Learning

Charcot Arthropathy Foot

Charcot Arthropathy Foot
Charcot Arthropathy Foot

Charcot arthropathy foot, also known as Charcot neuroarthropathy, is a progressive degenerative condition that primarily affects the joints and bones of the foot and ankle. This condition is often associated with diabetes and can lead to significant deformities and disability if not properly managed. Understanding the causes, symptoms, diagnosis, and treatment options for Charcot arthropathy foot is crucial for both healthcare providers and patients.

Understanding Charcot Arthropathy Foot

Charcot arthropathy foot is a complex condition that results from a combination of factors, including neuropathy, trauma, and inflammation. Neuropathy, or nerve damage, is a common complication of diabetes and can lead to a loss of sensation in the feet. This lack of sensation makes it difficult for individuals to detect injuries or trauma, which can then go unnoticed and untreated.

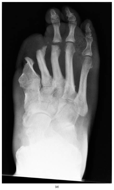
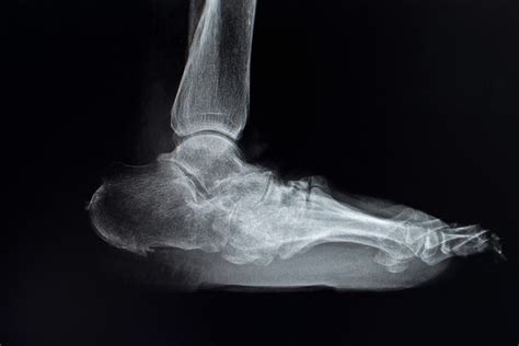
When trauma occurs, the body's natural inflammatory response is triggered. In individuals with neuropathy, this response can be exaggerated, leading to excessive bone resorption and joint destruction. Over time, this process can result in significant deformities, such as a "rocker-bottom" foot, where the arch of the foot collapses, and the sole becomes convex.

Symptoms of Charcot Arthropathy Foot

The symptoms of Charcot arthropathy foot can vary depending on the stage of the condition. In the early stages, symptoms may be mild and include:

  • Swelling and redness in the foot or ankle
  • Warmth to the touch
  • Joint pain or discomfort
  • Increased foot size due to swelling

As the condition progresses, more severe symptoms may develop, including:

  • Deformities such as a "rocker-bottom" foot
  • Instability and difficulty walking
  • Ulcers or wounds on the foot
  • Infection

It is important to note that individuals with Charcot arthropathy foot may not experience pain due to the underlying neuropathy. This lack of pain can make it difficult to detect the condition in its early stages.

Diagnosis of Charcot Arthropathy Foot

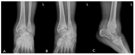
Diagnosing Charcot arthropathy foot involves a combination of clinical examination and imaging studies. Healthcare providers will typically perform a thorough physical examination, assessing the foot for signs of swelling, redness, warmth, and deformities. They may also ask about the patient's medical history, including any history of diabetes or neuropathy.

Imaging studies are essential for confirming the diagnosis and assessing the extent of the condition. Common imaging studies include:

  • X-rays: To visualize bone structure and detect any fractures or deformities
  • MRI (Magnetic Resonance Imaging): To assess soft tissue damage and inflammation
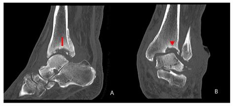
  • CT (Computed Tomography) scans: To provide detailed images of bone structure

In some cases, a bone scan may be performed to detect areas of increased bone turnover, which can indicate active Charcot arthropathy.

Stages of Charcot Arthropathy Foot

Charcot arthropathy foot is typically divided into three stages based on the severity of the condition:

Stage Description
Stage 0 Pre-Charcot: Early signs of inflammation and bone resorption without visible deformities
Stage 1 Development: Active inflammation and bone resorption leading to joint destruction and deformities
Stage 2 Coalescence: Inflammation subsides, and the bones begin to fuse together, stabilizing the foot
Stage 3 Consolidation: The foot is stable, but deformities may persist, and the risk of ulceration and infection remains

Understanding the stage of Charcot arthropathy foot is crucial for determining the appropriate treatment plan.

๐Ÿ“ Note: Early detection and intervention are key to preventing severe deformities and complications associated with Charcot arthropathy foot.

Treatment Options for Charcot Arthropathy Foot

The treatment of Charcot arthropathy foot aims to manage symptoms, prevent further damage, and promote healing. Treatment options may include:

  • Immobilization: Using casts, braces, or special shoes to immobilize the foot and reduce stress on the affected joints
  • Medications: Nonsteroidal anti-inflammatory drugs (NSAIDs) to reduce inflammation and pain
  • Physical therapy: To improve strength, flexibility, and range of motion in the foot and ankle
  • Surgery: In severe cases, surgical intervention may be necessary to correct deformities, stabilize the foot, and prevent further damage

In addition to these treatment options, lifestyle modifications such as maintaining a healthy weight, quitting smoking, and managing diabetes can help improve outcomes and prevent complications.

Preventing Charcot Arthropathy Foot

Preventing Charcot arthropathy foot involves a combination of regular foot care, early detection, and management of underlying conditions such as diabetes. Some key preventive measures include:

  • Regular foot examinations: Checking the feet for signs of injury, infection, or deformities
  • Proper footwear: Wearing supportive shoes that fit well and provide adequate cushioning
  • Blood sugar control: Maintaining optimal blood sugar levels to reduce the risk of neuropathy and other complications
  • Avoiding trauma: Taking precautions to avoid injuries to the feet, such as wearing protective footwear and avoiding high-impact activities

By taking these preventive measures, individuals can reduce their risk of developing Charcot arthropathy foot and improve their overall foot health.

๐Ÿ“ Note: Regular foot care and early detection are essential for preventing Charcot arthropathy foot and managing its complications.

Living with Charcot Arthropathy Foot

Living with Charcot arthropathy foot can be challenging, but with proper management and support, individuals can maintain their quality of life. Some tips for living with Charcot arthropathy foot include:

  • Following the treatment plan: Adhering to the recommended treatment plan, including medications, physical therapy, and lifestyle modifications
  • Regular follow-ups: Scheduling regular appointments with healthcare providers to monitor the condition and adjust the treatment plan as needed
  • Supportive footwear: Wearing supportive shoes or orthotics to reduce stress on the affected joints and prevent further damage
  • Education: Learning about Charcot arthropathy foot and its management to better understand the condition and make informed decisions

By taking an active role in their care and working closely with healthcare providers, individuals with Charcot arthropathy foot can manage their condition effectively and improve their overall well-being.

Charcot arthropathy foot is a complex and progressive condition that requires careful management and support. By understanding the causes, symptoms, diagnosis, and treatment options, individuals can take proactive steps to prevent and manage this condition. Regular foot care, early detection, and adherence to the treatment plan are essential for improving outcomes and maintaining quality of life.

Related Terms:

  • diabetic foot deformity pictures
  • is charcot foot permanent
  • what is charcot foot disorder
  • picture of charcot foot
  • does charcot foot go away
  • charcot foot healing time
Facebook Twitter WhatsApp
Related Posts
Don't Miss