Learning

Cerebral Peduncles Brain

Cerebral Peduncles Brain
Cerebral Peduncles Brain

The cerebral peduncles brain is a critical component of the midbrain, playing a pivotal role in motor control and sensory processing. These structures are essential for the transmission of signals between the cerebral cortex and the lower parts of the brain and spinal cord. Understanding the cerebral peduncles brain involves delving into their anatomy, functions, and clinical significance. This exploration will provide a comprehensive overview of these vital brain structures.

The Anatomy of the Cerebral Peduncles Brain

The cerebral peduncles brain, also known as the crura cerebri, are paired structures that form the ventral part of the midbrain. They are located just below the thalamus and above the pons. The cerebral peduncles brain consist of several important fiber tracts and nuclei that are crucial for various neurological functions.

The cerebral peduncles brain can be divided into three main parts:

  • Crua cerebri: These are the largest and most prominent parts of the cerebral peduncles brain. They contain both ascending and descending fiber tracts that connect the cerebral cortex with the brainstem and spinal cord.
  • Substantia nigra: This is a pigmented area located in the midbrain, involved in the production of dopamine, a neurotransmitter essential for motor control.
  • Red nucleus: This structure is involved in the coordination of voluntary movements, particularly those related to fine motor skills.

Functions of the Cerebral Peduncles Brain

The cerebral peduncles brain serve multiple functions, primarily related to motor control and sensory processing. Their role in the brain's overall functioning is crucial for maintaining balance, coordination, and movement.

Some of the key functions of the cerebral peduncles brain include:

  • Motor Control: The cerebral peduncles brain contain descending motor tracts, such as the corticospinal and corticobulbar tracts, which are essential for voluntary movements. These tracts carry signals from the motor cortex to the spinal cord and brainstem, enabling precise and coordinated movements.
  • Sensory Processing: Ascending sensory tracts, such as the medial lemniscus, pass through the cerebral peduncles brain. These tracts carry sensory information from the body to the thalamus and then to the sensory cortex, allowing for the perception of touch, pressure, and proprioception.
  • Coordination and Balance: The red nucleus and substantia nigra within the cerebral peduncles brain play roles in coordinating voluntary movements and maintaining balance. The substantia nigra, in particular, is involved in the regulation of dopamine, which is crucial for smooth and coordinated movements.

Clinical Significance of the Cerebral Peduncles Brain

The cerebral peduncles brain are susceptible to various neurological conditions and injuries, which can lead to significant motor and sensory deficits. Understanding the clinical significance of these structures is essential for diagnosing and treating neurological disorders.

Some of the conditions that affect the cerebral peduncles brain include:

  • Stroke: A stroke in the midbrain can affect the cerebral peduncles brain, leading to weakness or paralysis on the opposite side of the body, known as hemiparesis or hemiplegia. Sensory deficits, such as loss of touch or proprioception, may also occur.
  • Parkinson's Disease: This neurodegenerative disorder affects the substantia nigra, leading to a depletion of dopamine. Symptoms include tremors, rigidity, bradykinesia (slowness of movement), and postural instability.
  • Tumors: Tumors in the midbrain can compress the cerebral peduncles brain, causing motor and sensory deficits. Symptoms may include weakness, numbness, and coordination problems.
  • Traumatic Brain Injury: Injuries to the midbrain can damage the cerebral peduncles brain, resulting in motor and sensory impairments. Symptoms may include weakness, paralysis, and loss of sensation.

📝 Note: The cerebral peduncles brain are highly vascularized, making them susceptible to ischemic damage during a stroke. Prompt diagnosis and treatment are crucial for minimizing long-term deficits.

Diagnostic Techniques for Cerebral Peduncles Brain Disorders

Diagnosing disorders of the cerebral peduncles brain involves a combination of clinical evaluation, imaging studies, and neurophysiological tests. These techniques help in identifying the underlying cause and extent of the damage.

Some of the diagnostic techniques used include:

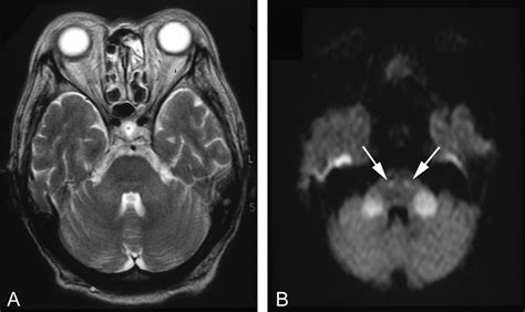
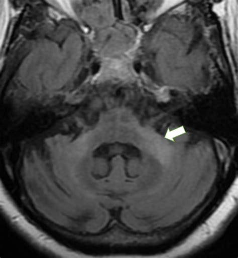
  • Magnetic Resonance Imaging (MRI): MRI provides detailed images of the brain, allowing for the visualization of structural abnormalities, such as tumors, strokes, or traumatic injuries. Functional MRI (fMRI) can also be used to assess brain activity and connectivity.
  • Computed Tomography (CT) Scan: CT scans provide cross-sectional images of the brain, useful for detecting acute hemorrhages, strokes, or other structural abnormalities. CT angiography can also be used to assess blood vessels in the brain.
  • Electroencephalogram (EEG): EEG measures electrical activity in the brain, useful for detecting abnormal patterns associated with seizures or other neurological conditions. However, EEG is less specific for diagnosing cerebral peduncles brain disorders.
  • Neuropsychological Testing: These tests assess cognitive and motor functions, helping to identify deficits associated with cerebral peduncles brain disorders. Tests may include motor tasks, sensory perception, and coordination exercises.

