Learning

Carotid Artery Shot

Carotid Artery Shot
Carotid Artery Shot

Understanding the intricacies of the carotid artery is crucial for anyone involved in medical studies or healthcare. The carotid artery, a major blood vessel in the neck, supplies blood to the brain, neck, and face. One of the critical procedures involving the carotid artery is the Carotid Artery Shot, a term often used in medical literature to describe interventions or diagnostic procedures related to this artery. This blog post delves into the anatomy, functions, and various procedures associated with the carotid artery, with a particular focus on the Carotid Artery Shot.

Anatomy of the Carotid Artery

The carotid artery is divided into two main branches: the internal carotid artery and the external carotid artery. The internal carotid artery supplies blood to the brain, while the external carotid artery supplies blood to the face and neck. Understanding the anatomy of these arteries is essential for performing any Carotid Artery Shot procedures accurately.

Functions of the Carotid Artery

The carotid artery plays a vital role in maintaining the body's overall health. Its primary functions include:

  • Supplying oxygenated blood to the brain, ensuring proper cognitive function.
  • Providing blood to the face and neck, supporting the health of these regions.
  • Acting as a critical component in the body's circulatory system.

Diagnostic Procedures Involving the Carotid Artery

Several diagnostic procedures are performed to assess the health of the carotid artery. These procedures are often referred to as Carotid Artery Shots in medical terminology. Some of the most common diagnostic procedures include:

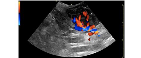
Carotid Ultrasound

A carotid ultrasound uses sound waves to create images of the carotid arteries. This non-invasive procedure helps detect any blockages or narrowing of the arteries, which could indicate the presence of plaque or other issues. The ultrasound provides valuable information for planning further interventions, including Carotid Artery Shots.

Carotid Angiography

Carotid angiography is a more invasive procedure that involves injecting a contrast dye into the carotid artery. This dye helps create detailed images of the artery, allowing doctors to identify any blockages or abnormalities. Carotid angiography is often used to plan for more complex Carotid Artery Shot procedures.

CT Angiography

CT angiography uses computed tomography (CT) scans to create detailed images of the carotid arteries. This procedure is less invasive than traditional angiography and provides high-resolution images that can help diagnose various conditions affecting the carotid artery. CT angiography is often used in conjunction with other Carotid Artery Shot procedures to ensure accurate diagnosis and treatment.

Interventional Procedures Involving the Carotid Artery

Interventional procedures are often necessary to treat conditions affecting the carotid artery. These procedures, collectively known as Carotid Artery Shots, aim to restore blood flow and prevent complications such as strokes. Some of the most common interventional procedures include:

Carotid Endarterectomy

Carotid endarterectomy is a surgical procedure that involves removing plaque from the carotid artery. This procedure is typically performed under general anesthesia and requires making an incision in the neck to access the artery. The surgeon then removes the plaque, restoring blood flow and reducing the risk of stroke. Carotid endarterectomy is a common Carotid Artery Shot procedure for patients with severe carotid artery disease.

Carotid Artery Stenting

Carotid artery stenting is a less invasive alternative to carotid endarterectomy. This procedure involves inserting a stent into the carotid artery to keep it open and restore blood flow. The stent is placed using a catheter, which is guided through the artery to the site of the blockage. Carotid artery stenting is often preferred for patients who are not suitable candidates for surgery. This procedure is another type of Carotid Artery Shot that has gained popularity in recent years due to its minimally invasive nature.

Angioplasty

Angioplasty is a procedure that involves using a balloon catheter to widen narrowed or blocked arteries. The balloon is inflated at the site of the blockage, compressing the plaque and restoring blood flow. Angioplasty is often performed in conjunction with stenting to ensure the artery remains open. This procedure is another example of a Carotid Artery Shot that can be used to treat carotid artery disease.

Risks and Complications of Carotid Artery Procedures

While Carotid Artery Shot procedures are generally safe, they do carry certain risks and complications. Some of the potential risks include:

  • Bleeding at the incision site.
  • Infection.
  • Stroke.
  • Heart attack.
  • Nerve damage.

It is essential to discuss these risks with a healthcare provider before undergoing any Carotid Artery Shot procedure. Proper pre-operative evaluation and post-operative care can help minimize these risks and ensure a successful outcome.

πŸ“Œ Note: Patients with a history of heart disease, diabetes, or high blood pressure may be at a higher risk of complications during Carotid Artery Shot procedures. It is crucial to inform the healthcare provider about any pre-existing conditions before the procedure.

Post-Operative Care and Recovery

Post-operative care is crucial for a successful recovery after any Carotid Artery Shot procedure. Patients should follow their healthcare provider's instructions for care and recovery, which may include:

  • Resting and avoiding strenuous activities for a few days.
  • Taking prescribed medications to manage pain and prevent infection.
  • Attending follow-up appointments to monitor progress and address any concerns.
  • Making lifestyle changes, such as quitting smoking and adopting a healthy diet, to improve overall health.

Proper post-operative care can help ensure a smooth recovery and reduce the risk of complications. Patients should not hesitate to contact their healthcare provider if they experience any unusual symptoms or concerns during the recovery period.

πŸ“Œ Note: Patients who undergo Carotid Artery Shot procedures may need to take blood-thinning medications to prevent blood clots. It is essential to follow the healthcare provider's instructions for taking these medications to avoid complications.

Preventive Measures for Carotid Artery Disease

Preventing carotid artery disease is essential for maintaining overall health and reducing the need for Carotid Artery Shot procedures. Some preventive measures include:

  • Maintaining a healthy diet rich in fruits, vegetables, and whole grains.
  • Engaging in regular physical activity.
  • Quitting smoking.
  • Managing chronic conditions, such as diabetes and high blood pressure.
  • Regular check-ups with a healthcare provider to monitor cardiovascular health.

By adopting these preventive measures, individuals can reduce their risk of developing carotid artery disease and the need for Carotid Artery Shot procedures.

Conclusion

The carotid artery plays a crucial role in maintaining the body’s overall health, and understanding its anatomy and functions is essential for anyone involved in medical studies or healthcare. Carotid Artery Shot procedures, whether diagnostic or interventional, are vital for assessing and treating conditions affecting the carotid artery. By following preventive measures and seeking timely medical intervention, individuals can maintain their cardiovascular health and reduce the risk of complications associated with carotid artery disease.

Related Terms:

  • carotid artery injury survival
  • carotid artery severed
  • carotid artery rupture survival
  • carotid artery disease treatment
  • can a carotid artery survive
  • can a carotid artery heal
Facebook Twitter WhatsApp
Related Posts
Don't Miss