Learning

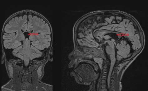
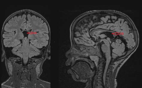
Cavum Veli Interpositi

Cavum Veli Interpositi
Cavum Veli Interpositi

The Cavum Veli Interpositi is a fascinating anatomical structure located within the human brain, specifically within the temporal lobe. This small, fluid-filled cavity plays a crucial role in the overall functioning of the brain and has been the subject of extensive research in the fields of neuroscience and medicine. Understanding the Cavum Veli Interpositi involves delving into its anatomical location, functional significance, and clinical relevance.

Anatomical Location and Structure

The Cavum Veli Interpositi is situated in the temporal lobe of the brain, a region known for its involvement in various cognitive functions, including memory, language, and sensory processing. The temporal lobe is one of the four main lobes of the cerebral cortex and is located on the sides of the brain, roughly above the ears. The Cavum Veli Interpositi is a small, fluid-filled cavity that is part of the ventricular system, which includes the ventricles and other fluid-filled spaces within the brain.

The Cavum Veli Interpositi is typically found in the medial temporal lobe, near the hippocampus and the amygdala. These structures are critical for memory formation and emotional processing, respectively. The Cavum Veli Interpositi itself is a small, often overlooked structure, but its proximity to these important regions suggests that it may play a role in their functioning.

Functional Significance

The exact functional significance of the Cavum Veli Interpositi is still a topic of ongoing research. However, several theories and findings provide insights into its potential roles. One of the primary functions of the Cavum Veli Interpositi is believed to be related to the regulation of cerebrospinal fluid (CSF) flow. CSF is a clear, colorless fluid that circulates through the ventricular system and the subarachnoid space, providing mechanical and immunological protection to the brain.

By maintaining the proper flow of CSF, the Cavum Veli Interpositi helps to ensure that the brain receives adequate nutrients and that waste products are efficiently removed. This is crucial for the overall health and functioning of the brain. Additionally, the Cavum Veli Interpositi may play a role in the modulation of neural activity in the temporal lobe. Its proximity to the hippocampus and amygdala suggests that it could influence memory consolidation and emotional regulation.

Clinical Relevance

The Cavum Veli Interpositi has clinical relevance in several neurological and psychiatric conditions. For instance, abnormalities in the Cavum Veli Interpositi have been observed in patients with temporal lobe epilepsy, a condition characterized by recurrent seizures originating from the temporal lobe. These abnormalities may contribute to the development and severity of seizures, making the Cavum Veli Interpositi a potential target for therapeutic interventions.

Furthermore, research has shown that the Cavum Veli Interpositi may be involved in the pathophysiology of certain psychiatric disorders, such as schizophrenia and bipolar disorder. These conditions are often associated with structural and functional abnormalities in the temporal lobe, and the Cavum Veli Interpositi could play a role in these alterations. Understanding the specific mechanisms by which the Cavum Veli Interpositi contributes to these disorders could lead to the development of new treatment strategies.

Diagnostic Techniques

Diagnosing abnormalities in the Cavum Veli Interpositi typically involves the use of advanced imaging techniques. Magnetic Resonance Imaging (MRI) is the most commonly used method for visualizing the Cavum Veli Interpositi and other structures within the brain. MRI provides high-resolution images that allow clinicians to assess the size, shape, and position of the Cavum Veli Interpositi, as well as any potential abnormalities.

Other imaging techniques, such as Computed Tomography (CT) scans and Positron Emission Tomography (PET) scans, may also be used to evaluate the Cavum Veli Interpositi and its surrounding structures. These techniques provide different types of information, such as structural details and metabolic activity, which can be useful in diagnosing and monitoring neurological and psychiatric conditions.

In addition to imaging techniques, electroencephalography (EEG) and magnetoencephalography (MEG) may be used to assess the functional activity of the Cavum Veli Interpositi and its role in neural networks. These methods measure electrical and magnetic activity in the brain, respectively, and can provide insights into the functional connectivity and dynamics of the Cavum Veli Interpositi.

