The Cavum Septum Pellucidum (CSP) is a small, fluid-filled cavity located within the brain, specifically between the leaves of the septum pellucidum. This structure, though small, plays a crucial role in the overall functioning of the brain and has been the subject of extensive research in the fields of neuroscience and psychology. Understanding the Cavum Septum Pellucidum involves delving into its anatomy, function, and the clinical significance it holds in various neurological and psychiatric conditions.
Anatomy of the Cavum Septum Pellucidum
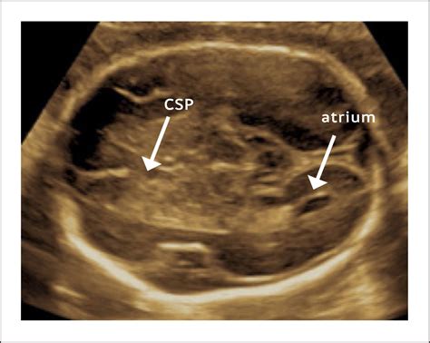
The Cavum Septum Pellucidum is a thin, fluid-filled space that lies between the two layers of the septum pellucidum, a membrane that separates the lateral ventricles of the brain. The septum pellucidum itself is a thin, triangular membrane that extends from the corpus callosum to the fornix. The Cavum Septum Pellucidum is typically present in the developing brain and usually closes during fetal development. However, in some individuals, it may persist into adulthood, a condition known as cavum septum pellucidum.
The Cavum Septum Pellucidum is part of the limbic system, a complex network of structures involved in emotion, memory, and motivation. Its proximity to other critical structures, such as the hippocampus and the amygdala, underscores its potential role in these cognitive and emotional processes.
Function of the Cavum Septum Pellucidum
The exact function of the Cavum Septum Pellucidum is not fully understood, but it is believed to play a role in various cognitive and emotional processes. Some studies suggest that it may be involved in:
- Memory formation and retrieval
- Emotional regulation
- Spatial navigation
- Social cognition
Research has shown that abnormalities in the Cavum Septum Pellucidum can be associated with various neurological and psychiatric conditions, including schizophrenia, autism spectrum disorder, and bipolar disorder. These associations highlight the importance of this structure in maintaining normal brain function.
Clinical Significance of the Cavum Septum Pellucidum
The Cavum Septum Pellucidum has been implicated in several neurological and psychiatric disorders. Understanding its role in these conditions can provide valuable insights into their pathogenesis and potential treatment strategies.
Schizophrenia
Schizophrenia is a severe mental disorder characterized by hallucinations, delusions, and disorganized thinking. Studies have shown that individuals with schizophrenia often have enlarged Cavum Septum Pellucidum compared to healthy controls. This enlargement is thought to be associated with abnormal brain development and connectivity, which may contribute to the symptoms of schizophrenia.
Autism Spectrum Disorder
Autism Spectrum Disorder (ASD) is a neurodevelopmental condition characterized by impairments in social interaction, communication, and restricted, repetitive behaviors. Research has found that individuals with ASD may have a higher prevalence of Cavum Septum Pellucidum compared to neurotypical individuals. This finding suggests that abnormalities in the Cavum Septum Pellucidum may be involved in the pathogenesis of ASD.
Bipolar Disorder
Bipolar disorder is a mental health condition characterized by extreme mood swings, including episodes of mania and depression. Studies have shown that individuals with bipolar disorder may have structural abnormalities in the Cavum Septum Pellucidum, which could contribute to the mood dysregulation seen in this condition.
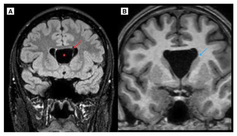
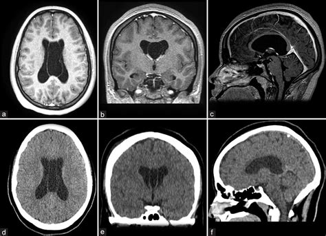
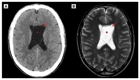
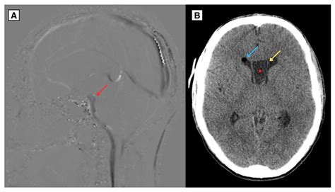
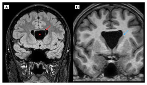
Diagnostic Imaging of the Cavum Septum Pellucidum
Diagnostic imaging techniques, such as magnetic resonance imaging (MRI), are essential for visualizing the Cavum Septum Pellucidum and assessing its size and shape. MRI provides high-resolution images of the brain, allowing clinicians to detect abnormalities in the Cavum Septum Pellucidum and other structures.
Table 1: Diagnostic Imaging Techniques for the Cavum Septum Pellucidum
| Imaging Technique | Description | Clinical Use |
|---|---|---|
| Magnetic Resonance Imaging (MRI) | Provides detailed images of the brain's soft tissues | Assessing the size and shape of the Cavum Septum Pellucidum |
| Computed Tomography (CT) | Uses X-rays to create cross-sectional images of the brain | Less commonly used for Cavum Septum Pellucidum assessment |
| Positron Emission Tomography (PET) | Measures metabolic activity in the brain | Assessing functional abnormalities associated with the Cavum Septum Pellucidum |
MRI is the preferred imaging technique for evaluating the Cavum Septum Pellucidum due to its high resolution and ability to differentiate between soft tissues. CT scans and PET scans may also be used in specific clinical contexts, but they are less commonly employed for assessing the Cavum Septum Pellucidum.
📌 Note: While MRI is the gold standard for imaging the Cavum Septum Pellucidum, it is essential to consider the individual's clinical context and the specific research questions when selecting the appropriate imaging technique.
Research and Future Directions
Ongoing research is crucial for advancing our understanding of the Cavum Septum Pellucidum and its role in various neurological and psychiatric conditions. Future studies should focus on:
- Elucidating the precise function of the Cavum Septum Pellucidum in normal brain development and function
- Investigating the molecular and cellular mechanisms underlying abnormalities in the Cavum Septum Pellucidum
- Developing novel imaging techniques to enhance the detection and characterization of Cavum Septum Pellucidum abnormalities
- Exploring the potential of targeted interventions to modulate the Cavum Septum Pellucidum and improve outcomes in neurological and psychiatric disorders
Collaborative efforts between researchers, clinicians, and patients are essential for driving progress in this field. By working together, we can unlock the mysteries of the Cavum Septum Pellucidum and develop more effective strategies for diagnosing and treating related conditions.

In conclusion, the Cavum Septum Pellucidum is a fascinating and clinically relevant structure within the brain. Its role in various cognitive and emotional processes, as well as its association with neurological and psychiatric disorders, underscores the importance of continued research in this area. By deepening our understanding of the Cavum Septum Pellucidum, we can pave the way for improved diagnostic and therapeutic approaches, ultimately enhancing the lives of individuals affected by these conditions.
Related Terms:
- cavum septum pellucidum mri
- cavum septum pellucidum icd 10
- cavum septum pellucidum fetal ultrasound
- cavum septum pellucidum cyst
- cavum septum pellucidum radiology
- cavum septum pellucidum and vergae