Charcot Bouchard Aneurysm, its causes, symptoms, diagnosis, and treatment options.

What is a Charcot Bouchard Aneurysm?

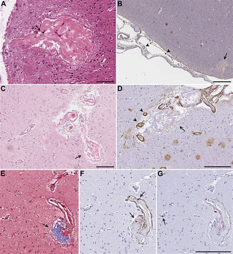
A Charcot Bouchard Aneurysm is a small, microscopic aneurysm that occurs in the small blood vessels of the brain. These aneurysms are typically found in the deep structures of the brain, such as the basal ganglia and thalamus. Unlike larger aneurysms that can be detected through imaging techniques, Charcot Bouchard aneurysms are often too small to be seen on standard scans. They are named after the French neurologists Jean-Martin Charcot and Charles-Joseph Bouchard, who first described these microscopic lesions.

Causes of Charcot Bouchard Aneurysm

The exact cause of Charcot Bouchard aneurysms is not fully understood, but several factors are believed to contribute to their development:

  • Hypertension: High blood pressure is a significant risk factor. The constant elevated pressure can weaken the walls of small blood vessels, leading to the formation of aneurysms.
  • Atherosclerosis: The buildup of plaque in the arteries can narrow and weaken the blood vessels, making them more susceptible to aneurysm formation.
  • Genetic Factors: Some individuals may have a genetic predisposition to developing aneurysms, including Charcot Bouchard aneurysms.
  • Age: The risk of developing aneurysms increases with age, as the blood vessels become less elastic and more prone to damage.

Symptoms of Charcot Bouchard Aneurysm

Charcot Bouchard aneurysms often do not cause any symptoms until they rupture. When a rupture occurs, it can lead to a type of stroke known as a hemorrhagic stroke. The symptoms of a hemorrhagic stroke can include:

  • Sudden, severe headache
  • Nausea and vomiting
  • Loss of consciousness
  • Seizures
  • Weakness or numbness on one side of the body
  • Difficulty speaking or understanding speech
  • Vision problems

These symptoms require immediate medical attention, as a ruptured aneurysm can be life-threatening.

Diagnosis of Charcot Bouchard Aneurysm

Diagnosing a Charcot Bouchard aneurysm can be challenging due to its small size. However, several diagnostic tools can help identify the condition:

  • Computed Tomography (CT) Scan: A CT scan can detect bleeding in the brain, which may indicate a ruptured aneurysm.
  • Magnetic Resonance Imaging (MRI): An MRI can provide detailed images of the brain and may reveal the presence of an aneurysm.
  • Angiography: This procedure involves injecting a contrast dye into the blood vessels and using X-rays to visualize the blood flow. It can help identify the location and size of the aneurysm.
  • Cerebrospinal Fluid (CSF) Analysis: A sample of cerebrospinal fluid can be analyzed to detect the presence of blood, which may indicate a ruptured aneurysm.

Given the microscopic nature of Charcot Bouchard aneurysms, a combination of these diagnostic tools is often necessary to confirm the presence of the condition.

Treatment Options for Charcot Bouchard Aneurysm

The treatment of Charcot Bouchard aneurysms depends on various factors, including the size and location of the aneurysm, the patient's overall health, and the presence of symptoms. Treatment options may include:

  • Medication: Blood pressure-lowering medications can help manage hypertension and reduce the risk of aneurysm rupture.
  • Endovascular Coiling: This minimally invasive procedure involves inserting a catheter into the blood vessel and placing coils at the site of the aneurysm to block blood flow and prevent rupture.
  • Surgical Clipping: In this procedure, a neurosurgeon opens the skull and places a small clip at the base of the aneurysm to prevent blood flow and reduce the risk of rupture.
  • Stereotactic Radiosurgery: This non-invasive procedure uses focused beams of radiation to target and destroy the aneurysm.

In some cases, a combination of these treatments may be recommended to achieve the best outcomes.

Prevention and Management

Preventing Charcot Bouchard aneurysms involves managing the underlying risk factors. Here are some strategies to reduce the risk:

  • Control Blood Pressure: Regularly monitor and manage blood pressure to prevent hypertension-related complications.
  • Healthy Lifestyle: Maintain a healthy diet, engage in regular physical activity, and avoid smoking and excessive alcohol consumption.
  • Regular Check-ups: Schedule regular medical check-ups to monitor overall health and detect any potential issues early.

If you have a family history of aneurysms or other risk factors, it is essential to discuss preventive measures with your healthcare provider.

📝 Note: Early detection and management of risk factors can significantly reduce the likelihood of developing a Charcot Bouchard aneurysm and its associated complications.

Living with Charcot Bouchard Aneurysm

Living with a Charcot Bouchard aneurysm can be challenging, but with proper management and support, individuals can lead fulfilling lives. Here are some tips for managing the condition:

  • Follow Medical Advice: Adhere to the treatment plan prescribed by your healthcare provider, including medication and follow-up appointments.
  • Monitor Symptoms: Be aware of any changes in your health and report them to your doctor immediately.
  • Seek Support: Join support groups or seek counseling to cope with the emotional and psychological aspects of living with a chronic condition.
  • Maintain a Healthy Lifestyle: Continue to prioritize a healthy diet, regular exercise, and stress management techniques.

Regular communication with your healthcare team and a proactive approach to managing your health can help you navigate the challenges of living with a Charcot Bouchard aneurysm.

Charcot Bouchard aneurysms are a complex and often overlooked condition that can have serious implications if not properly managed. Understanding the causes, symptoms, diagnosis, and treatment options is crucial for early detection and effective management. By taking proactive steps to control risk factors and seeking appropriate medical care, individuals can reduce the likelihood of complications and improve their overall quality of life.

Related Terms:

  • charcot bouchard aneurysm ct
  • charcot bouchard microaneurysms
  • charcot aneurysm
  • charcot bouchard aneurysm radiology
Facebook Twitter WhatsApp
Related Posts
Don't Miss