Research and Future Directions

Ongoing research is focused on elucidating the precise functions of the Cavum Veli Interpositi and its role in various neurological and psychiatric conditions. One area of interest is the use of advanced imaging techniques to study the structural and functional connectivity of the Cavum Veli Interpositi with other brain regions. This can help identify specific neural circuits involved in memory, emotion, and other cognitive processes.

Another promising avenue of research is the development of targeted therapies for conditions associated with abnormalities in the Cavum Veli Interpositi. For example, deep brain stimulation (DBS) and other neuromodulation techniques could be used to modulate the activity of the Cavum Veli Interpositi and its surrounding structures, potentially alleviating symptoms in patients with epilepsy, schizophrenia, and other disorders.

Additionally, genetic and molecular studies are being conducted to identify the genetic factors and molecular pathways that contribute to the development and functioning of the Cavum Veli Interpositi. This knowledge could lead to the development of personalized treatment strategies tailored to individual patients based on their genetic profiles and molecular signatures.

Case Studies and Clinical Examples

Several case studies and clinical examples highlight the importance of the Cavum Veli Interpositi in neurological and psychiatric conditions. For instance, a study published in the Journal of Neurology, Neurosurgery, and Psychiatry reported a case of a patient with temporal lobe epilepsy who underwent surgical resection of the Cavum Veli Interpositi. The patient experienced a significant reduction in seizure frequency and severity following the procedure, suggesting that the Cavum Veli Interpositi played a role in the generation of seizures.

Another clinical example involves a patient with schizophrenia who was found to have an enlarged Cavum Veli Interpositi on MRI. The patient's symptoms, including hallucinations and delusions, were correlated with the structural abnormalities in the Cavum Veli Interpositi, providing further evidence of its involvement in psychiatric disorders.

These case studies and clinical examples underscore the need for further research into the Cavum Veli Interpositi and its potential as a therapeutic target for various neurological and psychiatric conditions.

Comparative Anatomy

Comparative studies of the Cavum Veli Interpositi across different species can provide valuable insights into its evolutionary significance and functional roles. For example, research has shown that the Cavum Veli Interpositi is present in various mammalian species, including primates, rodents, and carnivores. This suggests that the structure has been conserved throughout evolution, indicating its importance in brain function.

Comparative anatomy studies have also revealed differences in the size and shape of the Cavum Veli Interpositi across species. For instance, primates, including humans, tend to have a larger and more complex Cavum Veli Interpositi compared to rodents. These differences may reflect variations in cognitive abilities and neural circuitry among species.

By studying the Cavum Veli Interpositi in different animal models, researchers can gain a better understanding of its functional roles and potential therapeutic applications. For example, animal models of epilepsy and psychiatric disorders can be used to investigate the effects of modulating the Cavum Veli Interpositi on disease progression and symptom severity.

Conclusion

The Cavum Veli Interpositi is a small but significant anatomical structure within the temporal lobe of the brain. Its role in regulating cerebrospinal fluid flow and modulating neural activity makes it an important area of study in neuroscience and medicine. Abnormalities in the Cavum Veli Interpositi have been linked to various neurological and psychiatric conditions, highlighting its clinical relevance. Ongoing research aims to elucidate the precise functions of the Cavum Veli Interpositi and develop targeted therapies for associated disorders. By understanding the Cavum Veli Interpositi and its role in brain function, we can pave the way for new diagnostic and therapeutic approaches in neurology and psychiatry.

Related Terms:

  • cavum veli interpositi ct
  • cavum veli interpositi ultrasound
  • cavum veli interpositi fetus
  • cavum veli interpositi mri
  • cavum veli interpositi cyst
  • cavum veli interpositi fetal ultrasound
Facebook Twitter WhatsApp
Related Posts
Don't Miss