Treatment Options for Cerebral Peduncles Brain Disorders

Treatment for disorders of the cerebral peduncles brain depends on the underlying cause and the severity of the symptoms. A multidisciplinary approach is often necessary, involving neurologists, neurosurgeons, and rehabilitation specialists.

Some of the treatment options include:

  • Medications: Medications may be prescribed to manage symptoms, such as dopamine agonists for Parkinson's disease or antiepileptics for seizures. Pain management may also be necessary for conditions causing chronic pain.
  • Surgery: Surgical intervention may be required for conditions such as tumors or severe traumatic injuries. Procedures may include tumor resection, decompression, or deep brain stimulation for movement disorders.
  • Rehabilitation: Physical therapy, occupational therapy, and speech therapy are essential for recovering motor and sensory functions. Rehabilitation programs are tailored to the individual's needs and may include exercises to improve strength, coordination, and balance.
  • Lifestyle Modifications: Lifestyle changes, such as a healthy diet, regular exercise, and stress management, can help improve overall brain health and reduce the risk of further damage. Avoiding risk factors, such as smoking and excessive alcohol consumption, is also important.

📝 Note: Early intervention and a comprehensive treatment plan are crucial for improving outcomes in cerebral peduncles brain disorders. Regular follow-up and monitoring are essential for managing symptoms and preventing complications.

Research and Future Directions

Ongoing research is focused on understanding the complex functions of the cerebral peduncles brain and developing new treatments for associated disorders. Advances in neuroimaging, genetics, and neuropharmacology are paving the way for innovative therapies and interventions.

Some of the areas of research include:

  • Neuroimaging: Advanced imaging techniques, such as diffusion tensor imaging (DTI) and functional MRI, are being used to study the connectivity and functional organization of the cerebral peduncles brain. These techniques provide insights into the structural and functional changes associated with neurological disorders.
  • Genetics: Genetic studies are identifying the genetic factors that contribute to the development of cerebral peduncles brain disorders. This research may lead to the development of targeted therapies and personalized treatment plans.
  • Neuropharmacology: New drugs and therapies are being developed to target specific neurotransmitter systems and pathways in the cerebral peduncles brain. These treatments aim to improve motor control, sensory processing, and overall brain function.
  • Neurostimulation: Techniques such as deep brain stimulation (DBS) and transcranial magnetic stimulation (TMS) are being explored for their potential to modulate brain activity and improve symptoms in cerebral peduncles brain disorders. These non-invasive and minimally invasive procedures offer promising alternatives to traditional treatments.

In addition to these research areas, interdisciplinary collaborations are essential for advancing our understanding of the cerebral peduncles brain. Collaboration between neuroscientists, clinicians, and engineers can lead to the development of new diagnostic tools, therapeutic interventions, and rehabilitation strategies.

Case Studies and Clinical Examples

Case studies and clinical examples provide valuable insights into the diagnosis and management of cerebral peduncles brain disorders. These real-life scenarios highlight the challenges and successes in treating patients with these conditions.

Consider the following case studies:

  • Case Study 1: Stroke: A 65-year-old patient presents with sudden onset of weakness on the right side of the body and difficulty speaking. An MRI reveals an ischemic stroke in the left cerebral peduncles brain. The patient undergoes thrombolytic therapy to dissolve the clot and is referred to a rehabilitation program for physical and speech therapy. Over time, the patient shows significant improvement in motor and language functions.
  • Case Study 2: Parkinson's Disease: A 55-year-old patient with a family history of Parkinson's disease presents with tremors, rigidity, and bradykinesia. An MRI confirms the diagnosis, and the patient is started on dopamine agonists and physical therapy. The patient's symptoms improve, and they are able to maintain an active lifestyle with regular follow-up and medication adjustments.
  • Case Study 3: Tumor: A 40-year-old patient presents with progressive weakness and numbness on the left side of the body. An MRI reveals a tumor in the right cerebral peduncles brain. The patient undergoes surgical resection of the tumor, followed by radiation therapy. Post-surgery, the patient undergoes rehabilitation to regain motor and sensory functions, with a successful outcome.

📝 Note: Each case is unique, and treatment plans should be tailored to the individual's needs and circumstances. Regular monitoring and follow-up are essential for managing symptoms and preventing complications.

Summary of Key Points

The cerebral peduncles brain are essential structures in the midbrain, playing crucial roles in motor control, sensory processing, and coordination. Understanding their anatomy, functions, and clinical significance is vital for diagnosing and treating neurological disorders. Diagnostic techniques, such as MRI and CT scans, are essential for identifying structural abnormalities, while treatment options, including medications, surgery, and rehabilitation, are tailored to the individual’s needs. Ongoing research and interdisciplinary collaborations are paving the way for new therapies and interventions, offering hope for improved outcomes in cerebral peduncles brain disorders.

In summary, the cerebral peduncles brain are integral to the brain’s overall functioning, and their proper care and management are essential for maintaining neurological health. By staying informed about the latest research and treatment options, healthcare providers and patients can work together to achieve the best possible outcomes.

Related Terms:

  • cerebral peduncles location
  • cerebral peduncle vs crus cerebri
  • where are the cerebral peduncles
  • cerebral peduncles on brain model
  • cerebral peduncle mri anatomy
  • cerebral peduncles real brain
Facebook Twitter WhatsApp
Related Posts
Don't Miss